第一节 X线诊断
心、大血管的X线诊断,具有非常重要的价值:①心脏X线平片以发现USG难以发现的异常,如主动脉瘤,主动脉缩窄,主动脉夹层和心、大血管旁肿块;②肺血管纹理的异常、增多和减少,有助于分析肺内血液动力学的异常——肺循环高压;③在肺原性心脏病,可观察、分析肺内病变的情况;④能发现胸部其他异常,如心包、胸膜的渗出、气胸、纵隔气肿、巨食管症、血管壁及瓣膜的钙化以及胸部骨骼的异常。因此,在临床工作中,目前仍为首选的检查方法。
一、X线检查方法
(一)普通检查 透视和摄影是最基本的方法,简单易行,应首先采用。
1.透视 透视的优点是可以从不同角度观察心、大血管的形状、搏动及其与周围结构的关系,还便于选择最适当的角度进行斜位摄影。
常采取站立后前位进行观察,注意心和大血管的大小、形状、位置和搏动。然后从不同的方向观察心各个房室和大血管的相应表现以及肺部血管的改变。
吞钡检查可观察食管与心、大血管的邻接关系,对确定左心房有无增大和增大的程度有重要价值。透视影像清晰度较差,时间也短促,需与摄影结合进行诊断。
2.摄影 摄影有后前位、右前斜位、左前斜位和左侧位四种。后前位是基本的位置,一般取立位,根据病情需要,再选择斜位或左侧位。
后前位:患者直立,靶片距离为2m,以减少心影放大率(不超过5%),有利于心径线测量和追踪对比观察。
右前斜位:患者从后前位向左旋转45°~60°,同时服钡观察食管,以确定左心房有无增大,还可观察肺动脉段突出与右心室漏斗部的增大。
左前斜位:患者从后前位向左旋转约60°,有利于观察心各个房室的增大和主动脉弓的全貌。
侧位:常取左侧位,可观察左心房和左心室的增大。
(二)造影检查 心血管造影是将造影剂快速注入心腔和大血管内,借以显示心和大血管内腔的形态及血液动力学的改变,为诊断心、大血管疾病并为手术治疗提供有价值的资料。
1.造影剂和造影设备
(1)造影剂:用于心血管造影的造影剂必须浓度高、毒性小和粘稠度低。目前常用的造影剂为60%或70%泛影葡胺,用量按体重计算,每公斤体重为1ml,超过50kg仍以50kg计算,儿童用量可略大,每公斤体重1~1.5ml。造影剂量应在允许范围内,以得到满意显影效果的最小剂量为好。如需再次注射,则两次注射的间隔时间至少应在30~40分钟以上,并透视肾和膀胱,须有大量造影剂排出后才能再次注射。总量一般不应超过每公斤体重2ml。高危患者可选用非离子型造影剂。
(2)压力注射器:为了得到满意的影像,必须在短时间内注入足量的造影剂,使心腔和大血管内有大量高浓度的造影剂,以产生良好的对比。一般要求每秒注入15~25ml,所用的压力为8~10×105Pa。注射造影剂的速度同注射压力、注射器的阻力、心导管的管径和长度以及造影剂的粘稠度等有关。电力推动的压力注射器,装有复杂的反馈装置或计算机,以根据心导管的管径、长度、接头的阻力、造影剂的粘稠度等,监测和计算机造影剂射出的速度。
(3)快速连续摄影设备:所用的X线机需要有大的容量,能在短时间内输出大量的X线,使曝光时间缩短。
目前采用三种快速连续摄影法:①双向快速摄影法;②电影摄影法;③磁带录像法。各有优缺点。快速摄影法有直接摄影和荧光摄影二种方式,直接摄影用普通大小的X线片,可显示影像的细微结构,每秒最多6张。荧光摄影以100mm片为合适,每秒可摄6张。电影摄影法,速度快,每秒可摄25~150幅图像。能见到造影过程中出现的病理现象,如细小的返流和分流。磁带录像法将荧光影像增强器上的影像记录下来,可立即并反复在电视屏幕上播放。因此,快速摄影法适用于显示心腔和血管腔形态变化,而电影摄影和磁带录像法则适于观察血液循环过程的变化。
数字减影心血管造设备:见总论DSA一章。
2.造影方法 根据造影目的,造影剂注入的方式和部位不同,现介绍几种造影方法:
(1)右心造影:先行右心插管,再经右心导管注射造影剂,显示右侧心腔和肺血管。主要适用于右心及肺血管的异常及伴有紫绀的先天性心脏病。
(2)左心造影:导管自周围动脉插入,导管尖送到左心侧心腔选定的部位。适用于二尖瓣关闭不全、主动脉瓣口狭窄、心室间隔缺损、永存房室共道及左心室病变。
(3)主动脉造影:导管经周围动脉插入,一般导管尖放于主动脉瓣上3~5cm处,能使升主动脉、主动脉弓和降主动脉上部显影,造影剂逆行到主动脉瓣处,可显示主动脉瓣的功能状态。适用于显示主动脉本身病变,主动脉瓣关闭不全,主动脉与肺动脉或主动脉与右心之间的异常沟通,如动脉导管未闭,主-肺动脉隔缺损,主动脉窦动脉瘤穿破入右心等。
(4)冠状动脉造影:用特制塑形导管,从周围动脉插入主动脉,使其进入冠状动脉内,行选择性血管造影。用于冠状动脉硬化性心脏病的检查,是冠状动脉搭桥术或血管成形术前必须的检查步骤。
血心管造影是一种比较复杂而有一定痛若和危险的检查方法,不要轻易进行。造影前应作好充分准备,包括必要的安全抢救措施。当全身情况极度衰竭,严重肝、肾功能损害;造影剂过敏试验阳性或过敏体质;心导管检查的禁忌证,如急性或亚急性细菌性心内膜炎及心肌炎;心力衰竭和严重冠状动脉病变,则不应进行这种检查。
二、正常X线表现
(一)心、大血管的正常投影 心分右房、右心室、左心房和左心室四个心腔。右心偏前,左心偏后,心房位于心室的后方,X线上,都投影在一个平面上。两心室之间有室间沟,心房和心室的交界有房室沟。这此标志,仅在透视下才能识别。心表面有脏层和壁层心包膜覆盖,两层之间为一潜在的腔隙,为心包腔,但均缺乏对比。
心和大血管在透视或平片上的投影,彼此重叠,仅能显示各房室和大血管的轮廓,不能见到其内部结构和分界。因此,必须用不同的位置投照,才能使各个房室和大血管的边缘显示出来(图3-2-1)。心、大血管的后前位、右前斜位、左前斜位和左侧位的摄影,分述如下;




图3-2-1 不同体位心、大血管结构投影示意图
1.后前位 正常心影一般是2/3位于胸骨中线左侧,1/3位于右侧,心尖指向左下,心底部朝向右后上方,形成斜的纵轴。心、大血管有左右两个边缘(图3-2-2)。

图3-2-2 后前位正常心、大血管影像解剖示意图
心右缘分为两段,其间有一明显的切迹。上段为升主动脉与上腔静脉的总合影,在幼年和青年主要为上腔静脉,其边缘平直,向上延伸至锁骨平面,升主动脉被上腔静脉遮盖。在老年,由于主动脉延长迂曲,升主动脉突出于上腔静脉边缘之外,呈弧形。心右缘下段为右心房所构成,弧度较大,膈位置较低时,心右缘最下部可能为右心室构成,密度亦较高。心缘与膈顶相交成一锐角称为心膈角,有时在心膈角内可见一向外下方倾斜的三角形影,为下腔静脉或肝静脉影,深吸气时明显。
心左缘分为三段:上段为主动脉球,由主动脉弓组成,呈弧形突出,在老年明显,儿童主动脉弓多与脊柱与脊柱重叠,主动脉球可以不明显;中段为肺动脉主干,但偶尔可为左肺动脉构成,称为心腰,又称肺动脉段,此段较低平或稍突出,儿童肺动脉可较突出,不是病理性扩张;下段由左心室构成,为一最大的弧,明显向左突出,左心室在下方形成心尖,如心尖伸入膈下则不易定位。左心室与肺动脉之间,有长约1.0cm的一小段,由左心耳构成,正常时,不能与左心室区分。左心室与肺动脉段的搏动方向相反,两者的交点称为相反搏动点,是衡量左右心室增大的一个重要标志,需透视才能确定,该点上下两侧心缘呈“翘翘板”样运动。肥胖人,左心膈角常有脂肪垫充填,为密度较低的软组织影。
降主动脉在一般曝光条件的胸片上不易显示,但老年则可沿脊柱向左侧弯曲而显影。肺动脉主干的分支在越出纵隔影以后,分别成为两肺门的主要组成部分。
2.右前斜位(第一斜位) 右前斜位,心位于胸骨与脊柱之间(图3-2-3)。
心前缘,自上而下由主动脉弓及升主动脉、肺动脉、右心室漏斗部、右心室前壁和左心室下端构成。升主动脉前缘平直,弓部则在上方弯向后行。肺动脉段和漏斗部稍为隆起。心尖以上大部分为右心室构成。心前缘与胸壁之间有三角形透明区,尖向下,称为心前间隙或胸骨后区。心后缘上段为左心房,下段为右心房,两者无清楚分界。心后缘与脊柱之间较透明,称为心后间隙或心后区。食管在心后间隙通过,钡剂充盈时显影。

图3-2-3 右前斜位正常心、大血管影像解剖示意图
3.左前斜位(第二斜位) 左前斜位,心、大血管影位于脊信的右侧(图3-2-4)。

图3-2-4 左前位正常心、大血管影像解剖示意图
人体旋转约60°角投照时,室间隔与中心X线接近平行。因此,两个心室大致是对称的分为左右两半,右前方一半为右心室,左后方一半为左心室。
心前缘上段为右心房,下段为右心室,右心房段主要由右心耳构成,房室分界不清。60°斜位投照时,心前缘主要由右心室构成,旋转45°角时,则整个心前缘可由右心房构成。右心房影以上为升主动脉,两者相交成钝角。心后缘可分为上下两段,上段由左心房,下段则由左心室构成。左心室段的弧度较左心房大,两个不同弧度的交接点,可作为两者的分界,深吸气时,在左心室段的下端常见一浅切迹,为室间沟,需在透视下确定。心后下缘与膈形成的心膈角内,可见下腔静脉进入心影内。正常时,心影膈面的宽度不等,膈位置低时,膈面短。在此斜位,还可显示胸主动脉和主动脉窗。通过主动脉窗可见气管分叉,主支气管和肺动脉。左肺动脉跨越左主支气管,并向后延伸。左主支气管下方为左心房影。
4.左侧位 侧位上,可见心影从后上向前下倾斜,心前缘下段为右心室前壁,上段则由右心室漏斗部与肺动脉主干构成。下段与前胸壁紧密相邻,上段心缘逐渐离开胸壁呈一浅弧,向上向后倾斜。再往上为升主动脉前壁,直向上走行。这些结构与前胸壁之间的三角形透亮区,称为胸骨后区。心后缘上中段由左心房构成,下段则由左心室构成,并转向前与膈成锐角相交,下腔静脉常在此角内显影。心后下缘、食管与膈之间的三角形间隙,为心后食管前间隙(图3-2-5)。

图3-2-5 左侧位正常心、大血管影像解剖示意图
(二)心、大血管的搏动 心左缘的搏动主要代表左心室的搏动。收缩期急剧内收,舒张期逐渐向外扩张。搏动幅度的大小与左心室每次搏动的输出量有关,输出量小则幅度小,输出量大则幅度大。左心室以上,可见主动脉和肺动脉的搏动,方向与左心室的搏动相反。当左心室收缩时,主动脉迅速向外扩张;舒张时,则缓慢内收。主动脉球搏动的幅度与脉压大小有关,脉压大,搏动幅度亦大。肺动脉的搏动与主动脉类似,但较弱。
心右缘的搏动代表右心房的搏动。右心室增大时,其强而有力的心室搏动可以传导至心右缘。右心房以上,如果主要是升主动脉组成,则可见到主动脉搏动。
(三)影响心、大血管形态的生理因素 正常心、大血管的形状和大小主要受体型、年龄、呼吸和体位的影向。
1.体型 正常心可分横位心、斜位心和垂位心三种类型(图3-2-6)。



图3-2-6 三种不同体型正常心形态
横位心:矮胖体格,胸廓宽而短,膈位置高,心纵轴与水平面的夹角小(小于45°),心与膈的接触面大,心胸比率常大于0.5。主动脉球明显,心腰凹陷。左前斜位室间沟位于膈面水平,心后缘可稍与脊柱重叠。
斜位心:体格适中(健壮型),胸廓形态介于其他两型之间,心呈斜位,心纵轴与水平面的夹角约45°,心与膈接触面适中,心胸比率约0.5,心腰平直。右前斜位肺动脉段和右心室漏斗部平直或稍凸起。左前斜位心膈面适中。此型最常见,绝大多数青年壮年为斜位心。
垂位心:体格瘦长(无力型),胸廓狭长,膈位置低,心影较小而狭长,呈垂位,心纵轴与水平面的夹角大于45°,心与膈接触面小,心胸比率小于0.5,肺动脉段较长、稍突。右前斜位肺动脉段和右心室漏斗部可膨隆,吞钡食管于心后无明显压迹。左前斜位,室间沟位于膈上,主动脉窗较小。
2.年龄 婴幼儿心接近球形,横径较大,左右两侧大致对称,主要是由于膈位置高和右心相对较大所致。由于胸腺与心血管影重叠,使心腰分界不清,并使心底纵隔影增宽。年龄增长,膈位置下降,胸腔长度增加,心成为斜位心。据统计3周以内婴儿心胸比率为0.55,7~12岁为0.5,与成人接近或相同,老年的胸廓多较宽阔,膈位置高,心趋向横位心。
3.呼吸 平静呼吸时,心影形状和大小无明显改变。但在深吸气时,膈下降,心与膈面接触面减少,心影伸长,趋向垂位心。深呼气时膈上升,心呈横位心。呼吸运动还可改变胸腔内的压力和各心腔血容量,如闭住声门作强迫呼气时,胸腔内压力明显增高,静脉回流减少,胸腔内血容量亦减少,透视下,可见心影明显缩小,吸气时则血液向心回流增多。心大小立即恢复原状。
4.体位 平卧时膈升高,心上移,呈横位心。由于体静脉回流增多,上腔静脉影增宽,心影增大。立位时,膈下降,心影伸长。右侧卧位,心影向右侧偏移,右心房弧度加深;左侧卧位,心向左偏移,右心房弧度变浅,下腔静脉可清楚显示。这些改变,均与重力和膈位置有关。
(四)正常心血管造影 心血管造影可显示心、大血管内腔的解剖结构,并可动态观察其功能情况。应分别观察腔静脉与右心房、右心室与肺动脉、肺静脉与左心房、左心室与主动脉和冠状动脉。
腔静脉与右心房:上腔静脉位于上纵隔右侧,侧位则位于气管之前方,向下与右心房相连,二者无清楚分界。下腔静脉短,过膈后即汇入右心房。右心房呈椭圆形,居脊柱右缘,其大小与形状在收缩期和舒张期有明显差别(图3-2-7)。
右心室与肺动脉:右心室于前后位上呈圆锥状,下缘为流入道,左缘为室间隔面,右缘为三尖瓣口。顶端为流出道,呈锥状。侧位,右心室位于心影前下方,与右心房有部分重迭。肺动脉干与右心室流出道相续。向上行分为左右肺动脉。Vasalva窦呈袋状膨隆。肺动脉干向后上斜行(图3-2-7)。


图3-2-7 正常腔静脉,右心房、室造影示意图


图3-2-8 正常肺静脉、左心房造影示意图
a.上肺静脉b.下肺静脉
肺静脉与左心房:两侧肺静脉分支于肺门汇洽成上、下肺静脉两支同左心房相连。左心房在前后位呈横置椭圆形,居中偏左,侧位呈纵置椭圆形,前下方与左心室相续(图3-2-8)。

图3-2-9 正常左心房、左心室、主动脉造影示意图
左心室及主动脉:左心室在前后位呈斜置椭圆形,侧位略呈三角形。流出道呈筒状,边缘光滑,其上端为主动脉瓣。主动脉瓣叶上方主动脉壁有三个袋状膨隆,为Valsalva窦。侧位,可观察胸主动脉全程。自主动脉弓发出无名动脉、左颈总动脉和锁骨下动脉(图3-2-9)。
冠状动脉:左冠状动脉起自左冠状窦外壁,分为前降支和回旋支,主要向左心供血。右冠状动脉起自右冠状窦侧壁,主干长,分为右圆锥支、心室支及右降支等。冠状动脉及分支在造影上走行自然,边缘光滑,逐渐变细。
三、基本病变X线表现
心、大血管疾病变通X线检查,多不能直接显示病变本身。诊断是根据心轮廓的改变,借以推测某些房室和大血管的增大或变小、搏动增强或减弱以及肺循环的改变。因此在分析X线表现时必须注意心、大血管的形态与肺循环的改变。为此,必须掌握各个房室和大血管的正常表现以及判断大小、形状等变化的标准,才有可能确立诊断。
(一)心及各房室增大 心增大是心脏病的重要征象,它包括心壁肥厚和心腔扩张,两者常并存。心壁肥厚可单独存在,主要是由于肺循环或体循环的阻力增加。单纯肥厚,心横径无明显增加。心腔扩张是容量增加引起的,主要来自分流,如间隔缺损或回流,如瓣膜关闭不全,一般较快地引起心腔普遍扩张。常是负担过重的或最早受损害的心腔首先扩张,而不是所有心腔都同时扩张,这有利于病变的诊断。心房与心室不同,房壁薄弱,在阻力增加或容量增加时,常以房腔扩张为主,一般无单纯代偿性肥厚。此外,心肌本身的损害如中毒性心肌炎,甲状腺功能亢进,粘液水肿等疾病,也可使心增大。对增大的心,很难从X线上将肥厚和扩张区别开来。因此,就X线表现而言,常统称之为增大,而不区别是肥厚或者是扩张。
确定心增大最简单的方法为胸比率法(图3-2-10)。心胸比率是心影最大横径与胸廓最大的横径之比。心最大横径取心影左、右缘最突出的一点与胸廓中线垂直距离之和,胸廓最大横径是在右膈顶平面取两侧胸廓肋骨内缘之间的最大距离。正常成人心影横径一般不超过胸廓横径的一半,即心胸比率等于或少于0.5。这是一种粗略的估计方法。

图3-2-10 心胸比率测量图
T1、T2:心横径,取心缘最突出部垂直于中
线;T:胸廓横径,于右膈顶取水平线达两侧
胸廓内缘;OO':胸廓中线
1.左心室增大 后前位,左心室段延长,心尖向下向左延伸(图3-2-11)。心尖居膈下显示在胃泡内,同时变钝、左移,越出锁骨中线。而正常心尖居膈水平且在锁骨中线以内。左心室段圆隆,心腰下陷。由于左心室段延长,致使相反搏动点上移。增大显著时,可推压右心室使心右缘下段右移和膨隆,也可推压左心房使其向后上方移位。同时心可向右旋转,使心腰凹陷更加明显。

图3-2-11 左心室增大
左前斜位,左心室段向后向下突出,与脊柱重叠,即使旋转60°时,仍不能分离,室间沟向前下移位。
侧位,食管和左心室段之间的正常三角形间隙可以消失,心后间隙变窄。
左心室增大常见的原因为高血压病、主动脉瓣关闭不全或狭窄、二尖瓣关闭不全及部分先天性心脏病如动脉导管未闭等。
左心室增大的X线表现如下:①心尖向下、向左延伸;②相反搏动点上移;③左心室段延长、圆隆并向左扩展;④左前斜位旋转60°时,左心室仍与脊柱重叠,室间沟向前下移位;⑤左侧位,心后间隙变窄甚至消失,心后下缘的食管前间隙消失。
2.右心室增大 后前位,可见心腰平直或隆起,肺动脉段延长,因而相反搏动点下移。心横径增大,主要向左扩展。左心室受压推移,心尖可由右心室构成,呈钝圆形,严重时可向上翘。右心室向右扩展,可将右心房推向右上方。增大显著时,心向左旋转,这下前方胸骨阻力、左心相对游离和右心较为固定等因素有关。旋转后,心腰更加突出,心室段可完全由右心室前壁组成,主动脉球则不明显(图3-2-12)。




图3-2-12 右心室增大
右前斜位,右心室段前缘呈弧形前突,心前间隙变窄甚至闭塞。肺动脉段和漏斗部隆起。
左前斜位,心膈面延长,心前缘下段向前膨隆,心前间隙下训变窄。左心室可被增大的右心室推向左后方,室间沟则随之向后上移位。心后缘可与脊柱重叠,它与左心室本身增大不同之处是右心室增大时最突出点的位置较高。
侧位,心前缘与前胸壁的接触面增大。同时漏斗部和肺动脉段凸起,此为右心室增大的一个重要征象。
右心室增大常见的原因为二尖瓣狭窄、慢性肺原性心脏病、肺动脉狭窄、肺动脉高压、心内间隔缺损和Follot四联症等。
右心室增大的表现如下①右心室主要向前、向左、向后增大,心呈二尖瓣型;②心腰变为丰满或膨隆;③相反搏动点下移;④右前斜位,心前缘下段膨隆,心前间隙变窄;⑤左前斜位,心室膈段增长,室间沟向后上移位。
3.左心房增大 左心房由体部和耳部组成。体部位于在左心室的后上方,在气管分叉之下,与左主支气管关系较密切,在食管之前,与之密切邻接,大部分心后缘由体部构成,心耳部是从体部左上方伸向前内的突起物,在正常情况下不能与左心室段区别。
左心房增大主要发生在体部,可向后、右、左及上四个方向增大。
后前位,左心房早期向后增大时,心轮廓不发生改变,但在心底部出现圆形或椭圆形密度增高影,常略偏右与右心房重叠,在过曝光照片上,容易显示,形成双心房影。如自心缘向右突出,则心右缘两个弓影之间出现另一弓影,即左心房的右缘,弧度较大,但从不向下伸延至膈平面。左心房向左增大时,可使胸主动脉下段向左移位。右心房增大较显著时,可使位于左心室段与肺动脉之间的心耳部增大,通常称第三弓,因之心左缘出现四个弓(图3-2-13)




图3-2-13 左心房增大
右前斜位,左心房向后或右后增大时,食管中段受压移位,压迹的上下缘很清楚。轻度增大时,食管仅前壁受压;中度增大,食管前后壁均有受压移位;显著者,食管明显后移。
左前斜位,左心房向上增大显著时,可压迫支气管,使气管分叉角度增大,心后上缘隆起,左主支气管受压抬高,甚至成水平位。
心房增大的主要原因为二尖瓣病变、左心室衰竭和一些先天性心脏病,如动脉导管未闭、心室间隔缺损等。
左心房增大的表现如下:①食管中段受压向后移位;②心右缘出现增大的左心房右缘形成的弓影,心底部双心房影;③心左缘可见左心耳突出,即第三弓影;④左主支气管受压抬高。
4.右心房增大 右心房亦分为体部和耳部,体部在心的右侧偏后,耳部则在其前上方偏左。
后前位,右心房增大,心右缘下段向右扩展、膨隆。但是其他心腔,特别是右心室增大时,可以压迫右心房而使其向右移位,故此为非特征性改变。显著增大时,弧度加长,最突出点位置较高,常有上腔静脉增宽(图3-2-14)。



图3-1-14 右心房增大
右前斜位,右心房增大,心后缘下段向后突出。左前斜位,则见心前缘上段膨隆延长,超过心前缘长度一半,为右心房耳部的增大。右心房增大可首先发生在心耳部。
右心房增大可见于右心衰竭、房间隔缺损、三尖瓣病变、肺静脉异位引流和心房粘液瘤等。
右心房增大的X线表现如下:①左前斜位,右心房段延长超过心前缘长度一半以上,膨隆,并与心室段成角;②后前位,心右缘下段向右扩展、膨隆,最突出点位置较高。
5.心普遍增大 后前位,心影向两侧增大,心横径显著增宽。右前斜位和侧位,心前间隙和心后间隙均缩小,食管普遍受压后移。左前斜位,支气管分叉角度增大,气管后移,多见于儿童心脏增大。增大的原因不一,常见的瓣膜疾病中,初始只有负担最大的一个心腔增大,最后,由于整个心肌代偿功能不全,心脏普遍增大。但增大的程度并不均等对称,经过分析,仍能对疾病的诊断作出估计。另一种情况是心肌本身损害或某些全身疾病影响心脏,心肌软弱无力,则心脏均等对称增大,如中毒性心肌炎、严重贫血等。
(二)心形状的改变 心各房室增大时,心形状亦发生改变,在后前位上可见三种心型:
1.二尖瓣型 后前位,呈梨形,心腰丰满或弧形突出,左心缘下段圆钝,心右缘下段较膨隆,主动脉球较小,常见于二尖瓣病变、慢性肺原性心脏病、心间隔缺损和肺动脉狭窄等。
2.主动脉型 后前位,呈靴形,心腰凹陷,心左缘下段向左扩展,主动脉球突出,常见于高血压病和主动脉瓣病变。
3.普遍增大型 心向两侧均匀增大,较对称,以心肌炎和全心衰竭最多见。心包积液时,心影可普遍增大,但非心脏本身增大。
(三)主动脉形状及密度的改变
1.形状改变 年龄大,血管弹力减低,血管壁损害亦使弹力减低或消失,如动脉粥样硬化或梅毒性主动脉炎。在血管弹力减低时,主动脉内压力增高或左心输出量增加,动脉即可扩张和延长。初期为动力性,久之则形成固定的迂曲、延长。增高的动脉内压力均匀地作用于整个主动脉,使血管普遍扩张和延长,如高血压病。但在某些情况,其影响仅限于主动脉局部,如较长期的主动脉瓣关闭不全,可仅见升主动脉扩张。
后前位,主动脉扩张或延长时,升主动脉和降主动脉向两侧分离,升主动脉外缘可越过心右缘下段,升主动脉与右心房的分界点下移,心更倾向于横位,降主动脉位于肺动脉主干之外,向左肺野膨出,主动脉球上移,可达到或超出锁骨水平。左前斜位,升主动脉向前弯曲,弓部向上突出,降主动脉向后弯曲移位,主动脉窗显示清楚,主动脉球在食管的压迹加深和上移。右前斜位,食管受降主动脉牵引而向背侧弯曲。
2.密度改变 主动脉密度增高有两种原因,一是管腔扩张,血容量增加,二是管壁增厚或钙化,两个因素常同时存在。长期高血压,弹力纤维和肌纤维均可肥厚,钙化可发生于主动脉的任何部分,多见于弓部,常呈线形或镰刀状。左前斜位和侧位,钙化的范围更容易显示。
(四)心、大血管搏动的改变 当心或大血管需要克服阻力和负担过重而仍有代偿功能时,则心搏动增强,幅度增大,频率不变;心力衰竭,则搏动减弱,幅度减小,频率加快;心搏动完全消失,一般为心包积液的表现;主动脉瓣关闭不全时,心和主动脉搏动显著增强;在某些高动力性循环的疾病如甲状腺功能亢进和贫血时,则心和主动脉搏动也均有增强。
(五)肺循环的改变 肺循环由肺动脉、肺毛细血管和肺静脉组成。通过肺循环沟通左右心腔。肺动脉和肺静脉是正常肺纹理的主要组成部分。
1.肺充血 肺充血是指肺动脉内血流量增多。后前位表现为肺动脉段膨隆,两侧肺门影增大,系肺动脉的扩张,边缘清楚,透视下,可见肺动脉段和两侧肺门血管搏动增强,即所谓“肺门舞蹈”(hilar dance)。肺野内的肺动脉分支向外周伸展,成比例地增粗,边缘清楚、锐利。长期肺充血,可促使肺小动脉痉挛、收缩,从而产生血管内膜增生,管腔变窄,最后引起肺动脉高压。肺充血常见于左向右分流的先天性心脏病,如房或室间隔缺损、动脉导管未闭等,亦见于循环血量增加,如甲状腺功能亢进和贫血等疾病。
2.肺瘀血 肺瘀血是指肺静脉回流受阻,血液淤滞于肺内。长期肺静脉压升高,肺小动脉发生痉挛、收缩和狭窄,久之,肺动脉压亦升高,右心室负担加重,引起肥厚和扩张。后前位,主要表现为肺静脉普遍扩张,呈模糊条纹状影,一般以中、下肺野显著,有时可呈网状或圆点状,肺野透明度显著减低,两肺门影增大,肺门血管边缘模糊,结构不清,在出现反射性血管痉挛时,下肺静脉收缩变细,上肺静脉扩张增粗。透视时,肺门影无搏动。肺瘀血严重时,在肋膈角附近可见到与外侧胸壁垂直的间隔线(Kerley B线),长约2~3cm,宽约1mm,为肺静脉压升高引起渗出液存留在小叶间隔内所致。肺瘀血常见原因为二尖瓣狭窄和左心衰竭等。
3.肺血减少 肺血减少是指肺血流量的减少,由于右心排血受阻所引起。X线上肺门血管细,肺门影缩小,右下肺动脉变细,肺纹理普遍细小、稀疏。肺野透明、清晰。正常肺动脉分支和其伴行支气管横断面基本相等,但在肺血减少时,肺动脉分支管径可明显小于支气管管径。严重的肺血减少。可由支气管动脉建立侧支循环,在肺野内显示为很多细小、扭曲而紊乱的网状血管影。肺血减少主要见于肺动脉狭窄、三尖瓣狭窄和其他右心排血受阻的先天性心脏病。
4.肺水肿 是由于毛细血管内液体大量渗入肺间质和肺泡所致。主要原因为毛细血管压和血浆渗透压之间失去平衡;毛细血管通透性发生改变。例如,毛细血管压增高或毛细血管壁通透性增加,液体就可认从毛细血管渗入肺组织。毛细血管压增高常见于肺静脉回流受阻。低血氧、贫血、低蛋白血症、菌血症的毒素和药物过敏反应,均可成为损害毛细血管壁的因素。肺水肿可分为间质性和肺泡性两种。
(1)间质性肺水肿:多为慢性,是左心衰竭引起肺静脉和毛细血管高压所致,也是肺瘀血进一步的发展。常无特殊症状。X线表现肺门模糊、增大,肺纹理模糊,中下肺野有网状影,肺野透明度减低。肋膈角区常见KerleyB线。还可有一种较少见的间隔线,即Kerley A线,表现为细长的线条影,多出现于肺野中央区,斜向肺门。常有少量胸腔积液。经过治疗,肺瘀血和肺水肿可于短期内消退。
(2)肺泡性肺水肿:常与间质性肺水肿并存。渗出液主要储集于肺泡内。急性可表现呼吸困难和有大量泡沫痰;慢性症状不明显。X线表现为一侧或两侧肺野有片状模糊影,以内、中带为多见。典型表现肺野呈蝶翼状,见于尿毒症和心脏病伴有左心衰竭患者。
5.肺栓塞及肺梗死 大多是周围静脉血栓或右心附壁血栓脱落进入肺动脉引起。肺动脉大分支栓塞,危及患者生命。临床上表现呼吸困难、心动过速、休克,甚至很快死亡。肺栓塞多涉及肺段动脉,可多发,好发生在下肺和肺底部。常见症状为胸痛、少量咯血和低热。一般需要2~4天才能形成典型的出血性坏死实变。典型X线表现为肺野外围出现密度均匀增高的楔形或三角形影,长3~5cm,底边朝向胸膜,尖指向肺门。但多不典型,可呈团块状或片状。大片梗死可长达10cm。有时病变边缘模糊,佯似炎症,并常出现少量胸腔积液。肺组织缺血性坏死后可继发感染形成空洞。患侧膈可升高,运动受限。病变机化后,残留索条状瘢痕影。一般病变吸收缓慢,平均需要3周左右。
6.肺循环高压 由于肺血流量增加或肺循环阻力增高引起。肺充血,肺血流量增加引起者称为高流量性肺动脉高压。肺小血管和毛细血管痉挛、狭窄所致肺循环阻力增高而引起者称为阻塞性肺动脉高压。这两类肺动脉高压均属于毛细血管前肺循环高压。肺静脉回流受阻而引起的肺静脉压力升高,属于毛细血管后肺循环循环高压即肺静脉高压。肺静脉高压后期,可继发肺动脉高压。
(1)肺动脉高压:正常肺动脉主干收缩压为2~4kPa(15~30mmHg),平均压在2.7kPa(20mmHg)以下。收缩压超过4kPa(30mmHg),平均压超过2.7kPa(20mmHg)即为肺动脉高压。X线表现为①肺动脉段突出;②肺门肺动脉及其大分支扩张,而肺野中、外带分支收缩变细,与肺动脉大分支之间有一突然分界,常称为肺门截断现象,见于阻塞性肺动脉高压。而高流量性肺动脉高压。从肺门至肺野外带,肺动脉各级分支均有增粗,但保持大小比例;③肺门肺动脉搏动增强;④右心室增大,肺动脉压愈高,增大愈显著。
(2)肺静脉高压:肺静脉压超过1.3kPa(10mmHg)即为肺静脉高压,一般超过3.3kPa(25mmHg)时则毛细血管内液体外渗而引起肺水肿。
(六)心血管造影的异常所见 观察心血管造影时,应注意各心腔、大血管和各瓣膜的形态、大小、位置和相互间的关系,包括心室流出道、心房与心室间隔等。注意有无狭窄、缺损和瓣口狭窄。对于大血管要观察其根部、行程、管腔大小和分支情况。例如,主动脉瘤可见动脉梭形扩张,主动脉缩窄可见局限性狭窄。对冠状动脉主要观察有无血管狭窄与闭塞以及受累分支和狭窄的范围与程度。
造影时还要分析心腔与大血管显影的顺序。因为心腔大血管结构异常时,可出现造影剂充盈顺序与时间上的异常;①不应显影的解剖部位显影,例如主动脉造影时,肺动脉显影;②提早显影,例如右心造影时,主动脉提早与肺动脉同期显影;③重复显影,例如某房、室或大血管显影后再次显影。这些表现代表两侧心房、心室间或主肺动脉间有沟通;④排空延迟,代表前进通道上有狭窄、梗阻,例如在肺动脉狭窄时,右心室排空延迟,表现为右心室显影时间延长;⑤反向充盈,代表瓣膜关闭不全,例如左心室造影时,左心房逆行充盈,说明二尖瓣有关闭不全,不能阻止血液反流。
四、心、大血管疾病X线表现与诊断
(一)风湿性心脏病 风湿性心脏病(rheumaticheart disease)可分为急性或亚急性风湿性心脏炎及慢性风湿性瓣膜病两大类。前者是风湿热的主要组成部分。X线检查对其病原诊断帮助不大,后者则是风湿性瓣膜炎的后遗损害,为常见心脏病之一。多发生于20~40岁,女性略多。各个瓣膜均可损害,但以二尖瓣为常见,其次为主动脉瓣及三尖瓣,而肺动脉瓣少见。
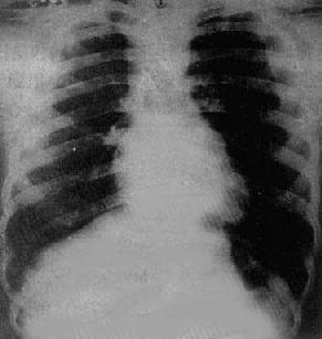
1.二尖瓣狭窄 三尖瓣狭窄(mitral stenosis)的主要病理改变为瓣环瘢痕收缩,瓣叶增厚融合,瓣膜表面粗糙硬化,有小赘生物以及腱索缩短和粘连。二尖瓣狭窄时,左心房的血液进入左心室发生障碍,左心房内压力升高,左心房扩张和肥厚,并出现肺瘀血现象。长期的二尖瓣狭窄,使左心室内血流量减少,左心室及主动脉均可萎缩。
临床上轻度二尖瓣狭窄,症状不明显或主要为劳累后心悸。重度狭窄则可出现咯血、端坐呼吸、肝大、下肢水肿等。主要体征为心尖区舒张期隆隆样杂音,肺动脉瓣区第二音亢进。心电图有二尖瓣P波,常有心房颤动。超声心动图可显示二尖瓣前叶曲线在舒张期喷射下降速度减慢,二尖瓣前后叶的同向运动,左心房和右心室扩张,左心室不扩张但后壁运动幅度减低等表现,对诊断二尖瓣狭窄有重要的参考价值。
单纯二尖瓣狭窄X线表现(图3-2-15)为:①心脏增大,左心房和右心房增大,左心耳常明显增大;②主动脉球缩小,主要原因是左心室血液排出量减少,主动脉发育障碍或心和大血管向左旋转时,主动脉弓折叠;③左心室缩小,心尖位置上移,心左缘下段较平直;④二尖瓣瓣膜钙化,系直接征象;⑤肺瘀血和间质性水肿。上肺静脉扩张,下肺静脉变细。有时还可见肺野内出现直径1~2mm大小的颗粒状影,为含铁血黄素沉着。
二尖瓣狭窄只有在诊断困难,要考虑手术或介入治疗,需明确病变程度时,才进行造影检查。以左心房造影为宜。造影可见左心房腔扩大,心室舒张期二尖瓣呈圆顶状凸出,左心室腔呈部分充盈。造影剂通过狭窄的二尖瓣口呈窄带状影。
2.二尖瓣关闭不全 二尖瓣病变中,约有一半是二尖瓣狭窄伴有二尖瓣关闭不全(mitral insufficiency),而单纯二尖瓣关闭不全少见。
二尖瓣关闭不全,左心室收缩时,部分血液反流至左心房,使左心房血量增加而扩张。如左心房代偿功能不足,则肺瘀血即很显著。左心房因为接受由肺循环回流的血液和由左心室反流的血液,负担加重而肥厚,严重时可发生左心衰竭。



图3-2-15 二尖瓣狭窄
A.右前斜位:右心室增大,肺动脉段突出(↑),心前间隙变窄(↑),左心房轻度增大;B.后前位:心增大,呈二尖瓣型,右心室增大,肺动脉段突出,左心耳增大,出现第三弓(↓),有肺瘀血表现;C.左前斜位:右心室增大,左心房增大不明显;左心室不增大。
轻度二尖瓣关闭不全患者可无症状,中度以上乏力和心悸,劳动时有呼吸困难,也可有咯血等。听诊心尖区有收缩期吹风样杂音,且可传导至腋中线。
X线表现(图3-2-16),二尖瓣回流较轻,心代偿功能良好时,心大小和形状无明显改变,仅见左心房和左心室轻度增大,当二尖瓣回流在中度以上,心肌代偿功能较差时,则左心房明显增大,在心室也增大,透视下可见左心室收缩时因瓣膜关闭不全而左心房有强烈的搏动。肺有瘀血,右心室亦可增大。主动脉球正常或略小。
左心室造影可见造影剂逆流入左心房。根据造影剂进入左心房的多少和左心房腔的大小可以估计关闭不全的程度。

图3-2-16 二尖瓣关闭不全并狭窄
心增大呈二尖瓣型,右心室增大,肺动脉
段突出,左心耳增大,有肺瘀血

图3-2-17 慢性肺原性心脏病
心呈二尖瓣型,右心室增大,肺动脉突出,但无左心耳增大。肺动脉扩张,尤以右下肺动脉为明显,有肺门截断现象,说明有肺动脉高压。肺纹理增强,肺透明度增加,膈平而低,说明有慢性支气管炎和肺气肿
(二)慢性肺原性心脏病 慢性肺原性心脏病(chronicpulmonary heart disease)是由于长期肺实质和肺血管的原发病变或严重的胸廓畸形所引起的心脏病。肺的原发疾病以慢性支气管炎为常见。有肺动脉高压或右心功能不全等表现,一般认为肺动脉高压的发生是由于肺部长期慢性病变引起广泛纤维化及肺气肿,肺血管床逐渐闭塞,使肺循环阻力增加所致。但是近年来则认为,缺氧所引起的肺小动脉痉挛较血管床的器质性闭塞和减少更为重要。肺动脉压力升高,使右心室肥厚和扩张或右心衰竭。
临床上有长期咳嗽、咳痰、咯血、哮喘和劳动时心悸、气喘等。体检有肺气肿和支气管炎体征,如轻度紫绀,杵状指和干、湿性啰音,常有桶状胸,肺动脉区第下音亢进,心电图示右心室肥厚和心肌劳损等改变。
X线表现(图3-2-17)为肺动脉高压和肺部慢性病变的改变:①肺动脉高压,常出现于心形态改变前之前;②右心室增大,心呈二尖瓣型,心胸比率大于正常者不多,部分病例心比正常为小,与肺气肿、膈低位等因素有关。左心室如增大则常为心力衰竭所致。右心房增大少见,常由于右心室压力增高,右心房排血困难所致,右心房不增大;③肺部慢性病变,有慢性支气管炎,广泛肺组织纤维化及肺气肿等表现。
(三)心包炎 心包炎(pericarditis)是心包膜脏层和壁层的炎性病变,以结核性、风湿性、化脓性及病毒性为常见,尤以结核性最为常见。心包炎可分为干性和湿性两种。前者是心包脏、壁层出现以纤维蛋白为主的渗出物,使心表面粗糙而呈绒毛状,但X线无异常发现,后者则伴有积液。
1.心包积液 心包积液(pericardialeffusion)的液体可为浆液性、浆液血性、血性、化脓性及乳糜性等。心包积液时,心包腔内压力升高,当达到一定程度时,便可压迫心脏,使心房和腔静脉压力升高,以至静脉回流受阻,同时,心室舒张及血液充盈亦受阻,心脏收缩期排血量减少,因而出现心包填塞症状。
临床上有发热、疲乏、心前区疼痛和心包填塞症状,如面色苍白、紫绀、腹胀、水肿和端坐呼吸等。心界向两侧扩大、心音遥远、颈静脉怒张、静脉压升高、血压和脉压均降低。心电图示T波变低、平坦或倒置和低电压。超声心动图能作出诊断,且能测出积液的多少。
X线表现 (图3-2-18),不论积液的性质和病原如何,都可以显示其共同特点:①心包积液在300ml以下者,心影大小和形状可无明显改变,X线难以发现。中等量积液,液体从心包囊最下部分向心两侧扩展,后前位可见心影向两侧普遍增大,心缘正常弧度消失,心形状呈烧瓶状,如积液缓慢增多,则呈球形;②心包积液可使体静脉血液回流至右心房受阻,致使上腔静脉增宽;③由于心包在心底部的附着处高于心与大血管的交界下,增大的心影可以超过心、大血管交界处,增大的心影可以超过心、大血管交界以上,故使主动脉影缩短;④心缘搏动减弱或消失,而主动脉搏动则表现正常;⑤体静脉血液回流到右心房受阻,右心室排血量减少,因而肺纹理减少或不显。如合并左心衰竭,则有肺瘀血现象。

图3-2-18 心包积液(后前位)
心影向两侧普遍增大,心缘正常弧度消失,
上腔静脉增宽,主动脉影缩短,肺纹理减少
心包积液如吸收不彻底,可引起心包肥厚、粘连,并可逐渐发展成缩窄性心包炎。
当诊断困难,考虑外科治疗时,可行造影检查。行腔静脉或右心房插管,造影应包括心腔充盈的全过程。造影表现为各心腔无扩张,但心腔周围组织影像普遍明显增厚。心内循环时间延长。腔静脉扩张。
2.缩窄性心包炎 缩窄性包炎(constrictive pericarditis)为心包脏、壁两层之间发生粘连,并形成坚实的纤维结缔组织,明显限制心的收缩和舒张活动。大多是由于急性心包炎未能及时有效治疗发展而来。增厚的心包如同盔甲,包裹在心脏上,厚度可达1cm以上,一般以心室面,包括膈面增厚、粘连为著,而心房和大血管根部较轻。
右心室受压,舒张受限,静脉回流到右心房被阻,引起静脉压升高、颈静脉与上腔静脉扩张、肝大、腹水和水肿等。左心室受压,舒张受限,在舒张期进入左心室的血量减少,导致左心房和肺静脉压升高。心排血量亦随之减少。造成脉压下降。当二尖瓣口部位被心包纤维瘢痕包绕时,可引起肺循环淤滞,左心房亦可增大。
临床症状主要为心悸、呼吸困难、颈静脉怒张、腹胀、肝大、腹水、面部和下肢水肿、血压偏低、脉压变小和静脉压升高。体征为心音减低,心界不大或稍增大。心电图示肢体导联QRS波群低电压,T波变平或倒置和双峰P波。
X线表现(图3-2-19)为:①心影大小正常或轻度增大,也可中度增大,增大的原因为心包增厚、心包腔内少量积液或心室舒张障碍,使右心房压力升高而出现右心房增大;②心包增厚粘连使两侧或一侧心缘变直,各弓影分界不清,心外形常呈三角形或近似三角形,亦可呈球或其他形状,有时由于右心房增大,使心右缘呈一个大弧,而心左缘则平直;③心搏动一般明显减弱或消失,但在心包增厚不显著的部位,心可局部膨大,搏动明显增强;④心包钙化是缩窄性心包炎的特征性表现,国内资料占缩窄性心包炎的1.23%~1.56%。钙化可呈蛋壳状、带状、斑片状或结节状等。钙化多分布于房室沟、右心房室的周围、右心室的胸骨面及膈面等处。其次为左心室除心尖以外的部位。一般,钙化不易在后前位上发现,切线位用高千伏摄影最有效,可选择侧位或斜位投照;⑤由于静脉压升高,而使上腔静脉扩张;⑥左心房压力增高时,出现肺瘀血现象;⑦胸膜增厚、粘连。
缩窄性心包炎无需心血管造影检查。

图3-2-19 缩窄性心包炎
心影增大,心右缘呈一个大弧,心左缘各弧分界不清,
未见钙化,肺纹理增多
(四)心肌病 侵犯心肌的病变统称为心肌病(cardiomyopathy),病因有多种。可分为两大类:
原发性心肌病,病因不明,可分为三型,即扩张型、肥厚型和限制型(闭塞型)。扩张型最常见,病变主要侵犯心室,尤其是左心室,以心腔扩张为主;肥厚型,病变主要累及室间隔肌部及乳头肌,肥厚的肌部间隔可向两侧心室突出,使心室流出道变窄;限制型主要为心内膜增厚和心内膜下肌纤维化,侵犯心室流入道和心尖,心室壁明显增厚,心腔填塞。
继发性心肌病,为已知病因或合并其他疾病的心肌损害,是全身性疾病的一部分,包括各种感染所致的心肌炎、中毒、营养缺乏、代谢障碍、内分泌性疾病、结缔组织病、神经肌肉性疾病等,同时累及心脏。
临床上常有心悸、气促、胸痛、眩晕、心律失常及心力衰竭等症状。超声心动图可显示左心室流出道无狭窄以及室间隔和左心室后壁有无增厚,对诊断原发性肥厚型心肌病提供可靠的征象。
X线表现(图3-2-20),早期心大小和形状可以正常,以后心中度至高度增大,一般为双心室增大,但以左心室增大为显著,呈主动脉型;心搏动普遍减弱;肺血管纹理正常或增多,心力衰竭时,出现肺瘀血及间质性肺水肿;主动脉球一般不增大,有时因心排血量减少而缩小。继发性心肌病,病变好转后,心影恢复正常。

图3-2-20 原发性心肌病(扩张型)
心明显增大,以向左侧增大明显,
主动脉球较小,肺纹理正常
心血管造影对肥厚型心肌病有诊断价值,可明确心肌肥厚的部位、范围及程度,对治疗计划的制定与预后估计有较大帮助。应行左心室造影。造影可见由于肌部间隔肥厚所致左心室腔的倒圆锥状狭窄,心室腔变形,轮廓不整。
(五)先天性心脏病 先天性心脏病(congenital heart disease)按其血液动力学改变,可分为左向右分流,右向左分流和无分流三类。临床上一般将其分为有紫绀和无紫绀两大类。X线上则可根据肺血管表现分为肺血管纹理增多、肺血管纹理减少和肺血管纹理无明显改变三类。X线检查是诊断先天性心脏病的一种重要方法,对于常见的先天性心脏病,普通X线检查,紧密联系临床资料,可作出较为正确的诊断。但普通X线检查,对于复杂的畸形毕竟有一定的限度,还须进一步作心导管检查和心血管造影,才能了解心内解剖结构及血液动力学改变。现以房间隔缺损和Fallot四联症为例,说明普通X线检查的诊断问题。
1.房间隔缺损 房间隔缺损(atrial septal defect)是成人最常见的先天性心脏病,女性多于男性。
根据缺损的部位,可分为第一孔(原发孔)型、第二孔(继发孔)型和其他类型。第二孔型多见,缺损多在卵圆孔,大小为1~4cm。当有心房间隔缺损时,左心主房的血液分流入右心房,因此右心房除接受体循环来的静脉血外,还接受左心房分流的动脉血,右心房、右心室及肺动脉内的血流量明显增加,引起右心房及右心室负担过重而肥厚、扩张。久之可出现肺动脉高压和右心衰竭,右心房内压力可接近或超过左心房的压力,出现双向分流甚至右向左的分流。第一孔型少见,缺损是由于心内膜垫发育障碍所引起,缺损位于房间隔下部,常伴有二尖瓣或三尖瓣裂缺,而产生瓣膜关闭不全。
临床上常有劳累后心悸、气促,易患呼吸道感染,无发绀,儿童症状不明显,多数在青年期才出现症状,心力衰竭常出现于30岁以后。体检在胸骨左缘第2~3肋间可听到收缩期吹风样杂音,无震颤,肺动脉瓣区第二音亢进、分裂。心电图显示右心室和右心房肥厚及右束支传导阻滞。
X线表现,当缺损小,分流量少时,心大小和形状正常或改变不明显。缺损较大即有以下改变(图3-2-21):①心呈二尖瓣型,常有中度增大;②右心房及右心室增大,尤以右心房显著增大为心房间隔缺损的主要特征性改变;③肺动脉段突出,搏动增强,肺门血管扩张,常有“肺门舞蹈”现象;④左心房一般不增大,第二孔型左心室和主动脉球变小,而第一孔型左心室增大;⑤肺充血,后期可出现肺动脉高压。
房间隔缺损只有在诊断困难,怀疑有心内膜垫缺损或并发其他畸形时,才行心血管造影。
2.Fallot四联症 Fallot四联症(tetralogy of Fallot)是紫绀型先天性心脏病中最常见的一种,占50%以上,包括四肿畸形:肺动脉狭窄、室间隔缺损、主动脉骑跨和右心室肥厚,其中以肺动脉狭窄及室间隔缺损为主要畸形。系由于原始动脉干分为不均等的粗大主动脉和细小的肺动脉及心球发育障碍所致。肺动脉狭窄以右心室漏斗部狭窄为常见,其次为漏斗部及瓣膜部均狭窄。漏斗部狭窄多为肌肉肥厚呈管状或环状狭窄。室间隔缺损绝大多数在膜部,一般直径为1~2.5cm。主动脉多数向前、向右方移位,骑跨于两心室之上,管径较粗大。为细小肺动脉的3~4倍。右心室肥厚继发于肺动脉狭窄。

图3-2-21 房间隔缺损
右前斜位:右心室增大,肺动脉段突出,心前间隙变窄,无左心房增大后前位:心增大,呈二尖瓣型,右心房及右心室增大,肺动脉段突出,肺纹理增强左前斜位:右心房及右心室增大,左心室被增大的右心室推向后
临床上,患者发育一般迟缓,紫绀出现早,大多数在1岁以内,有气促,喜蹲踞,杵状指趾和晕厥史。于胸骨左缘第2~4肋间可闻到较响亮的收缩期杂音,且可扪及震颤。肺动脉第二音减弱或消失,心电图显示右心室肥厚。
四联症分为三型,X线表现如下:
(1)常见型:(图3-2-22)肺动脉狭窄较重,室间隔缺损较大,紫绀明显。X线表现为①心一般无明显增大,心尖圆钝、上翘呈羊鼻状,心腰凹陷,如有第三心室形成,则心腰平直或轻度隆起;②右心室增大;③左心室因血流量减少而缩小,左心房一般无改变,右心房由于回心血流增多及右心心室压力增高而有轻度到中度增大;④肺门缩小,肺野血管纹理纤细;⑤主动脉增宽,并向前、向右移位。

图3-2-22 Fallot四联症
心增大,心尖圆钝上翅,心腰平直,右心室增大,
肺门缩小,肺纹理纤细,稀少
(2)重型:肺动脉高度狭窄或闭锁,室间隔缺损较大,全部为右向左分流,出生后即出现紫绀,与常见型相似,但更严重。心脏大多数有中度以上增大,右心室增大显著肺门显著缩小甚至无明显肺动脉主干影,肺野有支气管动脉形成的网状侧支循环影。有时可见左上腔静脉或右位主动脉弓。
(3)轻型(无紫绀型):室间隔缺损较小,肺动脉狭窄较明显时,其X线表现与单纯肺动脉狭窄相似;室间隔缺损较大,肺动脉狭窄不明显时,X线表同则与室间隔缺损相似。
心血管造影可明确四联症畸形及其程度,为手术治疗提供重要参考资料。以选择性右心室造影为宜。造影可见在右心室及肺动脉充盈显影的同期或稍后有左心室及主动脉的提早显影,代表心室水平的右向左分流和主动脉骑跨。室间隔缺损于侧位上显示,居主动脉瓣下方,常较大,升主动脉扩张。漏斗部狭窄多较长,呈管状,肺动脉瓣狭窄在心室收缩期呈鱼口状突向肺动脉。肺动脉干及左右分支常有不同程度的细小。右心室肥厚。右心房与腔静脉扩张。
第二节 超声心动图诊断
超声心动图(ultrasoundcardiography)是近代发展起来的新型诊断技术。它利用雷达扫描技术和声波反射的特性,在荧光屏上显示超声波通过心各层结构时发生的反射,形成灰阶图像,借以观察心、大血管的形态结构和搏动状态,了解房室收缩、舒张与瓣膜的关闭和开放活动的规律,为临床提供具有重要价值的参考资料。由于对某些心脏病诊断的准确性高、重复性强、方法简单且无损伤和痛苦,而受到临床的欢迎和重视。
一、检查方法
超声心动图有以下三种检查方法:
二维超声心动图(two-dimensional echocardiography):能显示心、大血管的断面轮廓和各种结构空间关系的断面形态,大小、联结关系与活动状态,为断面灰阶图像(图3-2-23、24)。

图3-2-23 心超声胸骨旁长轴断面示意图
LA.左心房 MVL.二尖瓣 LV.左心室 AVL.主动脉瓣 RV. 右心室

图3-2-24 心超声心尖四腔室断面示意图
LA.左心房 LV.左心室
RA.右心房 RV.右心室
TVL.三尖瓣 MVL.二尖瓣
脉冲多普勒超声心动图(pulsed Dopplerechocardiography):观察血流的运动规律,确定血流紊乱的部位和方向。对于心间隔缺损、瓣膜的狭窄与关闭不全等具有较大的诊断价值。
造影超声波心动图(contrastechocardiography):将超声检查用造影剂(锭氰蓝绿、双氧水、二氧化碳、碳酸氢钠+维生素C)经静脉或导管注射。由于造影剂在血液内产生微小气泡,致使超声波产生强烈的反射,形成云雾状影像,能观察各种心脏病的血液动力学改变,对临床诊断具有重大价值。
二、临床应用
超声心动图对下述心脏病有诊断价值:①心脏瓣膜病;二尖瓣狭窄和(或)关闭不全、二尖瓣脱垂;三尖瓣和主动脉瓣狭窄和(或)关闭不全。②心肌病变:心肌梗死特别是室壁瘤的发现;物发性心肌病,以心腔扩张为主的扩张型心肌病,以心壁增厚为主要表现的肥厚型心肌病。③先天性心脏病:能观察到房室间隔缺损、大血管转位和血液分流的情况。④其他;心包的增厚和积液。心脏内和心旁的肿瘤,如心内粘液瘤,心肌的肿瘤,心脏旁(纵隔)肿瘤等。
第三节 CT诊断
常规的CT设备由于扫描时间与成像时间长,虽然行心血管造影并CT扫描,心内结构也显示不清,因此,难于应用CT检查心,大血管。自从超高速CT设备和螺旋扫描技术问世以来,才使CT检查心、大血管成为可能。但仍需向血管内注射造影剂,才能行CT扫描。因此是比较复杂而又有一定痛苦和危险的方法,使心、大血管CT检查的应用仍然受到限制。
一、检查方法
常规胸部CT扫描,能显示心、大血管轮廓以及与纵隔内器官,组织的毗邻关系,对显示心包积液、增厚、钙化有一定帮助。
螺旋扫描与心血管造影并用可以得到心、大血管内腔的三维重建图像,能了解心、大血管腔内的情况和心血管壁的厚度等。
超高速CT扫描与心血管造影并用,可显示心、大血管内腔的变化,对诊断心、大血管内血栓、粘液瘤、瓣膜形态改变以及冠状动脉钙化有一定帮助。对冠状动脉钙化的发现优于MRI。此外,还可行心肌厚度、血流量和组织内灌注等的研究。由于扫描时间短,还可行心、大血管的动态观察。
二、临床应用
心、大血管的CT检查对下述疾病有一定的诊断价值:
①心包疾病:心包炎引起的心包积液,CT值一般在12~40Hu,如果密度较高,表示心包积血或渗出液;如密度较高,表示心包积血或渗出液;如密度较低,则可为漏出液或淋巴液。心包增厚(数mm至50mm)或钙化为慢性心包炎表现,恶性肿瘤的心包积液为血性的,有时可见多个结节状影。②心脏肿瘤:心腔内肿瘤以良性居多,如粘液瘤,表现为心腔内软组织肿块;心壁的肿瘤如心肌肿瘤,罕见。③缺血性心肌病;心肌梗死,此外,还有心脏室壁瘤、大血管动脉瘤或夹层动脉瘤(图3-2-25)。④特发性心肌病:心腔扩大为扩张型心肌病,心腔缩小和心壁增厚为肥厚型心肌病。另外对于先天性心脏病,如间隔缺损等和瓣膜病,如二尖瓣病变等也有一定诊断价值。
第四节 MRI诊断
心、大血管MRI检查的优点是:①由于血流的流空效应,心大血管内腔呈黑的无信号区,与心血管壁的灰白信号形成良好的对比,能清楚地显示心内膜、瓣膜、心肌、心包和心包外脂肪;②MRI为无损伤性检查;③可从冠状面、矢状面、横断面以及斜面来显示心、大血管的层面形态。
一、检查方法
心、大血管是有搏动的运动器官,在MRI成像方面有特殊的要求:①心电门控或心电触发技术能够获得心动周期中预定点上的图像,同是也可作为检查中监视患者情况的一种手段;②成像序列,自旋回波为常规的脉冲序列。快速成像自旋回波序列对于心血管成像具有重要意义,能细致观察心肌收缩与舒张的变化,更准确地测量心功能;能观察瓣膜的功能状态和心内血液分流情况;能鉴别血管和含气的空腔、血流和血栓。
表3-2-1 心、大血管信号强度特征
| 组织 | T1WI | 质子密度 | T2WI |
| 流动血液 | 黑 | 黑 | 黑 |
| 大血管壁 | 黑灰 | 灰 | 灰 |
| 心肌 | 灰 | 灰 | 灰白 |
| 心包 | 灰 | 灰 | 灰白 |
| 心包脂肪 | 白 | 白 | 白灰 |
心、大血管的磁共振信号,在常规自旋回波序列中,由于血液的流空效应,其内腔呈黑的无信号或极低信号区,而心肌、血管壁呈灰的低信号(表3-2-1)。
在横断面图像上能显示房室间隔、房室壁之前后部、乳头肌和腱索,有时可见右冠状动脉主干;冠状面图像上能显示右心房、右心室、左心室侧壁、部分心室间隔、升主动脉、主动脉弓、头臂动脉、肺动脉主干及左右肺动脉,上下腔静脉进入右心房,有时可见左冠状动脉主干(图3-2-26)。矢状面图像,能显示心脏,主动脉的升、弓、降部和肺动脉主干。斜面图像上,可显示房室壁的厚度和心脏各房室的大小和房室间隔。
在快速成像序列,心、大血管的血流呈白的高信号,心肌为中等弱信号,瓣膜信号较心肌信号稍低。

图3-2-26 正常心、大血管MRI(SE序列)
冠状面图像←主动脉瓣,pm乳头肌,
V.主动脉Valsalva窦 S.上腔静脉
二、临床应用
MRI是无创伤性检查方法,对下述疾病有诊断价值:①大血管病:主动脉夹层动脉瘤,能显示真假腔和内膜片;主动脉瘤,可见主动脉腔扩大,壁薄及瘤内血栓;主动脉的异常,如缩窄和扩张以及腔静脉的狭窄和梗阻。②先天性心脏病:房室间隔缺损、主动脉缩窄、动脉导管未闭和复杂性先天性心脏病。③心肌病变;心肌梗死、室壁瘤(图3-2-27)、瘤内血栓形成、特发性心肌病(图3-2-28)。④心脏肿瘤:良性粘液瘤、恶性纤维组织细胞瘤、血管肉瘤和肌肉瘤等。⑤心包病变:心包积液,心包肥厚和心包肿瘤等。

图3-2-27 左心室室壁瘤
MRI显示左心室室壁瘤(↑),呈心壁变溥,局限性膨隆

图3-2-28 特发性心肌病
心MRI,SE序列横断面图像,左心室壁及室间隔肥厚(*),LA左心房