第一节 X线诊断
泌尿器官均由软组织构成,缺乏自然对比,X线检查多需造影才能使之显示。肾有排泄含碘造影剂的能力,尿道又与外界相通,因而泌尿系统的造影为一常用检查方法,且占重要地位。USG和CT对泌尿系统疾病的检查优于X线,应用日益普及。肾上腺叶不属泌尿系统,因其解剖位置,也在本章内叙述。
一、X线检查方法
(一)普通检查 腹部平片是泌尿系统X线检查的初步检查。平片可观察肾的大小、形状和位置,并可显示泌尿系统结石和钙化。摄影前应清洁肠道以免粪便和气体干扰。
(二)造影检查 造影检查可显示泌尿器官的解剖结构,不少疾病可借此确诊。
1.排泄性尿路造影 排泄性尿路造影(excretory urography )又称静脉肾盂造影(intravenouspyelography,IVP),是泌尿系统常用的造影检查方法。本法是根据有机碘液如泛影葡胺在静脉注射后,几乎全部经肾小球滤过排入肾盏肾盂而使之显影,不但可以显示肾盏肾盂、输尿管及膀胱内腔的解剖形态,而且可以了解两肾的排泄功能。严重的肝、肾和心血管疾病为本法的禁忌证,甲状腺功能亢进、过敏体质、妊娠、多发性骨髓瘤及糖尿病(特别是合并尿中毒者)为相对禁忌证,应慎用。
检查前应清除道粪便和气体,限制饮水,作造影剂过敏试验。备好急救药物并在注射过程中注意患者情况,直至检查结束为止。摄影时应注意X线防护。本法有常规法和各种不同剂量法,包括双剂量法、大剂量静脉滴注法和肾实质造影法等。可视病情需要选用。
常规法尿路造影:成人用60%泛影葡胺20ml,约2分钟内注完。注后于下腹加压,暂时阻断输尿管以使肾盂充盈满意,注后15、30分钟摄取两肾区片,如显影良好可除去腹压迅即摄影全腹照片,此片输尿管和膀胱迹充盈。如有肾盂积水而显影不清,可延长摄影时间于2~4小时,乃至6~8小时后摄片(在此期间患者可除去腹压,离开检查台)。
在儿童,由于肾浓缩功能不如成人,可用76%泛影葡胺,剂量按每公斤体重1~1.5ml计算。
2.逆行肾盂造影 逆行肾盂造影(retrograde pyelography)是膀胱镜检查时,以导管插入输尿管,注入造影剂而使肾盂显影。一般每侧用12.5%碘化钠或10%~25%泛影葡胺5~10ml,对肾盂积水患者酌情增加,用于排泄性尿路造影显影不良或不适于作排泄性尿路造影患者。
3.膀胱及尿道造影 膀胱造影(cystography )及尿道造影(urethrography)是将导管插入膀胱,注入3%~6%碘化钠溶液100~200ml,以使膀胱显影的方法。主要用于诊断膀胱瘤、膀胱憩室、外在压迫,如前列腺肥大等疾病。气体对显示膀胱肿瘤、前列腺肥大等有良好效果。也可同时使用碘剂和气体,形成双重对比。
将导尿管插入前尿道,或将注射器直接抵住尿道口,注入12.5%碘化钠或15%~25%泛影葡胺,可显示男性尿道的病变。在排泄性尿路造影终了,也可进行排尿期尿期尿道摄影,为排泄法尿道造影。对于尿道狭窄,导尿管不能通过的患者更为必要。
4.腹主动脉造影与选择性肾动脉造影 腹主动脉造影(abdominal aortography)与选择性肾动脉造影(selectiverenal artetiography)可经皮作股动脉穿剌,置导和于腹主动脉,导管尖端到达肾动脉开口上方,快速注射60%~76%泛影葡胺30~40ml,连续摄影,可显示腹主动脉和两侧肾动脉。主要用于诊断大动脉炎和肾血管疾病如肾动脉狭窄,也用于观察肾肿瘤和紧上腺肿瘤尤其是嗜铬细胞瘤。将导管插入一侧肾动脉作选择性肾动脉造影,能避免其他腹部血管的干扰,更好地观察一侧肾血管的情况,使肾实质显影更浓,以更好地显示肾肿瘤的异常血管,对肾脏病变的诊断和鉴别有重要价值。同时可行介入治疗,如肾癌的化疗、栓塞等。
二、正常X线表现
(一)肾 腹平片上,可看到两侧肾的轮廓。正常的轮廓。正常肾边缘光滑,密度均匀。肾影长12~13cm,宽5~6cm,其上缘约在第12胸椎上缘,下缘在第3腰椎下缘水平。一般右肾略低于左肾。肾有一定的移动度,但不超过一个椎体的高度。肾轴自内上行向外下,与脊柱纵轴形成一定的角度称倾斜角或肾脊角,正常为150~250。侧位上,肾影与腰椎重叠,上极比下极稍偏后。
造影主要显示肾盏和肾盂。排泄性尿路造影时,开始注射造影剂后1~2分钟肾实质显影,密度均匀。2~3分钟后肾盏、肾盂开始显影,15~30分钟时肾盏、肾盂显影最浓。如果肾功能不良,则显影延迟,密度较低,严重时可不显影。
肾小盏分为体部及穹窿部。顶端由于乳头的突入而呈杯口状凹陷,边缘整齐,杯口的两缘为尖锐的小盏穹窿。肾小盏位于不同平面且指向不同方向(主要指向外方),如果肾小盏恰好面向X线束,成横断面投影(或称正位投影),则形成一个环状影或圆形致密影,勿误诊为结石。有时一个肾小盏可接受多个乳头伸入而表现为较大且不规则,多见于上、下盏。肾小盏体部较窄,又称为漏斗部。肾大盏边缘光滑整齐,略成长管状,可分三部:①顶端或尖部,与数个肾小盏相连;②峡部或颈部,即为和长管状部;③基底部,与肾盂相连。肾大小盏的形状和数目变异较多,有的粗短,有的细长,两侧肾盏的形状、数目亦常不同。但一般肾大盏常为3个。肾盂多位于第二腰椎水平,略呈三角形,上缘隆凸,下缘微凹,均光滑整齐。肾盂开头亦有较大变异,多呈喇叭状,少数可呈分支状,即肾盂几乎被两个长形肾大盏所代替。有的肾盂呈壶腹形,直接与肾小盏相连而没有肾大盏。这种肾盂勿误诊为肾盂扩大。肾盏和肾盂均有蠕动,有时其边缘可见到暂时性凹陷或狭窄,为蠕动波所成。肾血管有时亦在肾盏或肾盂边缘造成小的压迹,均属正常(图4-4-1)。



图4-4-1 正常肾盂肾盏不同形状(虚线状代表肾的内缘和肾门区)
逆行肾盂造影,如注射压力过高会造成造影剂回流又称逆流或反流,入肾小管或血管周围等处,造成各种特殊的表现(图4-4-2)。应当避免造影剂回流。常见下数种回流:①肾小管回流,造影剂经乳头进入肾小管,表现为由肾小盏中心向皮质方向散布的放射状致密影;②肾窦回流,肾小盏穹窿部撕裂,造影剂回流入肾窦,表现为穹窿周围不规则角状或带状致密影,显著者出现一片不规则毛糙影;③血管周围回流,造影剂沿静脉周围间隙散布,表现为自穹窿向外走行的拱门状细条状影;④淋巴管回流,造影剂进入淋巴管,表现为纤细蜿蜒迂曲的线条影,向肾门方向行走。

图4-4-2 肾盂各种回流
(二)输尿管 输尿管长约25cm,上端与肾相接,在腹膜后沿脊椎旁向前下行,入盆腔后,多在骶髂关节内侧走行,过骶骨后,先弯向外下,再斜行进入膀胱。输尿管有三个生理狭窄区,即与肾盂连接处、越过骨盆边缘处、进入膀胱处。输尿管宽度常因蠕动而有较大变化,边缘光滑整齐有柔和感,也可有折曲。输尿管下端入膀胱处几乎横向,并与膀胱影像重叠。
(三)膀胱 膀胱的正常容量为200~350ml,形状、大小取决于充盈程度。充盈较满的膀胱呈卵圆形,横置于耻骨联合之上,其下缘多与耻骨上缘相平。边缘光滑整齐、密度均匀。膀胱项部可以略凹,系乙状结肠或子宫压迫所致。如膀胱未充满或在收缩状态,其粗条状粘膜皱襞可使边缘不整齐呈锯齿状。两个输尿管开口之间有一个输尿管间嵴,表现为横形透明带。膀胱和尿道相连处称膀胱颈,一般不显示。
(四)尿道 男性尿道可分前后两部,前尿道较宽,自外而内分为舟状窝、海绵体部(为最长的部分)与球部(为尿道最宽处),长13~17cm。后尿道较窄,自外而内分为膜部和前裂腺部,长3~4cm。膜部有外括约肌围绕,为尿道最窄处。逆行法造影时,因括约肌收缩,后尿道常充盈不良,表现为细线状影,勿误诊为狭窄。
三.泌尿系统疾病X线表现与论断
(一)泌尿道结石 泌尿道结石可位于肾至尿道的任何部位。结石的成分不同,形状。密度也不同。多数结石含钙,密度较高,能在X线平片上显影称为阳性结石。少数结石如尿酸盐类结石含钙少,X线照片上不能显影,称为阴性结石,需经造影诊断。结石的主要临床表现是肾绞痛、血尿、排尿困难与继发感染的症状。90%以上的结石可由X线平片显示,故平片是检查结石的首选方法。尿路造影可诊断阴性结石。了解有无泌尿道梗阻。
1.肾结石 肾结石(renalstone)可为单个或多个,单侧或双侧。绝大多数的肾结石位于肾盂或肾盏内,极少数可位于肾实质内。肾结石的平片表现为肾区圆形.卵圆形或表面带刺的桑椹状致密影(图4-4-3)。密度可以高而均匀,或浓淡不等或分层。边缘光滑或不光滑。具有肾盂或肾盏形状为肾石的特征,常呈鹿角状或珊瑚状。桑椹、分层和鹿角形状结石为三种典型的结石。侧位观察,肾结石与脊柱重迭。肾结石需与淋巴结钙化、胆石、肠容物等鉴别。淋巴结钙化常呈成团的斑点状影,移动度大。胆石除形状与肾结石不同外,侧位摄影可见其位置远在脊柱之前。肠内容物的形状和结构无定形,灌肠后再次摄影即消失。

图4-4-3 肾结石
左肾结石,侧位像上结石与脊柱相重
尿路造影有助于肾结石的诊断。造影能确定可疑影是否在肾内。阴性结石在造影上可显示为充盈缺损。造影还能了解患肾的功能,是否有继发感染和(或)肾盂扩大。必须指出,结石的密度可以高于、等于或低于造影剂的密度,不少结石在尿路造影时反而不能见到,因此,必须强调平片对结石诊断的重要性。
2.输尿管结石 输尿管结石(ureteralstone)多由肾结石下移而来,易停留在生理狭窄处。结石常为黄豆大或米粒大的致密影。密度大多不均匀,边缘光滑或毛糙如桑椹状。其长轴与输尿管走向一致。腹段输尿管结石位于腰椎旁,骶髂段输尿管结石位于骶髂关节内侧,盆腔段输尿管结石与骨盆内缘大致平行,输尿管下端近膀胱处的结石则多为横行。输尿管结石可逐渐下移,小时可自行排出。结石需与淋巴结钙化和静脉石鉴别。静脉石为盆腔静脉丛内的钙化,位于盆腔的外围,多较小而呈圆形或环形高密度影,边缘光滑整齐,常为多发性和两侧性,无临床意义。
输尿管结石与横突或骶椎重叠时容易忽略,对诊断困难的输尿结石,需作造影协助论断。排泄性尿路造影可确定致密影是否在输尿管内,其上方的输尿管扩大。通过膀胱镜将导管插入输尿管也可区别是否为输尿管结石。如果导管与致密影重叠或贴紧,证明致密影在输尿管内。如果导管止于输尿管的下方,则注射少量造影剂可以证明此影在输尿管内。
3.膀胱结石 膀胱结石(urinarybladder stone)大多为单发,亦可多发,常横置于耻骨联合的上方,居盆腔中线部位。结石可为圆形或卵圆形,边缘可以光滑或毛糙,密度可能均匀,不均或呈分层状。小者仅数毫米,大者可达10cm 以上。结石可随体位而改变位置,总是在膀胱最低处。憩室内结石可居一侧且不改变位置,膀胱造影能确定诊断。
4.尿道结石 尿道结石(urethralstone)多来自膀胱,见于男性性后尿道,特别常发生于男孩,结石多呈长形黄豆大的致密影,正位片上与耻骨联合重叠,与后尿道的走向一致。斜位摄影时结石位于耻骨联合稍后方。
(二)泌尿系统炎性疾病 炎性疾病以结核为重点讲授
1.泌尿系统结核 泌尿系统结核大多是继发的,原发病灶多在肺内。结核主要侵犯肾,然后蔓延至输尿管和膀胱,多为单侧性。
平片检查多无异常发现,有时可能看到肾内钙化。钙化可为云絮状,环形或花瓣状,有时可以描绘出脓腔的轮廓。全肾钙化,肾影增大或缩小,为肾自截的表现。肾结核钙化不代表病变的痊愈,而多表示有干酪性空洞存在。
诊断肾结核有赖于尿路造影检查。如肾功能明显受损需作逆行肾盂造影。肾结核初期表现为肾小盏顶端圆钝且边缘不齐如虫蚀状,是乳头的局限性溃疡侵犯肾小盏所致。当乳头锥体部或皮质部形成空洞并与肾盏通连时,造影表现为一团造影剂与肾盏相连或位于肾盏外方实质内,其边缘不整齐,密度不均匀,相应肾盏的边缘亦常不整齐或变形狭窄。病变发展成肾盏肾盂广泛破坏或形成肾盂积脓时,排泄性尿路造影常不显影或显影延迟且浅淡。边缘不整齐,逆行肾盂造影见肾盂肾盏变成一个扩大而不规则的腔,波及整个肾。有时可见肾盏的狭窄或闭塞。少数病例只见肾盂稍扩大和肾功能减低,则难以作出确切诊断。
输尿管结核表现为边缘不整齐,宽窄不等,有时呈串珠状或缩短而僵直。晚期可出现管壁的条状钙化。
轻微的膀胱结核X线变化不明显,可能边缘稍不整齐,但大小尚属正常,如形成挛缩膀胱则膀胱缩小,成为圆形或长圆形,边缘不齐。由于纤维组织收缩导致输尿管口开放,在膀胱则造影时可见造影剂向输尿管返流。膀胱结核可有膀胱壁的弧线状钙化,但较少见。
2.慢性肾盂肾炎 慢性肾盂肾炎(chronic pyelonephritis)好发于女性,为两侧性。长期慢性肾盂肾炎可产生瘢痕收缩,肾实质也有纤维性变。最后肾缩小,引起高血压和肾功能不良。
平片检查可见肾影缩小,有时见边缘略不规则,高低不平,或有局部凹陷区。尿路造影可见肾小盏变形,杯口形状扭曲,肾盏漏斗部狭窄,顶端则扩大。这些改变累及两侧肾的多数肾盏。肾盂亦可产生狭窄和变形,有时可见肾盏、肾盂呈痉挛性改变,细小或充盈不良,肾萎缩可致实质变薄。肾功能受损,可致显影延迟和密度减低。输尿管常有扩张。
(三)泌尿系统瘤和囊肿 肾肿瘤分为肾实质肿瘤和肾盂肿瘤两类。前者以肾癌常见,后者又分乳头状瘤(papilloma)与乳头状癌(papillo-carcinoma)但X线不易区分。
1.肾癌 肾癌(renalcarcinoma)常见于40岁以上男性,多为单侧性。临床表现主要是无痛性血尿,有时可触及肿物。
腹部平片可能看到肾影增大,呈分叶状,或有局限性隆凸,少数肿瘤可出现不同形状的钙化影。
肾癌的确诊需作尿路造影。由于肿瘤的压迫、包绕,可使肾盏伸长、狭窄和受压变形,肾盏可以封闭或扩张,如肿瘤范围较大而波及多个肾盏,可使各肾盏互相分离与移位,造成“手握球”(图4-4-4)或“蜘蛛足”样表现。由于肿瘤的侵蚀和压迫,可使肾盏边缘不整齐或出现充盈缺损,甚至完全闭塞。肿瘤压迫和侵蚀肾盂可造成输尿管的受压和移位,或使肾盂出现继发性扩大。用肾实质造影法加体层摄影,肾癌显示为边界不清的密度减低区。晚期肾癌可使肾盏不显影。

图4-4-4 肾癌
右肾上盏呈弧形压迹,右肾受压向外下移位
选择性肾动脉造影对肾癌疹断很有意义。不但可见血管的移位、分离、聚拢,伸直以判断占位病变的存在,还可以根据肿瘤血管的显影情况确定肿瘤的性质。肾癌常显示为网状和不规则形杂乱血管伴有池状充盈,由于动静脉瘘而使静脉早期显影,有些血管可中断或闭塞。
2.肾盂肿瘤 乳头状瘤多局限在粘膜,突出于肾盂或肾盏之中,基底宽,形状不规则,易破溃出血。乳头状癌外形与之相似,但可向深部发展并转移。两者均能向下种植到输尿管和膀胱内。
造影可见肾盂或肾盏内出现固定不变的充盈缺损,形状不规则。肾盏和肾盂可有不同程度的扩大。肾盂恶性肿瘤可以侵犯肾实质,并使肾盏移位变形。如肿瘤种植到输尿可造成小的充盈缺损和不完全梗阻。
3.肾囊肿 单纯性肾囊肿是一种薄壁充满液体的囊肿,多为单发。偶可发生恶变。临床症状多不明显,如有感染可出现脓尿等尿路症状。
平片检查可见肾轮廓的改变。尿路造影可显示肾盏的受压、伸长、移位和变形,压迹多呈弧形,边界锐利。选择性肾动脉造影,动脉期可见肾动脉分支的弧形移位,囊肿区缺乏血管而其周围则血管聚拢。肾实质期可见一边界锐利的充盈缺损,邻近的肾边缘呈喙状突出,甚至可见一圈蛋壳样边缘,代表显影的皮质。
4.多囊肾 多囊肾(polycystickidney)是一种先天发育异常。肾内形成多数大小不等的囊肿,绝大多数为两侧性。常在成年时发现。临床上常表现为腰痛、血尿、高血压、肾功能不全以及肾区肿物。X线检查可见两肾增大,轮廓呈分叶状,位置常较低。两肾的肾盏肾盂有不同程度的受压、变形与分离。肾盏边缘出现弧形压迹,颈部伸长。有时可呈“蜘蛛足”状。肾盂可有压迹、扭曲和变形。肾功能常常有不同程度的受损。本病与肾癌不同之处在于本病为两侧性,累及全肾,不造成肾盂肾盏的侵蚀、破坏或截断表现。USG与CT显示清楚,易于诊断。
5.膀胱肿瘤 膀胱肿瘤多为乳头状瘤和乳头状癌,以后者多见,肿瘤可单发或多发,恶性肿瘤还可在膀胱壁内造成广泛浸润。临床表现以血尿为主,可伴有尿痛、尿急及膀胱区疼痛,肿瘤靠近膀胱颈部可引起排尿困难。
膀胱造影可显示大小不同的充盈缺损,呈结节状或菜花样。肿瘤较小不影向膀胱的形状,较大且浸润膀胱壁内造成不规则的充盈缺损由于膀胱容积较大,如肿瘤较小易被造影剂遮住而不见,应当使用较淡的造影剂(3%~6%碘化钠)和较高的电压。气体及碘液双重造影有利于显示较小的肿瘤,值得应用。
(四)尿路梗阻与肾盂积水 尿路梗阻引起肾盂积水(hydronephrosis),常见原因是结石、肿瘤或炎性狭窄引起的阻塞。排尿功能障碍也是造成积水的原因。梗阻可引起其上方管腔内压力增高,肾盂肾盏扩大,并可使肾皮质逐渐萎缩。X线检查能确定梗阻的部位和性质,积水及功能损害的程度。
尿路造影是观察肾盏积水的有效方法。轻度肾盂积水时可见肾小盏杯口变平(乳头萎缩),穹窿部变为圆钝。肾盏逐渐变短而粗,成杵状。肾盂亦略扩大,排空能力减弱。肾盂积水继续发展时,上述改变更为明显,肾小盏顶端变为圆形,肾盂下缘由凹面变为隆凸。功能受影响,显影延迟,密度减低。严重肾盂积水时成一大囊,密度极低甚至完全不显影。对这些患翥应延迟摄影时间,甚至可于24小时后摄影,有可能看到扩大的盂与肾盏。
(五)先天性异常 泌尿系统在胚胎发育期间,经历较为复杂的过程,包括肾排泄部分(肾曲管)和集合部分(集合管)的连接,肾轴的旋转,肾自盆腔上升至腰部等,因而泌尿系统先天异常较为常见,种类繁多,包括数目、结构和位置异常等。
1.肾盂输尿管重复畸形(双肾盂、双输尿管)一个肾分为上、下两部,各有一个肾盂和输尿管,即为双肾盂双输尿管畸形(double pelvis,double ureter)。较常见,单侧或双侧,多无临床症状,但易合并其他畸形。排泄性尿路造影易于显示这种畸形,一般上方的肾盂肾盏较小,显影亦差。
2.马蹄肾 两肾的一极大多是下极互相融合形如马蹄称为马蹄肾(horse-shoe kidney),X线表现为①肾位置低,下极互相融合且接近于髂嵴水平;②肾盂、肾盏旋转不良,肾盂在前方,靠近中线,肾盏指向后方甚至内侧;③肾轴自外向斜向内下方,与正常相反;④肾盂、肾盏常有扩大或并发结石。
3.异位肾 胎儿期肾的上升发生障碍即成异位肾(ectopic kidney)。异位肾大多位于盆腔内,但极少数可居膈下,甚至可异位于后纵隔内。平片可见肿块影位于盆腔内、膈下或后纵隔内。造影可确定诊断。
4.髓质海绵肾 髓质海绵肾(medullarysponge kidney)是由于肾集合管先天性扩大所致。病变常累及两侧肾的多数锥体和乳头,形成许多数毫米大小的囊腔,使肾髓质如海绵状。平片检查有时可发现多个小结石,约数毫米大小,在乳头区呈丛状排列。排泄性尿路造影可见肾小管扩大,呈葡萄串样、扇形或花朵样影自肾盏向髓质呈放射状排列,多个小结石即包含于此影之中。肾盏可以稍扩大。逆行肾盂造影可以没有发现。
5.输尿管异位开口输尿管开口,可异位在膀胱内或膀胱外。本病大多伴有双肾盂双输尿管畸形,多见于女性,可为单侧或双侧。异位开口的输尿管都来自上肾部的肾盂。在女性,异位开口多位于前庭、阴道、尿道等处,造成持续性漏尿,但同时亦有正常的分次排尿。X线检查对确定诊断和治疗方案有重要作用。排泄性尿路造影可看到双肾盏双输尿管畸形,偶尔可能看到输尿管全长及异位开口,使用浓、较多的造影剂并增加摄片张数,延迟摄影时间才有可能显示上部肾盂和输尿管。如能找到异位开口处,放入导管注入造影剂,即可显示扩大迂曲的输尿管和发育不良的肾盂。
6.输尿管囊肿 输尿管囊肿(ureterocele)系由于先天性输尿管口狭窄及输尿管壁发育不全,使输尿管下端形成一个囊肿或囊样扩张。囊肿常突出入膀胱,位于输尿管开口附近,但有时可脱垂入尿道或体积很大的而占据整个膀胱。本病多发生于女性,常伴有双肾盂双输尿管畸形或其他先天异常。尿路造影在膀胱内近输尿管开口处显示一个圆形或卵圆形充盈缺损,直径多为1~3cm,边缘整齐锐利。有时形如蛇头状。为本病较典型的表现。有时在囊肿中有造影剂充盈且与输尿管相连,而囊壁则在膀胱影中显示为一个环状透明影。是本病的特征表现。输尿管常有不同程度的扩大。
(六)前列腺肥大 前列腺肥大(hypertrophyof prostate )或良性增生(hyperplasia of prostate)多见于老年。临床表现主要是排尿困难和排尿不尽,尿次增多。
膀胱造影可见膀胱底部有弧形压迹,或者看到肿物影向上突入,其边缘常光滑整齐,也可略成为叶状。后尿道受压变形,表现为伸长、狭窄和正常曲度增大。此外可见慢性阻塞引起的膀胱改变如锥形膀胱和边缘不整齐等。
(七)尿道疾病 尿道先天性异常种类甚多,如尿道裂、重复畸形、先天性憩室或瘘管、先天性狭窄和瓣膜形成等,常需作尿道造影以确定诊断。后尿道瓣膜需用排泄法尿道造影检查,可显示横过尿道的膜状影,瓣膜上部的尿道扩大。慢性炎症可引起尿道狭窄,范围较广,粗细不均,边缘毛糙,如有脓肿可显示为不规则的袋状影。有时尿道旁腺体也显影为扭曲而模糊的影像。尿道外伤很常见,多引起尿道球部或膜部破裂,以后形成狭窄。尿道造影对判断狭窄程度和部位以及有无瘘道等有很大帮助。外伤造成的狭窄范围较短,附近尿道近于正常。
(八)肾血管性疾病肾血管性疾病包括肾动脉狭窄和闭塞、肾动脉瘤及肾动静脉瘘等。其原因可以是先天性(肌纤维发育不良),炎症性,如大动脉炎和动脉粥样硬化等。其中,肾动脉狭窄最为常见。
肾动脉狭窄(stenosis of renalartery)可以累及肾动脉主干或肾内分支。它引起肾血流量明显减少,致肾萎缩变,肾小管的再吸收及浓缩功能均增加。常有侧支循环形成。临床上多发生在青年,有持续性高血压,体检常于肾动脉区闻及杂音。
X线平片检查可见患侧肾影缩小。一般认为如两侧肾长径相差超过1.5cm就有意义,小的一侧就是患患侧。排泄性尿路造影虽有诊断价值,但必须使用特殊方法,如每分钟连续摄片尿路造影法和冲刷试验。这些方法不能直接看到肾动脉狭窄,最可靠的方法是腹主动脉肾动脉造影。狭窄多位于肾动脉的根部和近侧,长度为数毫米或1cm 以上,单侧或两侧,一处或多处,常伴有狭窄后扩张。有时肾动脉近侧完全闭塞,几乎看到不到肾动脉。此时,肾的供血完由侧支循环而来,在较晚的照片上可见到远侧的肾动脉分支和肾实质象。肾内分支狭窄有时可见边缘不规则呈串珠状表现。
大动脉炎是引起高血压的重要原因,腹主动脉造影可见腹主动脉有程度不等的狭窄,边缘不规则,范围大多较长,多累及肾动脉开口平面至腹动脉分叉平面的一段。肾动脉常有不同程度的侵犯。
(九)肾上腺疾病肾上腺可发生皮质增生、皮质腺瘤或癌。临床上可为Cushing综合征或原发醛固酮综合征(primary aldosteronism),髓质可发生嗜铬细胞瘤(pheochromocytoma)。还可发生慢性肾上腺皮质功能减退,即Addison病。此外,还有神经母细胞瘤、血管瘤、无内分泌功能腺瘤和转移瘤等。X线平片诊断价值有限。在Addison病可能于肾上腺出现钙化。诊断主要靠CT扫描。肾上腺静脉造影并取静脉血标本行生化检查对诊断价值较大。
第二节 USG论断
USG对显示肾脏病变的部位、范围、内部结构、向邻近延伸、性质及肾癌的分期等,都优于X线检查。行USG导向穿刺还可达到诊断和治疗的目的。USG也适于肾上腺肿瘤的诊断。
一、肾
肾的USG检查取俯卧位,沿肾长轴作纵断面探查,根据需要也可行斜断面或横断面探查,检查无需特殊准备。
正常肾有鲜明的轮廓线,径线测量与解剖学结果一致,肾实质为低回声暗区,肾中心呈密集的光点区,为肾盂、肾盏及血管的回声影。
(一)泌尿系统结石 不论X线阳性或阴性结石,USG皆显示为密集、点状强回声光团,并带有声影,颇具特征,膀胱结石尚可随体位变化而移动。小于0.5cm的结石难于显示,血块为低回声暗区,有利于阴性结石与血块、肾盂肿瘤的鉴别。
(二)肾肿瘤与肾囊肿 USG对发现肾肿瘤敏感性高,对实质性肿物与囊肿的鉴别准确率可达到95%,因此,可疑肾肿瘤时应首选USG检查。
1.肾癌 USG可见肾增大、形态异常,肿瘤呈实质性暗区,其内可有细小、散在、分布均匀的光点,肿瘤侧壁出现边界不清的低回声带,肿瘤内出血、坏死、液化则出现液性暗区。肾盂、肾盏因受肿块推压,致其光点移位,甚至消失(图4-4-5)。血管内瘤栓形成散在或稀疏的血管内回声;肾门淋巴结增大则呈类圆实质性低回声区环绕肾蒂及主动脉与肾动脉的连接部;主动脉旁淋巴结增大,使大血管轮廓不清,或于腹膜后中线部出现实质性肿块,这些对肾癌的分期十分重要。肾癌术后USG检查是肿瘤复发及局部淋巴结转移的有效诊断方法。

图4-4-5 左肾癌
左肾大部被混杂回声肿物占据,
内部回声不均,边界不清
2.肾盂肿瘤USG可肾盂、肾盏光点分离,其间现现低回声区,与肾实质回声强度相似,诊断价值不如IVP。
3.肾囊肿①单纯性肾囊肿,USG表现为单侧性、轮廓鲜明的液性暗区,远侧壁回声增强表现典型,诊断可靠,并可在超声引导下对较大囊肿进行穿剌,为首选治疗方法。②多囊肾,USG示两肾增大,形态异常,并见多个大小不等的、圆形液性暗区,边界鲜明,因许多微小囊肿反射,紧实质暗区内回声增多,呈明暗不一的大小光点,与单纯性肾囊肿不同。并可发现肝、胰、脾囊肿。
(三)肾盂积水 肾盂积水量达到20~30ml时方可由USG显示,肾盂光点分离,中间出现液性暗区,其形态随断面角度而变化,横断面探查呈圆形,纵断面探查呈椭圆形,周围为肾实质低回声区。严重者,肾明显增大,肾实变薄,肾呈一巨大液性暗区。
(四)肾先天性异常 肾先天性异常多见,本节仅讲述肾盂重复畸形及肾位置异常。
1.肾盂重复畸形 USG可见两个肾盂、肾盏的回声。
2.异位肾及游走肾肾窝内不能测出肾脏的回声。异位肾,经手法推压不能纳入本侧之肾窝内;游走肾,经手法推压可纳入本侧肾窝之内。
(五)肾炎性疾病肾炎性疾病需发展一到一定程度时方有USG异常表现,且不具特征。
1.肾结核 USG表现随病理变化不同而异,不具特征性。肾仅有轻度形态变化时,USG多不能分辨;脓肿形成时,显示为肾实质内低回声暗区;钙化表现为带有声影的强回声。
2.慢性肾盂炎 USG可表现为肾盏扩张、变形、实质变薄、肾影变小、形态异常等。
二、肾上腺
正常肾上腺被肺及肋骨遮盖,USG较难显示,但肾上腺肿瘤时,可由USG探出。表现为境界鲜明的实质性低回声区(图4-4-6)。如有液化、坏死则回声不均或呈液性暗区;如有浸润则境界不清。疑嗜铬细胞却未发现肾上腺肿瘤者,应探查腹主动脉旁及膀胱等,以发现异位肿瘤。

图4-4-6 左肾上腺癌
左肾上腺区实质性低回声暗区,边界清楚(↓)
三、膀胱与前列腺
USG不能显示空虚的膀胱,因此,检查前应大量饮水,使之充盈。取仰卧位,经耻骨上行纵断或横断探查,探查应包括整个盆腔。
正常膀胱,呈一液性暗区,部分充盈时为圆形,充盈时呈卵圆形,内壁光滑。
正常前列腺,表现为对称的细长形、三角形或半月形,包膜声光滑、连续呈细线状,内部回声细致而均匀。
1.膀胱癌 USG表现为膀胱的液性暗区内出现边缘不整的实质性回声,并可显示肿瘤析的大小及形态。非手术治疗时,USG随诊可明确肿瘤对治疗的反映。
2.前列腺肥大与前列腺癌 前列腺肥大早期呈半月形,晚期为圆形或椭圆形;包膜回声光滑、连续,内部回声增强。
前列腺癌USG显示为前列腺非均匀性增大。未发生浸润时包膜回声连续,但厚度不均,发生浸润时则回声断续而不规则,内部回声不均。
第三节 CT与MRI诊断
CT对肾、肾上腺、膀胱和前列腺疾病的诊断优于USG。CT不仅能显示肾盂、肾盏及膀胱内腔,还能显示肾实质和膀胱壁。MRi 在显示病变的内部结构;恶性肿瘤对邻近器官、血管的侵犯情况,有无瘤栓存在;有无远处淋巴结转移;对恶性肿瘤的分期及治疗后的随访、评价,有无瘤复发等,均优于CT。与CT有互补性,可弥补CT的不足。
一、肾
肾CT扫描无需特殊准备。扫描范围上界应略高于肾上极,下迄肾下极,层厚1cm.,扫描12~14层面。一般无需口服造影剂。除怀疑肾结石及有造影剂过敏和肾功能不全时,一般均应常规行增强扫描。采用团注法显示肾动、静脉及肾实质,效果较好。肾盂一般于注造影剂后约2分钟显影。MRI一般采用横断面和冠状面或加矢状面,自旋回波T1WI,以显示解剖结构同时再作横断面T2WI,以判断病变性质。
肾在横断面CT图像上,呈边缘清楚、轮廓光滑的圆形或椭圆形软组织影。肾门部内陷,有肾动、静脉和输尿管进出。平扫时,肾实质密度均一,不能分辨皮质与髓质,CT值为30~50Hu。利尿作用强时,密度降低,仅约15Hu。增强扫描,肾实质密度增高,CT值达80~120Hu。肾盂与肾盏平扫时为水样密度,增强扫描密度明显增高。肾盂大小不定。输尿管平扫呈点状影,增强扫描密度高,易于辨认,肾筋膜在50%例可显影,呈横行细线状致密影,居肾之前后。
MRI可清楚显示肾。T1WI上,肾皮质呈中等强度信号,肾髓质信号低于肾皮质,二者形成皮髓质差异。但T2WI,二者差异不显,整个肾实质均呈高信号。肾盂肾盏因含尿液,信号强度与水相似。肾包膜呈中等强度信号,与肌肉、纤维性病变相似。肾周脂肪在T1WI和T2WI上,信号均较高。
(一)肾肿瘤 CT对显示肾癌、肾盂癌相当准确。还可确定肿瘤的大小、浸润的范围、邻近和远处淋巴结转移,因之有助于分期。MRI对肾肿瘤侵犯肾周、对肾静脉和下腔静脉的侵入及瘤栓情况、对肾包膜的累及等均优于CT。对病变显示的机率也大于CT。
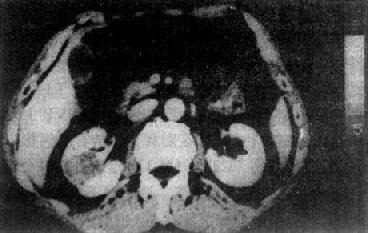
1.肾癌 CT平扫可见密度略低于或等于肾实质的肿块,有时为略高密度。肿瘤边缘光滑或不整,与肾实质分界不清,可突出于肾外。肿瘤内部坏死或囊变为低密度区,钙化与出血则为高密度区。增强扫描,在多血管性肿可见异常血管和肿瘤强化,注射后半分钟,肿瘤血管与强化消失,而肾实质强化,则肿瘤呈低密度(图4-4-7)。少血管性癌则不强化。MRI的T1WI上,肿瘤呈低信号,正常的皮髓质差异于肿瘤区丧失,且可出现肿瘤的假包膜征。较低的环影为受肿瘤压迫的肾质和(或)血管、纤维组织所致。T2WI上肿瘤呈高信号,MRI对于肾癌的分期优于CT,但对肿瘤钙化则较难显示。

图4-4-7 肾癌CT扫描
增强扫描,右肾中部有一肿块,其强化程度低於肾
实质,肿瘤向肾窦突入
肾切除后肾癌复发,无论CT或MRI肾床局部均可见肿块,腹膜后淋巴结可增大。
2.肾盂癌 CT增强扫描显示肾盂内充盈缺损。通过其CT值及形态可帮助除外新鲜血块、囊肿和结石等。肿块浸润肾实质,则需与肾癌鉴别。肿瘤常使肾窦变形并闭塞正常肾窦脂肪。由于肿瘤可向输尿管或膀胱种植转移,CT扫描应包括输尿管及膀胱。肿瘤内偶可见细小钙斑。MRI肿瘤在T1及T2WI上信号与肾皮质信号强度相近,或T2较短。常依肾窦脂肪受压推移征象帮助判断。MRI可更好显示对邻近血管的侵犯。
(二)肾囊肿 CT诊断肾囊肿相当可靠。
单纯肾囊肿在应用CT后,于生体发现率提高。平扫可见肾包膜内圆形或类圆形、边缘光滑、密度均匀、水样密度的病灶,囊壁薄,与正常肾实质分界清楚(图4-4-8)。增强扫描,无强化。表现典型,不难诊断。囊壁可钙化。有时囊肿密度高或囊壁厚,则需与肿瘤内坏死及脓肿鉴别。对这些不典型例,USG和血管造影有一定帮助,必要时行穿刺。

图4-4-8 肾囊肿CT扫描
CT平扫,左肾前部肾囊肿,呈水样密度,圆形、光滑
多囊肾平扫可见两肾增大,呈分叶状外形,内有多个囊肿,大小不等,壁薄。肾实质内可见钙化。还可发现肝、胰、脾的囊肿。平扫多可确诊。
MRI单纯囊肿呈长T1和长T2。边缘较清晰,内在信号均匀一致。多囊肾的囊肿可为单纯囊肿也可为出血性囊肿,故T1WI呈低信号或混杂信号,T2WI呈高信号或混杂信号,既可以均匀也可以不均匀。
(三)肾盂积水 肾积水功能丧失时,IVP上不能显影,CT则易于显示。可见肾盂、肾盏扩大,肾影增大,严重者肾实质变薄。增强检查,肾实质密度低于正常。如对侧正常,经比较易别。当输尿管梗阻不全或在梗阻早期,注射造影剂后,可见不含造影剂的尿与造影剂形成界面。CT不能确诊肾盂积水,还有可能明确期病因。MRI同样可以显示。肾功能差者肾皮髓质差异变得不明显。
(四)肾、输尿管结石 阳性结石,平扫易于发现,为肾、输尿管内大小与形状不一的高密度影,阴性结石也为高密度影。当IVP上发现充盈缺损,难于判断为阴性结石、凝血块与肾盂癌时,CT有鉴别意义。结石或钙化,MRI价值较低。
(五)肾外伤 CT及MRI诊断外伤并分期。可显示肾实质的不全裂伤及肾内血肿,完全性肾裂伤、肾断离,肾包膜下血肿、肾周间隙或腹膜后其他间隙血肿,新鲜出血,CT平扫可见局部密度增高。血肿液化,则密度减低。增强扫描,肾实质内出血或血肿区的密度常低于增强的正常肾实质的密度。肾盂内可因有血块占据而充盈不佳。MRI可更好显示出血并评价出血所处阶段。
(六)肾炎性疾病 急性肾感染,如肾脓肿,CT平扫可显示比正常肾实质密度略低的病灶,但肾的增大不显著。增强扫描病灶的边缘清晰,密度较低。其内方为脓肿壁,较厚,可不均匀。脓肿中心不增强,为坏死、液化区。一般不大,直径约1~2cm。需与肾囊肿或肿瘤区别,结合史及临床表现,诊断不难。MRI所见,在形态学方面与CT相似。
肾结核属慢性炎症。早期CT扫描改变较轻,易忽略。进展期可见肾盂积水、脓肿和肾实质萎缩等。肾内钙化,CT较易显示,但MRI则较困难。
二、肾上腺
CT和MRI对肾上腺及其病变的显示率很高。因此,是诊断肾上腺疾病的重要影像学手段。MRI由于可三维成像,又可根据不同脉冲序列信号强度变化分析病变性质,比CT有更大的优势。
肾上腺CT扫描无需特殊准备,短扫描时间、薄层面和放大扫描,对显示肾上腺及其病变较好。,后面包括肾上极上方到肾门的平面。无需口服造剂。增强扫描有助于观察肿瘤内的血管结构,并判断有无肝转移。
肾上腺横断面CT图像,正常呈倒V形、倒Y形,三角形或线状,尖嵴向前,内、外肢后伸。边缘光滑,不出现结节状轮廓。增强扫描,则均一强化。MRI正常上腺的T1WI和T2WI上信号强度与肝相近。
(一)嗜铬细胞瘤 嗜铬细胞瘤来自肾上腺髓质嗜铬细胞。肿瘤直径常大于2cm,CT多可查出。由于10%~15%可发生在肾上腺以外,因此如未发现肾上腺肿瘤,应对其他部位,特别是腹部进行扫描。在成人10%、小儿20%肿瘤为两侧性。临床表现主要是阵发性或持续性高血压,发作持续几分钟至几小时后血然缓解。
CT表现为边缘清楚,密度均匀,直径为2~4cm的肿块。肿瘤内坏死表现为低密度,还可钙化。增强扫描可见强化。嗜铬细胞瘤中10%~15%为恶性,肿瘤多较大,只靠CT表现难于分辨良性或恶性。但如有腹膜后淋巴结转移、邻近组织浸润和肝转移,则可诊断为恶性。
MRI因肿瘤含水较多,T1WI呈低信号,T2WI呈显著高信号。多数病变信号较均匀,少数因肿瘤内出血、坏死致信号不均匀。
(二)肾上腺皮质腺瘤 肾上腺皮质腺瘤CT可见边缘光滑、圆形或椭圆形肿瘤,密度均匀,等于或低于肾的密度。增强扫描有均一强化。对侧肾上腺萎缩变小,但也可正常。肾上腺皮质瘤因分泌的激素性质不同,而有原发性醛固酮增多症和皮质醇增多症之分。前者腺瘤较小。约0.5~0.3cm。后者腺瘤较大,约2~8cm。均表现为圆形或椭圆形肿块。前者因瘤体小,常仅累及肾上腺的某一部分。两种功能性异常除腺瘤外也可因相应的肾上腺皮质增生所致。MRI腺瘤在T1和T2WI上信号强度与肝的信号相似或稍低于肝(图4-4-9)。

横断面

冠状面
图4-4-9 右肾上腺腺瘤MRI(T1WI)
(三)肾上腺皮质增生和萎缩 肾上腺皮质增生,CT表现为两侧肾上腺增大,轮廓饱满,或伴有多发结节。但肾上腺大小、形状正常者也不少见。
慢性肾上腺皮质功能减退,即Addison病。多因自身免疫异常引起特发性肾上腺萎缩后致。也见于结核、淀粉样变和两侧肾上腺转移瘤等。
CT表现为两侧肾上腺萎缩变小。结核性者可见一侧或两侧肾上腺钙化。
三、膀胱与前列腺
CT与MRI均适于诊断膀胱和前列腺疾病。但对于显示病变向器官邻近脂肪组织的侵犯,对于显示前列腺内在组织结构,例如显示中央区和周围区以及移行区,MRI优于CT。因此,对膀胱和前列腺疾病的诊断,MRI更好。
CT检查膀胱,需适当胀满,以区分膀胱壁与内腔。多饮水、不排尿以充胀膀胱,方法简便,但不够准确。经尿道插管注入低浓度碘造剂、生理盐水、空气或CO2气充胀膀胱易显示病变。
常规用横断面扫描,由耻骨联合向上到骨盆上缘,层厚1cm。膀胱顶部或底部肿瘤或前列腺癌侵犯膀胱底部最好用冠状重建。增强扫描可使输尿管显影,有助于鉴别增大的淋巴结,但扫描膀胱要在膀胱充盈造影剂的早期,因为过晚,膀胱内造影剂过浓,易发生伪影。
MRI除横断面外,需如作矢面或(和)冠状面扫描,尤其是膀胱三角区病变。多回波扫描有助于判断病变组织特点及向邻近浸润。
膀胱居盆腔前部,大小形状因盈程度和层面高低而不同。CT上膀胱呈软组织密度,厚度均匀。闭孔平面可见前列腺,呈类圆形,为均一的软组织密度。中心小圆形低密度区为尿道。前列腺后方有肛门外括约肌,为软组织密度。与前列腺界限不清,再上层面可见直肠,与前列腺分界清楚。膀胱底背侧,与前列腺相连之精囊,呈两侧对称外突的突出物。精囊与膀胱后壁的间隙为精囊角。
正常前列腺在T1WI上呈较低信号,比较均匀,T2WI上可显示中央区、移行和周围区。中央区信号稍低,周围区因腺体含水量较大,信号较强,移行区很细窄,信号低。
(一)膀胱癌 CT诊断膀胱癌比较简便、准确。可见由膀胱壁突入膀胱腔内的软组织肿块,还可埂明向壁内的浸润,表现为局部增厚。邻近组织的浸润和淋巴结转移,CT也可发现。因之,CT对膀胱癌的分期有帮助。
MRI检查,尤其是增强扫描较有利于早期诊断和鉴别诊断以及肿瘤的分期(图4-4-10)。
膀胱癌切除术后复查,MRI有助于区分术后瘢痕或肿瘤复发。

图4-4-10 膀胱癌
膀胱腔内突起的肿块(白↓),
肿瘤已侵犯至壁外(黑↑)
(二)前列腺肥大与前列腺癌 前列腺的大小同年龄有关,但一般其直径不超过5cm。前列腺肥大可,见前列腺向膀胱底突入。边缘光滑,密度均匀,一般是两侧对称,便可一侧肥大明显。冠状面显示更为清楚。
前列腺癌在包膜内生长时,CT难于确诊,只有当侵破包膜向周围脂肪组织中浸润时才可能诊断。表现为前列腺轮廓不整,密度不均。直肠前壁及膀胱壁可被浸润,精囊角消失。CT还可发现淋巴结转移和盆骨转移。CT对前列腺癌的分期有帮助。
MRI上,因前腺增生主要发生于中央区,故T2WI上显示中区央增大。而前列腺癌多发生于周围区,致使周围区在T2WI上信号有局限低或稍低信号的结节影。因此MRI比CT更具诊断价值。但前列腺癌的MRI表现不典型时,诊断仍较困难。