第一节 X线诊断
一、X线检查方法
1.一般用后前位及侧位。
头颅平片有几种诊断的可能:提示病变存在,但不能确诊,例如只发现有颅内压增高;明显病变的位置与性质;临床表现明但无异常发现,这是平片诊断的限度。
2.脊椎平片 通过脊椎正、侧位片的观察有可能发现椎管内病变,如椎管内肿瘤。
3.体层摄影 可对颅骨某部或脊椎某段进行检查,发现骨改变或钙化。
4.脑血管造影 脑血管造影(cerebralangiography)是将有机碘造影剂引入脑血管中,使脑血管显影的方法。颈动脉造影(carotidarteriography),可显示大脑的大部分血管。需摄动脉期、静脉期和静脉窦期照片。脑血管造影主要用于诊断动脉瘤、血管发育异常和血管闭塞等症并了解脑瘤的供血动脉。常用DSA技术。对幕下病变可用椎动脉造影。严重动脉硬化、冠状动脉疾病、心肾功能不良及对造影剂过敏时为脑血管造影的禁忌证。
5.脊髓造影 脊髓造影(myelography)是将造影剂引入于脊蛛网膜下腔中,通过改变患者体位,在透视下观察其在椎管内流动情况和形态,以诊断椎管内病变的一种检查方法。造影剂多用非离子型水溶性有机碘剂。诊断效果较好。脊髓造影可确定椎管有无梗阻和梗阻部位,对椎管内肿瘤和脊蛛网膜粘连有诊断价值。
二、正常X线表现
(一)头颅平片 正常头颅因个体、年龄和性别而有明显差别。侧位及后位所见见图5-1-1。
1.颅壁 儿童较薄,成人较厚,还因部位不同而有差异。成人颅壁分内、外板及障三层。内、外板为致密骨,呈高密度线状影,板障居其间为松质骨,密度较低。
2.颅缝 冠状缝、矢状缝及人字缝为颅盖骨缝,呈锯齿状线状透明影。儿童期比较清楚。后卤和人字缝间有时可见多余之骨块,为缝间骨,数目不定。缝间骨多无病理意义。但不可误认为骨折。
3.颅壁压迹 ①脑回压迹是大脑脑回压迫内板而形成的局限变薄区,X线表现为圆形或卵圆形的较透明影,见于颅盖骨。其多少与显著程度正常差别较大。2岁以前和成人较不明显,卤门闭合后,脑发育较快,压迹较显蓍。②脑膜中动脉压迹是脑膜中动脉对内板压迫所致,侧位上呈条状透明影,分前后两支,前支较清楚,居冠状缝稍后,后支细小,较不易显示。③板障静脉压迹粗细不均呈网状或树状排列,多见于顶骨。粗细、多少及分布正常差别较大。④蛛网膜粒压迹表现为边缘清楚而不规则的低密度区,位于额顶骨中线两旁。多在内板,有时形成薄的外突骨壳,甚至造成骨缺损。压迹本身无病理意义,但应同骨破坏鉴别。


图5-1-1 正常颅骨
4.蝶鞍侧位上可观察蝶胺大小、形状及结构。正常蝶鞍差较大。正常蝶鞍前后径为7~16mm,平均为11.5mm,深径为7~14mm,平均为9.5mm。形分椭圆形、扁平形和圆形。蝶鞍各部厚度与密度不同,年老可因骨质疏松而密度减低。正位上可观察鞍底,呈一平台。正常宽度为8~20mm,平均为15mm。还可计算蝶鞍体积。
5.岩骨及内耳道后前位片可从眶内观察。内耳道两侧基本对称,大小相差一般不超过0.5mm。内耳道宽径最为10mm,平均为5.5mm。内耳道口居内端,呈弧状。
6.颅内非病理性钙斑 ①松果体钙斑侧位上居岩骨上后方,后前位上居中线。大小、形状及密度不同。成人显影率高达40%。其位置较恒定,可根据其移位方向,判断肿瘤或血肿的大致位置。②大脑镰钙斑后前位上呈三角或带状致密影,居中线。显影率近显影率近10%。③床突间韧带骨化侧位上呈带状致密影居蝶鞍前后床突之间,使蝶鞍呈“桥形”。显影率为4%。④侧脑室脉络丛球钙斑少见,显影率不及0.5%。
(二)颈动脉造影颈动脉造影动脉期的造影如图5-1-2。


图5-1-2 正常颈动脉造影
颈内动脉进颅后先分出眼动脉,前行入眶,继分出脉络膜前动脉及后交通支向后走行,后者分为大脑前、中二动脉。大脑前动脉分为胼周动脉及胼缘动脉,大脑中动脉分出额顶升支、顶后支、角回支和颞后支,于侧位上易分辨。前后位上大脑前动脉居中线,而大脑中动脉则居外方,其分支重迭。
正常脑动脉有一定的迂曲,走行自然,由近向远逐渐变细,管径光滑,分布匀称,而各支的位置较为恒定并与脑叶有一定的对应关系。
三、脑瘤
脑瘤(brain tumour)常见,X线检查主要用头颅平片,有时用脑血管造影。
(一)头颅平片 脑瘤在颅平片的表现可能是:①出现颅内压增高征;②出现脑瘤定位征,有时可估度其病理性质;③无异常发现,因之头颅平片正常不能除外脑瘤的存在。
颅内压增高征:脑瘤由于本身的占位性和继发的脑水肿使颅内容体积增加或者脑瘤梗阻脑脊液循环径路,致使颅内压增高。一般持续3~6个月即可出现X线变化。
颅内压增高的主要X线变化是颅缝增宽,脑回压迹增多而显蓍,蝶鞍增大及后壁骨破坏。后壁骨吸收自上而下,表现为后床突变小或消失,鞍背变短、变薄或消失。颅缝增宽多见于儿童,蝶鞍变化于成人明显。
颅内压增高多见于脑瘤,但也见于其他疾病,如蛛网膜粘连或脑囊虫病等,故颅内压增高只说明有颅内病变,应作进一步检查。
脑瘤定位征:头颅平片上可出现以下定位征:①颅壁局限性变化,接近颅壁的脑瘤可压迫或侵蚀颅壁而发生局限性骨破坏或骨增生。多见于颅盖骨。根据骨变化的部位可确定脑瘤的位置。这种变化多见于脑膜瘤。②蝶鞍变化,垂体肿瘤居鞍内,可使蝶鞍呈气球状增大,鞍背还可后移并竖直,出现“鞍内型”改变,可诊断为鞍内肿瘤。蝶鞍上方肿瘤可使鞍背短,蝶鞍扁平和开口增大,出现“鞍上型”改变。蝶鞍旁肿瘤可使同侧鞍底,甚至鞍背出现双重影像,蝶鞍增大以及同侧前床突上翘或破坏,出现“鞍旁型”改变。③岩骨及内耳道变化,靠近岩骨尖和内耳道的肿瘤,如听神经瘤可使内耳道扩大、岩骨头破坏,晚期可形成骨缺损。④钙斑,脑瘤较易发生钙斑,显影率为3%~15%。根据钙斑可大致确定脑瘤位置。注意钙斑的位置与形态还能估计性质。例如蝶鞍区弧形或不规则形钙斑多为颅咽管瘤;团块状钙斑为脑膜瘤:幕上条带状钙斑则多为少支胶质细胞瘤。⑤松果体钙斑移位,根据松果体钙斑移位方向可大致估计脑瘤位置。一侧大脑半球肿瘤使其向对侧移位。额区肿瘤使其向后下方移位,顶区肿瘤使其向下移位。
上述征象可综合出现。例如脑膜瘤可同时出现局限性骨增生、团块状钙斑、松果体钙斑移位颅内压增高等征象。
(二)脑血管造影 脑瘤推挤邻近的脑和血管。使血管发生移位、集拢或分开、牵直或迂曲。根据所累及的血管可诊断肿瘤的位置。一些恶性胶质瘤、脑膜瘤和转移瘤,肿瘤内血循环较丰富,造影时可显影。借此可能确定肿瘤的性质。但现在除为了解肿瘤的供血动脉外,已较少用脑血管造影检查脑瘤。
四、颅脑外伤
颅脑外伤(injury of skull andbrain)常见,死亡率高,后遗症多。除颅骨骨折与颅缝分裂外,还可引起脑震荡和脑挫裂伤,继发脑水肿、颅内血肿和脑疝等。继发病变后果严重。应尽早发现颅内血肿,以便及时手术清除。因为颅血肿的漏、误诊造成治疗不及时是致死的主要原因。脑血管造影对诊断颅内血肿虽有一定帮助。但不及CT简单、可靠。急性外伤,多用头颅平片和CT检查。
头颅平片是诊断颅骨骨折与颅缝分裂的有效方法,但在病情危重时,则不应勉强进行。在疑有颅底骨折时,也不应作颅底摄影,因为不仅难于显示骨折,而且可加重病情,应在伤情稳定后进行,摄影要求迅速。安全。骨折的出现对于了解颅内外伤也有帮助。如骨折横过脑膜中动脉压迹,又有颅内血肿的临床表现,则在骨折下方可能有硬膜外血肿。
五、脑血管疾病
脑动脉瘤(cerbral aneurysm)、脑血管发育异常(cerebral vascular malformation)和脑血管闭塞(cerebralvascular occlusion)是常见的脑血管疾病(cerebrovascular disease)。前二者可以引起蛛网膜下腔出血,后者可造成脑供血不全,引起脑梗塞。诊断主要靠脑血管造影。头颅平片无诊断价值。
(一)脑动脉瘤 好发于颈内动脉海绵窦段和脑底动脉环及其分支。脑血管造影可指明其位置、大小及其与脑血管的关系。颈内动脉海绵窦段动脉瘤多表现为动脉局部膨大,居蝶鞍旁。脑动脉分支动脉瘤多呈浆果状与动脉相连。如有出血,形成血肿,则邻近血管发生移位。动脉瘤出血也常引起有关动脉痉挛,表现为动脉均匀变细、牵直。
(二)脑血管发育异常 常见的是动静脉发育异常。血管造影表现为一簇血管团,与扩大、迂曲的动脉及静脉相连。由于动静脉间有交通,所以病变及引流静脉多提早于动脉期显影。更因血液多流入病变中,以致其他血管显影不良或变细。除非出血形成血肿,否引起血管移位。
(三)脑血管闭塞 多发生于颈内动脉及大脑中动脉。血管造影显示血管于闭塞处突然中断,闭塞以远的血管不显影。远侧的血液供应则来自侧支循环。这些侧支循环可为造影所显示,也是诊断的根据。但疾病早期多不易显示。由于血管闭塞,则发生血流改道,例如大脑中动脉闭塞,则大脑前动脉及颈内动脉分支过度充盈,显影极佳,对诊断也有帮助。
六、脊髓疾病
(一)椎管内肿瘤(intraspinaltumour)分硬脊膜外、脊髓外硬脊膜内和脊髓内三种。脊髓外硬脊膜内肿瘤多见,多为神经纤维瘤和脊膜瘤,髓内肿瘤多为胶质瘤。
1.脊椎平片 椎管内肿瘤常有椎管骨质改变,尤其在儿童。因此,脊椎平片有助于诊断。
平片上于肿瘤所在平面可见椎弓根内缘变平、凹陷、椎弓根变窄或消失,椎弓根间距离增大和椎体后缘凹陷以及椎间孔增大等。增大的椎间孔边缘多整齐、致密,常见于神经纤维瘤。此外,局部不可见骨破坏、钙斑和椎旁软组织块影等。
2.脊髓造影 脊髓造影可明确肿瘤所在位置及其同脊膜与脊髓的关系。造影表现为造影剂流动受阻。根据梗阻面形态可确定肿瘤之所在。脊髓外硬脊膜内肿瘤梗阻面呈杯口状,脊髓受压移位;硬脊膜外肿瘤梗阻面呈梳齿状,病侧造影剂柱边缘受压变平。并向内移位,而脊髓移位较轻;脊髓内肿瘤多不引起完全梗阻,造影剂往往经膨大脊髓两侧缓慢流动,显示脊髓局部膨大,多呈梭形。
(二)脊蛛网膜粘连 临床上不易同椎管内肿瘤鉴别。脊髓造影可见造影剂分散成滴状或不规则的斑片状,其分布及形态不因改变体位而有较大的改变,范围较广。一不难诊断。
第二节 CT与MRI诊断
一、检查方法
(一)CT检查方法
1.平扫 脑CT主要用横断面,有时加用冠状面。横断面CT多以眦耳线(眼外眦与外耳道中心联线)为基线,依次向上扫描8~10个层面。层面厚主多用5或10mm。层面与基线平行(图5-1-30。检查后颅凹,则层面与眦耳线成20。角。扫描头部需固定。不合作患者或儿童需给麻醉。

图5-1-3 头部CT横断层面
2.造影增强CT 以静脉注入含碘水容性造影剂再行扫描。剂量以60%的泛影葡胺为例,每公斤体重用1.5~2.0mL。给药方法可用静脉滴注法或静脉注射法。增强是指病灶密度的增高。病灶增强与病变组织血循环丰富,病变周围组织充血与过度灌注,病变血脑屏障形成不良或被破坏有关。病灶增强后显示更加清楚。依有无增强、增强的程度和增强的形式,帮助确定病变的性质。不能使用含碘水溶性造影剂患者,不能进行本项检查。
3.脑池造影CT(cisterongraphyCT)是经枕大池或腰脊穿刺注入非离子型水溶有机碘造影剂或气体,使拟检查的脑池充盈,再行扫描的方法,可使脑池清楚显影。易查出脑池内的肿块。多用于桥小脑角池和鞍上池,以查出池内小的肿瘤。应强调水溶性造影剂只能用非离子型者。
脊柱CT扫描一般采取横断面,先作定位扫描片,以选定适合的扫描层面和扫描架倾斜角度。检查方法因目的要求而异。疑椎管狭窄者以层厚10mm连续扫描可疑狭窄椎管段;疑椎间盘突出者,分别对怀疑突出的椎间盘及其上下方椎体扫描3~5层为一组,层厚2~5mm;疑为椎管内病变则需经椎管内注入非离子型碘造影剂5~10mL,翻动体位,使造影剂和脑脊液充分混匀,然后以5~10mm层厚边疆扫描病变区。对怀疑脊髓血管畸形或血管丰富肿瘤者,还应静脉内注射造影剂作增强CT扫描。
(二)MRI检查方法
脑部MRI常规采用横断面,根据需要再选择冠面或(和)矢状面扫描作为补充;为观察脑中线和后颅窝病变,矢状面扫描十分重要。层面厚度一般为8~10mm,特殊部位和垂体和内耳道层厚用5mm或更薄。脊柱MRI一般以矢状面扫描为基础,能比较全面地显示脊柱顺列。椎弓、椎间盘和脊髓的解剖结构与病变细节,辅以病变区横断面扫描,以观察脊髓及病变与周围组织结构的三维关系,有时也取冠状面扫描。矢状面和横断面的层厚分别为3~5mm和5~8mm为适宜,薄层扫描可提高信噪比和清晰度。
脉冲序列主要应用自旋回波序列T1WI、T2WIT和质子密度加权象。使用表面线圈以缩短检查部位与接收信号的距离,提高空间分辨率和对比度。必要时可用顺磁性造影剂Gd-DTPA作增强MRI检查。
二、正常图像分析
(一)脑CT横断面层面一般要有8个标准层面图像。了解这些正常标准层面图像的特征,有利于观察和分析脑部疾病。
10mm底颅层面 此层面通过眦耳线上方10mm,由前向后可见眼眶上部、蝶窦和中颅凹底、枕骨及枕大孔等颅底结核。20mm蝶鞍层面 可见垂体、四脑室、桥池和桥小脑角池、岩锥与内耳道、前、中和后颅凹脑组织结构。本层面重点观察垂体和后颅凹结构。(图5-1-4A)。30mm鞍上池层面 可见鞍上池呈六角星或五角星形低密度脑脊液间隙,增强CT扫描尚可见脑底动脉环在池内的分布情形(图5-1-4B)。鞍上池后方、环池和四叠体池包绕部分即为中脑。40mm三脑室前部层面 重点观察内囊、基底节和丘脑区(图5-1-4C)。50mm三脑室后部层面除显示内囊、基底节和丘脑区外,同时是观察三脑室后部松果体区重点扫描层面(图5-1-4D)。60mm侧脑室体层面可观察侧脑室体部、三角区和后角(图5-1-4E);增强CT尚可见直窦、上矢状窦和大脑镰强化显影。70mm侧脑室顶层面 可见侧脑室顶部、大脑纵裂、脑皮质和脑髓质(图5-1-4F)。80~100mm脑室上层面 脑皮、髓质、脑沟和大脑纵裂清楚显示。
(二)脊柱横断面CT扫描 可见三个标准层面图像,即通过椎弓根、椎间孔和椎间盘的扫描层面。
1.椎弓根层面 由椎体、椎弓根、椎弓板和棘突围成一完整的骨环称为椎管(图5-1-5A)。正常椎管前后径为16~17mm,下限11.5mm;横径20~24mm,下限16mm。
2.椎间孔层面 可见椎间孔呈裂隙状位于椎管前外侧(图5-1-5B),通过脊神经根硬膜囊借周围脂肪显影,呈圆形或卵圆形,囊内含脊髓,二者平扫不能区分。颈髓的前后径正常时为6~8mm,横径7~12mm颈膨大横径可达12~15mm;胸腰髓的前后径5~7mm,横径7~9mm。
3.椎间盘层面 椎间盘呈软组织密度影,其后方可见脊椎小关节及其关节面(图5-1-5C)。黄韧带位于椎弓板及小关节突的内侧面,厚约2~4mm,超过5mm为黄韧带肥厚。
(三)MRI图像脑髓质比脑皮质含氢质子的数目少10%左右,其T1和T2值较皮质为长,故T1WI上脑髓质信号高于脑皮质,而在T2WI上侧低于脑灰质。脑脊液的主要成分为水,在T1WI为低信号,T2WI为高信号。脂肪的氢质子分子结构不同于水,在T1WI和T2WI上均为高信号骨皮质、钙化和脑膜因缺少水分,在T1WI和T2WI上均为低信号。快速流动的血液,因其流空效应也为低信号。有时血管可出现流动相关增强现象,呈类似血栓形成的高信号(表5-1-1)。
表5-1-1 正常脑组织MRI的信号强度特征
| 脑白质 | 脑皮质 | 脑脊液 | 脂 肪 | 骨皮质 | 骨 髓 | 脑 膜 | 血 管 | |
| T1WI | 高 | 中 | 低 | 高 | 低 | 高 | 低 | 低 |
| T2WI | 低 | 中 | 高(中) | 高(中) | 低 | 中 | 低 | 低 |






图5-1-4 正常头部CT扫描
A、蝶鞍一鞍上池层面,鞍上池和后颅凹同时显示,
B、鞍上池层面增强扫描,可见颅底动脉环显形
C、第三脑室前部层面 D、第三脑室后部层面
E、侧脑室体部层面 F、侧脑室顶层面



图5-1-5 正常脊柱CT横断面扫描
A.椎弓根层面显示椎管由椎体、椎弓根和椎弓板围成的骨环,椎管中央为脊髓(→)
B、椎间孔层面显示椎间孔位于椎管前外侧呈裂隙状(→)
C.椎间盘层面显示椎间盘呈软组织密度影(→)
脊柱MRI以SE脉冲序列正中矢状央T1WI上显示较好,椎体呈方形或长方形中等信号,均匀一致,外围以骨皮质低信号线形影,椎弓亦因骨髓腔含有脂肪和骨髓组织得以显示。椎间盘的信号强度和椎体相似或略低,髓核的信号强度较纤维软骨板略高。旁正中矢状面像上,椎间孔内有脂肪组织充填呈高信号影,其间低信号圆形或长圆形影为脊神经根。
矢状面T2WI上,脊髓位于椎管中心呈中等强度信号的带状影,周围环绕以高信号的蛛网膜下腔。横断面像上,可清楚显示硬膜囊及脊神经根。
三、脑瘤
CT对确定有无肿瘤,并作出定位与定量诊断相当可靠,对定性诊断也有帮助。
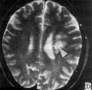
常见脑瘤多有典型的CT表现,70%~80%的病例可作出定性诊断。例如脑膜瘤多表现为高密度,边界清楚,球形或分叶状病灶,且与颅骨、小脑镰或小脑幕相连。病灶有增强。转移瘤多在脑周边,呈小的低、高或混杂密度病灶,增强检查,低密度病灶周围可出现环状增强,高密度病灶可均匀增强。病灶多发性对诊断意义较大。鞍上有增强的稍高密度灶多为垂体瘤有鞍上延伸。鞍上低的或混杂密度病灶,有增强多为颅咽管瘤。松果体生殖细胞瘤,病灶出现于松果体区,呈稍高密度并有点状钙化病灶,增强明显。听神经瘤为桥小脑角区的低或稍高密度病灶,有增强,同时可见内耳道扩大与破坏。但仅依CT表现而不考虑肿瘤部位,则诊断困难。由于常见肿瘤有时出现不典型CT表现,而一些少见肿瘤还可出现常见肿瘤的典型表现,致使诊断不够准确。由于CT表现反映的不是肿瘤细胞,因此,难于确定其组织学类型。
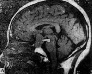
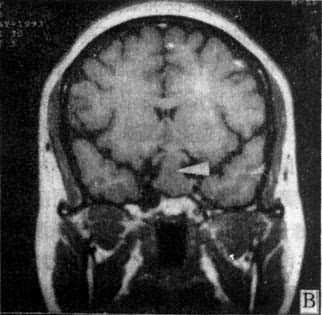
MRI因无骨骼伪影干扰,且有多维扫描断面和多种参数成像的优点,适宜于鞍区(图5-1-6A、B)和颅底特别是后颅凹病变的观察;应用血管的流空效应不用造影剂即可显示肿瘤与周围血和宾关系和供血情况。Gd-DTPA的应用可早期发现微小听神经瘤、垂体微腺瘤以及肿瘤的脑膜侵犯。MRI对钙化病变的显示不如CT敏感。
四、脑外伤
CT确定颅内血肿和脑挫裂伤比较容易而且可靠。
(一)颅内血肿 在急性期为均匀的高密度灶,由于血肿显影,故不难确定其位置、大小及范围,还可明确有无并发其他的脑损伤。血肿的形状与密度因血肿的期龄和部位而不同。依血肿密度与形状变化,可判断血肿的病理演变过程。
急性硬膜外血肿表现为颅骨内板下方局限性梭形均匀高密度区,与脑表面接触缘清楚。常有轻微占位表现。
急性硬膜下血肿,表现为颅骨内板下方新月形、薄层广泛的均匀高密度区。亚急性期,形状不变,但多为高或混杂密度或等密度。后者需依脑沟与脑室改变来确定。慢性期血肿呈梭形,为高、混杂、等或低密度。
急性脑内血肿表现为脑内圆形或不整形均匀高密度区,轮廓清楚,周围有脑水肿。多在外伤着力点下方、较表浅。如血液流入脑室或蛛网膜睛腔,则积血处呈高密度影。
CT对于诊断多发与复合血肿较为可靠。
(二)脑挫裂伤 表现为边界清楚的大片低密度脑水肿区中,有多发高密度小出血灶。同侧脑室常受压变窄和移位。单纯脑挫伤只表现为低密度的脑水肿,边界清楚,于伤后几小时至3天内出现,以12~24小时最明显,可持续几周。
(三)硬膜下水瘤 表现为颅骨内板下方新月形或半月形近于脑脊液的低密度区。多见于额颞区,累及一侧或两侧。无或只有轻微占位表现。硬膜下水瘤可能是慢性硬膜下血肿表现之一。
急性外伤性颅内出血在T1WI和T2WI上多为等信号,不易和血肿周围脑组织区别;而CT上急性血肿均为高密度灶,易于观察。亚急性血肿恰相反,MRI上均显示为高信号区;而在CT扫描上可为等密度灶。所以,急性期血肿选择CT扫描为宜,亚急性或慢性血肿则选择MRI较好。此外,少量的脑底出血,轻微的脑挫伤水肿MRI比CT敏感。
五、脑卒中
脑卒中又称为中风或脑血管意外,可分为出血性和缺血性两种,是由多种病因引起的急性脑循环障碍疾病。以高血压和脑动脉硬化最为常见,好发于中老年人。由于脑出血和脑塞梗塞二者治疗的方法不同,治疗前明确诊断十分重要,目前CT扫描是诊断脑卒中的首选方法。
(一)高血压性脑内血肿 CT表现同血肿的病期有关。新鲜血肿为边缘清楚、密度均匀的高密度区。2~3天后血肿周围出现水肿带,约1周后,血肿从周边开始吸收,高密度灶向心缩小,边缘不清,周围低密度带增宽。约于4周后则变成低密度灶。2个月后则成为近于脑脊液密度的边缘整齐的低密度囊腔。CT可反映血肿形成、吸收和囊变的演变过程。在吸收过程中,如行增强检查可见周边的环状增强,至囊变期则无增强。
血肿好发于基底节或(和)丘脑。血肿周围水肿以第2周明显,可持续1个月。血肿及水肿可引起占位表现。基底节与丘脑血肿易破入脑室,表现为脑室积血部分密度增高。破入脑室的大血肿死亡率高,预后差。
CT还可发现出血引起脑脊液循环梗阻所致的脑积水和脑扩大。
(二)脑梗塞 CT表现与梗塞类及病期有关,分述如下。
1.缺血性脑梗塞 脑血管闭塞后24小时内,CT可无阳性发现。以后则出现低的或混杂密度区,累及髓质和皮质,多为楔形和不整形,边缘不清。常并发脑水肿和占位表现,1~2周后边缘变清楚,2~3周后病灶变成等密度,与脑水肿消失和巨噬细胞反应有关。4~6周则变为边缘清楚,近于脑脊液密度的囊腔,病侧脑室扩大。脑梗塞3天至6周时于低密度区中可出现脑回状,斑状或环状增强,多在皮质,也见于髓质。增强同脑梗塞后修复反应性新生血管长入有关,而血脑屏障破坏,造影剂血管外渗则是次要的。
2.出血性脑梗塞 缺血性脑梗塞经抗凝治疗,血栓碎裂变小,向远侧移动,血液进入再通、但已有坏死的血管,易破裂出血而形成出血性脑梗塞。好发于皮质和基底节,为大片低度区中出现不规则的高密度出血斑。
3.腔隙性脑梗塞 系因小的终未动脉闭塞所致,位于基底节与脑干,直径小于1.0cm。为边缘清楚的低密度灶。
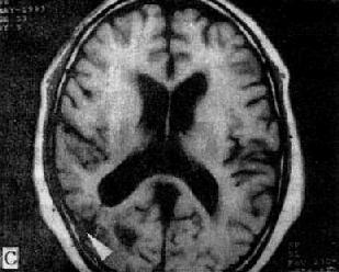
MRI 适宜于观察CT扫描为等密度的亚急性脑内血肿,已如前述。脑梗塞的发现MRI比CT扫描要早,一般起病后6小时MRI即可出现异常。脑干和小脑腔隙性梗塞灶的探测,MRI明显优于CT。脑梗塞灶在T1WI上呈低信号,在T2WI上呈高信号(图5-1-6C、D)。
六、脑血管疾病
(一)脑动脉瘤 直径小于1.0cm,无血栓,无钙化的动脉瘤,虽行增强CT检查也不易显影。较大动脉瘤增强检查后可呈圆形致密影。动脉瘤破裂出血,CT可查出血液在蛛网膜下腔,脑内或脑室内分布情况。还可发现出血引起脑血管痉挛所致的脑梗塞、脑水以及阻塞脑脊液循环引起的脑室扩大。
(二)脑血管发育异常 小的病变CT不易发现,较大或显示为不均等密度、不规则形病灶。出血和钙化则表现为高密度病灶。如无血肿则无占位变化。增强检查可显示迂曲、粗大的供血及引流血管,而病灶则有不规则增强。如发现位置表浅、外形不整的脑内血肿,应行脑血管造影以确定是否因脑血管发育异常出血所致。
脑动脉与脑血管发育异常的诊断靠脑血管造影,但CT诊断其并发症则很难准确。
MRI不需注射造影剂便能直接观察动脉瘤的瘤壁和瘤内血栓(图5-1-6E、F)、血管畸形的供血和引流血管、畸形血管团以及继发性改变,例如脑出血、缺血和软化等情况。但动脉瘤和血管畸形在手术前一般还需作脑血管造影或DSA,以便详细了解脑的供血和脑循环情况。






图5-1-6 MRI扫描SE序列图像
在矢状面(A)和冠状面(B)T1WI可见垂体肿块向鞍上延伸,呈等信号区(→);在横断面T1WI(C)和T2WI(D)上分别可见左枕和右基底节区脑梗塞灶呈低和高信号区(→);在矢状面T1WI(E)和横断面T2WI(F)上,可见基底动脉瘤环形影,其内为低信号和高信号区,高信号区为瘤内血栓形成(→)
七、颅内感染
颅内感染的病种很多,包括化脓性、结核性、病毒性和感染,以及脑寄生虫病。
(一)化脓性感染 化脓性脑膜炎早期CT扫描常无异常发现,脑膜粘连可出现脑室积水。并发硬膜下或外积脓时,在脑凸面或大脑镰旁可见新月形或梭形低密度灶,脓肿壁明显增强。脑脓肿早期CT表现为边缘模糊的低密度灶,伴有占位效应,代表急性脑炎期。脓肿形成期在大片低密度区内可见等密度环,壁薄和均匀性环形强化;产气杆菌感染,脓腔内可出现气泡或液面。CT可明确脓肿的部位、大小、数目和多房性;协助脓腔穿剌引流,并动态观察其发展和演变过程。目前脑脓肿的死亡率已由过去的36%~53%下降接近为零,这是由于CT的早期诊断和精确定位,配合临床及时准确治疗的结果。
(二)结核性感染 结核性脑膜炎的脑底渗出或肉芽增生,在CT上可表现为脑底池广泛或局灶性增强。结核瘤则出现等或混杂密度灶,可有钙化,均匀或环形强化。
(三)病毒性感染 单纯疱疹病毒性脑炎,CT表现为颞区低密度灶,边界模糊或清楚,占位效应轻,无增强。散发性脑炎可由多种病毒感染引起,CT上显示脑内散在性低密度灶,有时CT扫描阴性。
(四)真菌性感染 自然界普遍存在着真菌,当机体免疫或能低下时,常易罹患真菌感染,常见者有新形陷球菌、毛霉和茀状菌等。CT表现为脑炎、脑膜炎、肉芽肿、囊肿、脑出血或脑梗塞。真菌性肉芽肿呈等或高密度灶,灶周有脑水肿,增强CT呈大小和数目不等的强化结节,类似脑转移瘤的CT改变。
(五)脑寄生虫病 脑囊虫病典型CT表现为多发性小囊,囊壁或囊内的致密小点代表虫体的头节;散在性小圆形钙化点则表示死亡变性的囊肿;有时二者同时存在提示重复感染。脑血吸虫病急性脑炎型CT表现为低密度脑不肿区;慢性肉芽肿型则表现为强化结节,其形状、大小和数目不一。脑包虫病CT表现为巨大脑内囊肿,边界清楚,CT值类似水,周围无水肿。
CT扫描阴性的颅内感染性疾病例如脑膜炎和病毒性脑炎等,MRI常可获得进一步的证实。
八、其他脑疾病
(一)变性脑病 大脑变性脑病常见的老年性痴呆和多发脑梗塞性痴呆,CT扫描可见幕上脑室普遍性扩大,脑沟增宽,对称或非对称性,血管性痴呆尚可见多发性新老梗塞灶存在。
小脑和脑干变性疾病常见的有橄榄-脑桥-小脑萎缩和Marie共济失调,CT显示第四脑室扩大,小脑上沟增宽,后颅凹脑干周围脑池扩张。
基底节变性疾病有Wilson病、Parkinson病和CO中毒等,CT上显示脑室扩大以侧脑室前角扩大为明显,脑底池和外侧裂池增宽,脑基底节区有时可见对称或非对称性低密度灶。
(二)脱髓鞘脑病 先天性髓发育不良或称为脑白质营养不良,可见于异染性脑白质营养不良、类球状细胞白质营养不良、肾上腺脑白质营养不良等。CT表现脑白质对称性密度减低,与脑皮质的对比鲜明。获得性髓鞘脱失又称为脑白质病,常见有多发性硬化和皮质下小动脉硬化性脑病等,CT表现为脑室周围散在性斑片或带状低密度灶,伴有程度不同的脑萎缩。
(三)先天性畸形 脑膜(脑)膨出CT可见颅骨缺损,自缺损处突出一液性软组织包块,有的包块内有脑组织。胼低体发育不全显示双侧侧脑室扩大并分离,第三脑室扩大向上前移位于分离侧脑室之间,有的合并脂肪瘤或囊肿。Chiari畸形上CT可见小脑扁桃体下疝;有时伴有脑干、小脑和第四脑室延长下疝及脑积水改变,可合并脊髓空洞症、脑膜膨出及其他脑脊髓畸形。
(四)新生儿脑病 新生儿窒息CT可见弥漫性脑水肿、颅内出血或脑室内外积水。新生儿颅内出血由于产伤或缺氧所引起,出血于硬膜下或硬膜外腔、蛛网膜下腔、脑和脑室内,而以室管膜下出血具有特征性,CT表现沿脑室壁出现高密度线形影,后期遗留交通或非交通性脑积水。
MRI对许多变性脑病、脱髓鞘脑病和先天性畸形能够比CT提供更多的信息资料,可作为CT扫描诊断的补充。
九、脊柱和脊髓疾病
(一)椎管狭窄 椎管狭窄分为骨性和软组织狭窄,骨性椎管狭窄又分为中心型狭窄和周围型狭窄,后者指侧隐窝和椎间孔狭窄。先天性椎管狭窄常伴发于骨发育不全;获得性椎管狭窄可由骨折、炎症、肿瘤和退行性变引起,临床上出现一系列脊髓、脊神经和营养血管的压迫症状。横断面CT扫描可直接观察椎管狭窄变形,测量椎管大小并探明引起椎管狭窄的病因。
(二)椎间盘脱出CT扫描可直接显示突出于椎管或椎间孔内的软组织块影,与椎间盘相连或游离于椎管内,硬膜囊受压变形,硬膜外脂肪层变薄或消失,脊神经根增粗或湮没。椎间盘性变性显示变扁变形,向周围膨出,或出现气体(直空现象)。MRI上显示更为清楚。
(三)脊髓疾病 脊髓损伤急性期可见脊髓出血、水肿、受压、移位、挫伤或断裂;慢性期可见脊髓软化、萎缩、囊变或空腔化。脊髓肿瘤位于髓内者多为星形细胞或室管膜瘤,髓外硬膜内者多为脊膜或神经纤维瘤,硬外肿瘤以转移瘤常见。脊髓造影配合CT扫描才能对椎管内肿瘤作出正确的定位诊断。先天性畸形常见有脊髓空洞症、脊髓纵裂和脊髓血管畸形等,后者需行增强CT扫描。可显示脊髓表面扩张扭曲的血管影,并能确定血管畸形在椎管内大致伸延的范围。
MRI的软组织分辨率比CT高,矢状面扫描图像上可直观地显示脊髓病变的全貌及与周围组织结构的关系,是当今诊断脊髓疾病的最佳选择。