女性生殖系统由于周围有丰富的脂肪组织,位居盆腔深部而受呼吸运动的影响小,故适于CT检查。由于X线对生殖器官的影响,对年轻患者慎用。USG检查是女性生殖系统的首选检查方法,但如有技术困难或未能明确诊断时,可使用CT检查。
盆腔CT检查主要用于检查盆腔肿块,确定肿块的起源和性质,尤其是区分实性与囊性肿物;了解肿物同周围组织关系;对恶性肿瘤还可判断其发展和转移情况,例如有无盆腔淋巴结转移,盆腔软组织是否受侵,腹膜有无转移以及有无骨转移等。
女性盆腔CT检查需作准备。检查前口服1.5%泛影葡胺充盈小肠和结肠,并经直肠注入造影剂充盈直肠和乙状结肠。多饮水,以使膀胱盈。已婚妇女应阴道内放置纱布卷(低密度并含气),以便易于识别。先行平扫,再行增强扫描。
子宫体在CT上易于识别,显示为横置的密度较高的梭形影像,CT值40~80Hu,宫体中央密度可略低。子宫大小受年龄和生理状态的影响,一般成人前后径为1.5~3cm,左右径为3~5cm,老年人子宫较小。膀胱充盈程度也影响子宫的大小。子宫前方为膀胱,呈液性低密度;后方为直肠,内常有气体。膀胱、子宫、直肠之间常有肠袢存在。宫颈在宫体下方层面,呈卵圆形软组织影。卵巢位于子宫侧壁和臼内壁之间,正常大小时CT常不见。增强扫描,子宫密度均匀增加,膀胱内造影剂为高密度,盆腔内血管输尿管显示为高密度,易于识别(图4-5-5)。

图4-5-5 女性盆腔正常CT表现
子宫呈横行的梭形软组织影(↓),其前方为膀胱(B)
其后方、骶骨之前为直肠(R)
女性生殖系统很适于作MRI检查。常用自旋回波得T1和T2WI。作横断面、矢状面和冠状面成像。阴道在矢状面观察最好、膀胱内的尿液和直肠内气体为显示阴道提供了对比。在T1WI上阴道显示为较低信号,T2WI则信号稍高。子宫颈在矢状和横断面上显示较好。呈中等强度信号,其内的粘膜呈线状高信号。生育期妇女子宫体在矢状和横断面显示最好,在T1WI显示为中等信号,在T2WI宫体可分三种信号:肌层显示中等信号;内膜及宫腔粘液为高信号;两者之间有一薄而较低信号的中间层。在子宫前方,膀胱内尿液在T1WI上表现为低信号;T2WI上尿液为高信号;膀胱壁则为较低信号。卵巢在半数病例可以见到,在T1WI上为中等信号,与周围脂肪可以区分(图4-5-6)。


图4-5-6 女性骨盆正常MRI表现
T1WI矢状面,子宫肌层为中等信号强度(↓)子宫内膜为稍低信号强度(▽),膀胱内尿液为极低信号强度(↓)T2WI矢状面,子宫肌层信号降低(↓),子宫内膜信号增强(↓),膀胱内尿液信号明显增强(↓)
(一)子宫肌瘤CT表现为子宫增大,有时可见肿块向外隆突或呈分叶状。肌瘤密度可等于或低于正常子宫。如出现瘤内钙化则可确诊为子宫肌瘤。子宫肌瘤在T1WI上表现为均匀的中等强度信号,略低于正常子宫肌层,但难以区分;T2WI上则肌瘤信号高于子宫肌层,易于识别。瘤内钙化表现为低信号。坏死区在T1WI上为低信号,T2WI上为高信号(图4-5-7)。


图4-5-7 子宫肌瘤MRI
T1WI横切面,子宫肌瘤表现为中等强度信号,轮廓光滑整齐(↓),压迫膀胱左后壁(↓)
B、T2WI子宫肌瘤信号稍低且不均匀(↓),膀胱内尿液成为极强信号(↓)
(二)子宫癌 宫体癌初时子宫并不增大,癌的密度与正常子宫相等,CT平扫不能发现。增强扫描子宫增强而癌瘤不增强。其后子宫增大,可表现为不规则肿块隆突,瘤内坏死表现为低密度区。如肿瘤向宫旁、膀胱或直肠延伸,可见宫旁脂肪层消失,子宫轮廓模糊,有软组织影向膀胱、直肠、宫旁组织甚至盆壁浸润。淋巴结大于1.5cm可认为有淋巴结的转移。
宫颈癌时CT见宫颈增大,或呈不规则的软组织块。CT检查子宫癌主要在于了解肿瘤向宫外侵犯的范围,有助于癌瘤的分期。
宫体癌在T1WI上表现为略低信号的肿块,T2WI上表现为高信号。
宫颈癌的T1值与正常子宫无大差别,因而在T1WI上难以识别。如癌瘤使宫颈增大、变形,成肿块状,才可以在T1WI上见到。注造影剂后,宫颈癌信号明显增强。T2WI对确认宫颈癌最好,它表现为信号增强的肿块,宫颈管增宽,正常分层消失。矢状面易于观察肿瘤是否侵犯周围组织。
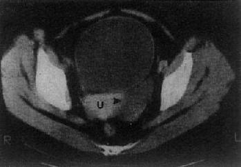
(三)卵巢囊肿或肿瘤 单纯的卵巢囊肿,大多是潴留囊肿,常较小,CT易于显示。表现为囊性低密度影,CT值接近水,边界光滑整齐,大小常为数厘米(图4-5-8)。囊性畸瘤表现为密度不均的低密度肿块,内含多种组织如脂肪、钙化、牙或骨组织。皮样囊肿,其壁常有钙化。卵巢囊腺瘤常较大。浆液性囊腺瘤可为单房性或多房性,壁较薄,少数可为双侧性。粘液性囊腺瘤壁较厚,常为多房性。它们的CT值约为15Hu,增强扫描其壁和囊均不增强。卵巢恶性肿瘤表现为盆腔或下腹部肿块,呈软组织密度,CT值40~50Hu,肿瘤大多同时具有实性和囊性部分,边缘不规则,这些有别于良性囊腺瘤和单纯性囊肿,增强扫描实体部分有增强。卵巢癌可产生腹水,其CT值偏高,可达60Hu,30%的病例可见腹膜或大网膜转移,表现为前腹壁后方扁平形软组织肿块,密度不均,境界不清。有时可见腹膜、腹腔内及肠壁间结节肿块。CT检查了解卵巢癌的范围和转移情况比判断原发癌更为重要。

图4-5-8 卵巢囊肿
子宫(U)左侧有一长圆形低密度区(→),边界清楚,其CT值与膀胱CT值相似
MRI上,卵巢囊肿视其内容物成分,在T1WI上可为边界清楚的低信号、中或高信号区;T2WI上,囊肿信号强度明显增高。囊腺瘤主要包含多房性囊性肿瘤部分,有时还有实体部分,T1WI上见中等偏低信号,T2WI信号强度增高。卵巢畸胎瘤以含有较多脂肪为特征,不论T1WI还是T2WI其信号强度都能与脂肪相当,即T1WI呈极高信号,T2WI信号只稍减弱,钙化与毛发等则呈低信号。卵巢癌显示为轮廓不规则肿块。T1WI上肿块呈中等信号,介于液体与肌肉信号之间。T2WI上,其液性部分信号强度明显增高,实体部分只稍增高。坏死区则信号强度不均匀。大网膜和(或)腹膜转移表现为增厚及信号稍低而不均匀(低于脂肪的信号)。最近资料认为,以优良的MRI机与CT机为基本条件,对判断子宫癌的范围,MRI略优于CT;对判断卵巢癌尤其是腹膜转移CT略优于MRI;对判断淋巴结转移,两者大致相同。