一、X线检查方法
肺与纵隔的X线检查方法有透视、摄影、体层摄影及支气管造影等。对某些与血管有关的病变可用血管造影。许多胸部病变可借胸部平片结合透视及体层摄影作出诊断。
普通检查
(一)透视 胸部透视(chest fluoroscopy),方法简单、经济、应用广泛。但缺点是医生和患者所接受的射线量远较摄影时高,不易发现细微病变和无永久性图像记录。因此,现在许多医院用胸部荧光摄影或胸部摄片取代透视检查,只将透视作为必要时的辅助检查。影像增强电视系统的应用以及隔室透视在一定程度上减少了医生、患者所接受的射线量。
透视时应明确检查目的和要求,并参考病史和过去的胸片或透视报告。除去体表影响透视的衣物、膏药及发卡等。一般取立位,根据病情可用半卧位或卧位。应对肺野、肋膈角、肺门、纵隔及心脏大血管等作全面观察。让患者深呼吸,以观察肺野透明度、膈动度及病变形态的改变等。
(二)摄影 常用摄影位置如下:
1.后前位 是常规胸部摄影位置,取立位,病人胸前壁靠片,X线自背部射入。应包括全部肺野、胸廓、肋膈角和下颈部。好的胸片应清晰显示两侧肺纹理的细微结构,透过气管能看清第1~4胸椎,下部胸椎与心脏重叠,隐约可见。
2.侧位 患侧胸壁靠片。侧位胸片可帮助确定病变在肺或纵隔内的位置,并能从侧面观察病变的形态。
3.前后位 适用于不能站立的患者,取仰卧位,X线自前方射入。
4.前弓位 用于显示肺尖部及与锁骨、肋骨重迭的病变。
5.侧卧水平方向后前位 用于观察胸内液体及气体在变换体位时的表现,并可根据液面长度确定空洞或空腔的范围。
特殊检查
1.体层摄影 体层摄影已广泛用于胸部疾病的诊断,它可使某一选定层面清晰显影,而使非选定层面模糊不清,为疾病诊断和鉴别诊断提供重要的根据。体层摄影可用于:①确定有无空洞,并显示洞壁及引流支气管的情况;②较准确地显示肺内肿块、空洞等病变的形态、结构、部位及毗邻关系;③显示肺部病变与支气管的关系以及支气管本身有无狭窄、扩张、受压、中断及缺损;④显示肺门增大的淋巴结、纵隔内病变及其与大血管的关系。
体层摄影层面及其深度的选择依欲显示的结构及病变所在而不同。对肺内病变应根据透视或正、侧位胸片选层。
支气管肺门可采用正位倾斜体层摄影,能较好的显示肺门、气管、主支气管及上、下叶支气管。
2.高千伏摄影 由于X线穿透力强,可减少胸壁软组织及肋骨等对肺内病变的干扰,并可使肺纹理显示清晰,对比较好,气管及肺门区支气管影显示较清楚,对中心型肺癌、纵隔病变以及尘肺等诊断有帮助。
造影检查
呼吸系统的造影检查主要是支气管造影(bronchography),这是直接观察支气管病变的检查方法,诊断效果好,但有一定痛苦,应掌握适应证及禁忌证。
适应证包括:①原因不明的咯血或临床拟诊支气管扩张症而平片无阳性发现或只有轻微改变,需明确诊断及病变范围以行手述治疗。如平片已明确为两肺广泛病变,无法手术者,则不必造影;②平片似诊肺癌,虽经体层摄影仍不能明确诊断;③慢性肺化脓症及慢性肺结核,需明确有无合并支气管扩张;④了解不张肺叶支气管腔的情况,以确定肺不张的原因。
禁忌证包括:①全身情况衰竭,年龄过大,心、肺、肝的功能不良;②肺或支气管急性感染及进展期浸润型肺结核;③7~10日内发生大咯血;④甲状腺功能亢进或对碘造影剂过敏,不宜用碘油造影,可改用硫酸钡胶浆。
支气管造影所用造影剂有:①40%碘化油,较常用。②50%~60%硫酸钡胶浆,为硫酸钡加适量西黄蓍胶或羧甲基纤维素制成的混悬液。显影清晰,无过敏反应,价立,咯出快。
造影应注意以下几点:①向患者说明造影目的、方法以及可能有的痛若,取得患者的合作;②造影前4小时及影后2小时禁食;③术前一日作碘及麻醉剂过敏试验;④痰量多者,术前应作位引流。
将导管经鼻插入气管,透视下将导管端置于气管隆突上方1~2cm处,缓缓注入麻醉剂,以麻醉各叶支气管。透视下控制体位注入造影剂,使其充盈至5~6级支气管。造影后拔出导管,作体位引流,以排出造影剂。对于肺癌及其他较局限的病变可将导管插入一侧或一叶一支气管,行选择性造影。
二、正常X线表现
正常胸部X线影像是胸腔内、外各种组织和器官重迭的总合投影。应熟悉生后前位及侧位片上各种影像的正常及变异表现(图3-1-1),以免误诊为病变。

图3-1-1 正常胸部侧位、后前位片
(一)胸廓 胸廓软组织及骨骼在胸片上形成的影像,有时可造成误诊,应当认识(图3-1-2)。
软组织
1.胸锁乳突肌及锁骨上皮肤皱褶 胸锁乳突肌(sterno-mastoidmuscle)在两肺尖内侧形成外缘锐利、均匀致密的影像。当颈部偏斜时,两侧胸锁乳突肌影可不对称,勿误认为肺尖部病变。

图3-1-2 可能引起误诊的胸部软组织和骨骼影像
锁骨上皮肤皱褶(skin reflection over the clavicle)为与锁骨上缘平行的3~5mm宽的薄层软组织影,其内侧与胸锁乳突肌影相连。系锁骨上皮肤及皮下组织的投影。
2.胸大肌 胸大肌(pectoral muscle major)在肌肉发达的男性,于两侧肺野中外带可形成扇形均匀致密影,下缘锐利,呈一斜线与腋前皮肤皱褶连续,一般右侧较明显,不可误为病变。
3.女性乳房及乳头 女性乳房(female breast)可在两肺下野形成下缘清楚、上缘不清且密度逐渐变淡的半圆形致密影,其下缘向外与腋部皮肤连续,勿误认为肺炎。乳头(nipple)在两肺下野相当于第5前肋间处,有时可形成小圆形致密影,年龄较大的妇女多见,有时亦见于男性。勿误为肺内结节性病灶。两侧对称为其特点,透视下转动患者即可与肺野分开。
骨 骼
1.肋骨 肋骨(ribs)起于胸椎两侧,后段呈水平向外走行,前段自外上向内下倾斜走行形成肋弓。肋骨前后端不在同一水平,一般第6肋骨前端相当于第10肋骨后端的高度。前段扁薄,不如后端影像清晰。1~10肋骨前端有肋软骨与胸骨相连,因软骨不显影,故X线片上肋骨前端游离。25岁以后第1对肋软骨首先钙化,随年龄增长,其他肋软骨也自下而上逐条钙化,表现为不规则的斑片状致密影,勿误认为肺内病变。肋骨及肋间隙常被用作胸部病变的定位标志。
肋骨有多种先天性变异,常见的有:①颈肋(cervicsal rib),可发生于一侧或两侧,表现为短小较直的小肋骨,自第7颈椎处出发;②叉状肋(bifurcation of rib),为最常见的肋骨变异,肋骨前端呈叉状,有时一支明显,另一支短小,甚至仅为肋骨上的突起,勿误信为肺内病变;③肋骨联合(fusion of rib),多见于第5、6后肋,表现为相邻的两条肋骨局部呈骨性联合,肋间隙变窄,易误为肺内病变。
2.肩胛骨 肩胛骨(scapula)内缘可与肺野外带重迭,勿误信为胸膜增高。青春期肩胛骨下角可出现二次骨化中心,勿误为骨折。
3.锁骨 在后前位片上两侧胸锁关节到中线距离应相等,否则为投照位置不正。锁骨(clavicle)的内下缘有半月凹陷,为菱形韧带附着处,有时边缘不规则,勿认为骨制裁破坏。
4.胸骨 胸骨在后前位片上与纵隔影重迭,只有胸骨柄两侧外上角可突出于纵隔影之外,勿误认为纵隔病变。
5.胸椎 胸椎(thoracic spine)的横突可突出于纵隔影之外勿误认为增大的淋巴结。
(二)纵隔 纵隔(mediastinum)位于胸骨之后,胸椎之前,界于两肺之间。其中有心、大血管、气管、食管、主支气管、淋巴组织、胸腺、神经及脂肪等器官和组织。除气管及主支气管可以分辨外,其余结构间无明显对比,只能观察其与肺部邻接的轮廓。
纵隔的分区在判断纵隔肿块的来源和性质上有着重要意义。纵隔的划区有几种,现介绍九分区法,即在侧位胸片上将纵隔划分为前、中、后及上、中、下共九个区(图3-1-3),前纵隔系胸骨之后,心、升主动脉和气管之前的狭长三角区。中纵隔相当于心、主动脉弓、气管及肺门所占据的区域,食管前壁为中、后纵隔的分界线。食管以后和胸椎旁区为后纵隔。自胸骨柄、体交界处至第4胸椎下缘连一水平线,其上为上纵隔,其下至肺门下缘(第8胸椎下缘)的水平线为中纵隔,肺门下缘以下至膈为下纵隔。
正常纵隔于卧位及呼气时,宽而短,立位及吸气时窄而长,尤以小儿为显著。婴幼儿的胸腺可致纵隔向一侧或两侧增宽,呈帆形影。
正常时纵隔居中,一侧胸腔压力增高,如一侧胸腔大量积液或气胸、一侧肺气肿或巨大占位性病变,纵隔可被推向健侧;一侧胸腔压力减低,如肺不张和广泛胸膜增厚,纵隔可被牵向患侧。纵隔可因炎症、肿瘤、增大淋巴结、主动脉瘤、食管极度扩张及椎旁脓肿等而呈普遍或局限性增宽。当支气管发生部分性阻寨时,由于呼吸时两侧胸腔压力不均衡,可在呼吸时发生左右摆动,称纵隔摆动。气体进入纵隔形成纵隔气肿,可在两侧边缘出现透明的气带影。

图3-1-3 纵隔分区示意图
(三)膈 膈(diaphragm)后前位上分左右两叶,呈圆顶状。膈在外侧及前、后方与胸壁相交形成肋膈角,有内侧与心形成心膈角。膈的圆顶偏内前方,因而外、后肋膈角深而锐。右膈顶较左膈顶高1~2cm,一般位于第9或第10后肋水平,相当于第6前肋间隙。呼吸时两膈上下对称运动,运动范围为1~3cm,深呼吸时可达3~6cm。膈的形态、位置及运动,可因膈之发育与胸腹腔病变而出现变化。
膈的局部可发育较薄,向上呈半圆形隆起,称局限性膈膨升,多发生于右侧,中老年多见,为正常变异。有时深吸气时,膈顶可呈波浪状,称波浪膈,系因膈附着于各肋骨前端,在深吸气时受肋骨牵拉所致,勿误为胸膜粘连。
胸腔及腹腔压力的改变可影响膈的位置。胸腔压力减低如肺不张、肺纤维性变;腹腔压力增高,如妊娠、腹水、腹部巨大肿块等均可使膈升高。反之胸腔压力升高可使膈降低,如肺气肿、气胸及胸腔积液等。一侧膈发育不良,因膈张力减弱而升高,称膈膨升。膈神经麻痹时,膈也升高。
上述引起膈位置改变的因素及胸、腹腔的炎症均可使膈运动减低。膈膨升及膈神经麻痹时,由于膈的运动功能减弱或丧失,可出现矛盾运动,即吸气时正常侧下降而患侧上升,呼气时反之。
(四)胸膜 胸膜(pleura)衬于胸壁内面、膈面与纵隔面的壁层胸膜和包绕于肺表面的脏层胸膜,正常时不显影,只有在胸膜反褶处X线与胸膜走行方向平行时,才在X线片上显示为薄层状或线状致密影,见于肺尖胸膜反褶及叶间裂反褶。
(五)气管、支气管 气管、支气管在胸部平片上观察不满意,但在体层摄影和支气管造影时则可清楚显示。
气管(trachea)起于环状软骨下缘,长11~13cm,宽1.5~2cm,在第5~6胸椎平面分为左、右主支气管。气管分叉部下壁形成隆突,分叉角度为60°~85°,吸气时角度略大。两侧主支气管与气管长轴的角度不同,右侧为20°~30°;左侧为30°~45°。两侧主支气管分别分为肺叶支气管,肺叶支气管又分出肺段支气管,经多次分支,最后与肺泡相连。支气管分支的名称见表3-1-1。
表3-1-1 两侧支气管分支名称
| 右侧 | 左侧 | |||
| 上叶 | 1尖支 | 上叶 | 上部支气管 | 1+2尖后支 |
| 2后支 | 3前支 | |||
| 3前支 | 下部支气管(舌部) | 4上舌支 | ||
| 中间支气管 | 5下舌支 | |||
| 中叶 | 4外支 | |||
| 5内支 | ||||
| 下叶 | 6背支 | |||
| 7内基底支 | 下叶 | 6背支 | ||
| 8前基底支 | 7+8内前基底支 | |||
| 9外基底支 | 9外基底支 | |||
| 10后基底支 | 10后基底支 | |||
熟悉两侧肺叶及肺段支气管的名称及分支形式,有利于根据正侧位胸片判断肺内病变位于哪一肺叶或肺段。一般用数字表示肺段气管的名称。两侧支气管的分支形式不完全相同,有以下几点差异:①右主支气管分为上、中、下三支肺叶支气管、左主支气管分为上、下两支肺叶支气管;②右上叶支气管直接分为肺段支气管,而左上叶支气管先分为上部及下(舌)部支气管,然后再分别分出肺段支气管;③右上叶支气管分为尖、后、前三支肺段支气管,左上叶支气管分为尖后支及前支两支肺段支气管;④右侧主支气管分出上叶支气管后至中叶支气管开口前的一段称为中间支气管。左侧无中间支气管;⑤右下叶支气管共分为背、内、前、外、后五支肺段支气管,左下叶支气管则分为背、内、前、外、后四支肺段支气管。
(六)肺 肺的各解剖部分的投影在X线上表现为肺野、肺门及肺纹理。
1.肺野 肺野(lumg field)是含有空气的肺在胸片上所显示的透明区域。两侧肺野的透明度相同,深吸气时肺内气量多,透明度高,呼气时则透明度低,以两肺中下野表现明显。肺尖部含气量较少,故较不透明。为便于标明病变位置,人为地将一侧肺野纵行分为三等分,称为内、中、外带,又分别在第2、4肋骨前端下缘画一水平线,将肺野分为上、中、下三野(图3-1-4)。

图3-1-4 肺野的划分
2.肺门及肺纹理 肺门影(hilar shadow)是肺动、静脉,支气管及淋巴组织的总合投影,肺动脉和肺静脉的大分支为其主要组成部分(图3-1-5)。后前位上,肺门位于两肺中野内带第2~4前肋间处,左侧比右侧高1~2cm。右肺门分上下两部:上部由上肺静脉、上肺动脉及下肺动脉干后回归支组成,其外缘由上肺静脉的下后静脉干形成;下部由右下肺动脉干构成,其内侧因有含气的中间支气管衬托而轮廓清晰,正常成人宽度不超过15mm。上下部相交形成一较钝的夹角,称肺门角。左肺门主要由左肺动脉及上肺静脉的分支构成。上部由左肺动脉弓形成,为边缘光滑的半圆形影,易被误认为肿块;下部由左下肺动脉及其分支构成,由于左心影的掩盖,只能见到一部分。侧位时两侧肺门大部重迭,右肺门略偏前。肺门表现似一尾巴拖长的“逗号”,前缘为上肺静脉干,后上缘为左肺动脉弓,拖长的“逗号”尾巴由两下肺动脉干构成。

图3-1-5 肺门结构示意图
1.气管 2.右主支气管 3.右肺动脉 4.下后静脉干 5.右下肺动脉干 6.肺门角
7.中间支气管 8.右上肺静脉 9.右下肺静脉 10.左肺动脉弓 11.舌叶动脉
12.左下肺动脉13.左上肺静脉 14.左下肺静脉
多种肺部疾病可引起肺门大小、位置和密度上的改变。肺门增大见于肺门血管的扩张、肺门淋巴结的增大和支气管腔内或腔外的肿瘤等。由于肺门大小的正常差异较大,又无正常标准,因此,除非增大明显,多较难判断。但如内凹的肺门角变成外凸,则多系肺门邻近肿物所致。肺门缩小则见于肺门血管的变细。肺门移位多见于肺叶不张,上叶或下叶肺不张可使肺门上移或下移。肺门密度增高常与肺门增大同时存在。如未见肺门肿块,则多因肺门血管及支气管周围间质内的病变,如炎症或水肿所致。
肺纹理(lungmarkings)为自肺门向肺野呈放射分布的干树状影。由肺动、静脉及淋巴管组成,主要成分是肺动脉分支。肺纹理自肺门向外围延伸,逐渐变细,正常时肺下野较肺上野粗,特别是右肺下野因无心重迭更为明显,并可见略呈水平走行的肺静脉分支所形成的纹理。
观察肺纹理应注意其多少、粗细、分布、有无扭曲变形等。其正常粗细和多少并无明确标准,但变化明显时则不难确定。肺纹理的改变受多种因素影响,密切结合临床进行分析,对多种心肺疾病的诊断有重要意义。
3.肺叶、肺段和肺小叶
(1)肺叶:肺叶(lobe)属解剖学范畴,与肺野的概念不同。正常情况下,除非叶间胸膜显影借以分辨肺叶外,在胸片上并不能显示各肺叶的界限。但结合正、侧位胸片,却可推断各肺叶的大致位置,借以确定病变的所在。
右肺有上、中、下三叶,左肺有上、下两叶。各肺叶由叶间裂分隔。右肺有斜裂与水平裂两个叶间裂。侧位片上或右肺斜裂上起第4胸椎水平,向前下斜行达膈前部距前肋膈角2~3cm处。水平裂起自斜裂的中部,向前稍向下达前胸壁。水平裂上方为上叶,下方为中叶,后下方为左下叶。左肺上叶相当右肺上、中两叶。
肺叶在后前位像上前后重迭,如右肺中叶与下叶完全重迭,中叶在前,下叶在后。右肺上叶与下叶的上部重迭。在确定病变的部位时应结合侧位片,根据叶间裂的位置,辨别病变位于哪个肺叶或肺段。
肺的分叶还可有先天变异,主要的是副叶。其中以下叶内侧的下副叶较多,其叶间裂呈线状致密影,自膈的内侧向上向内斜行达肺门,左侧由于心影遮盖而不易显示。另一副叶为奇叶,系因奇静脉位置异常,奇静脉周围的胸膜反折,呈一倒置的逗点弧形叶间裂,自上纵隔向外上斜行达肺尖。
(2)肺段;肺叶由2~5个肺段(segment)组成,各有其单独的支气管。正常时,X线片不能显示肺段的界限,只有在病理情况下,单独肺段受累,才能看到肺段的轮廓。肺段的名称与相应的支气管一致。
(3)肺小叶:每一肺段由许多肺小叶(lobule)组成,肺小叶的直径约1cm,有一小叶支气管及伴随的小叶动脉进入。小叶之间有疏松的结缔组织间隔,称小叶间隔,其中有小叶静脉及淋巴管。每支小叶支气管分出3~5支未梢细支气管,每支末梢细支气管所支配的范围称为腺泡(呼吸小叶),为肺部病理改变的基本单位,其直径约为6mm。末梢细支气管继续分出呼吸细支气管,以后再分为肺泡管、肺泡囊,最后为肺泡。
(4)肺实质与间质:肺组织由肺实质与肺间质组成。肺实质为肺部具有气体交换功能的含气间隙及结构,包括肺泡与肺泡壁。肺间质是支气管和血管周围、肺泡间隔及脏层胸膜下由结缔组织所组成的支架和间隙(图3-1-6)。

图3-1-6 肺间质示意图
三、基本病变X线表现
胸部可发生多种疾病。为了掌握各种疾病的X线诊断,必需认识各种基本病变的X线表现。只有这样,才能综合X线所见,再结合临床资料进行分析,从现象到本质对疾病作出诊断。下边三个方面介绍呼吸系统基本病变及基本X线表现。
(一)支气管阻塞及其后果 支气管阻塞可因腔内肿块、异物、先天性狭窄、分泌物郁积、水肿、血块及痉挛收缩等原因引起,也可因外在性压迫,如肿瘤、增大淋巴结等所致。部分性阻塞引起阻塞性肺气肿(obstructive emphysema);完全性阻塞引起阻塞性肺不张(obstructiveatelectasis)。
1.阻塞性肺气肿 肺气肿系肺组织过度充气而膨胀的一种状态。支气管的部分性阻塞产生活塞作用,就是空气能被吸入,而不能完全呼出,致使由该支气管所分布的肺泡过度充气而逐渐膨胀,形成肺气肿。过度膨胀和随之产生的肺泡壁血供障碍或并发感染,可导致肺泡破裂弹性丧失。
末梢细支气管远侧肺组织的肺气肿,为小叶性肺气肿(lobular emphysema)或泡性肺气肿。肺泡壁破裂气体进入肺间质,为间质性肺气肿(interstitisl emphysema)。多个肺泡壁破裂,可合并形成较大的含气空腔,为肺大泡(bullae)。
阻塞性肺气肿可分为慢性弥漫性及局限性两种。弥漫性者可继发于多种慢性肺疾病,以慢性支气管炎、支气管哮喘和尘肺时多见。其阻塞部位多在细支气管。局限性者可为叶段肺气肿,阻塞发生在较大支气管,见于支气管异物、肿瘤及慢性炎性狭窄等。
轻度阻塞性肺气肿,X线诊断有一定限度。较严重的慢性弥漫性阻塞性肺气肿,X线表现比较明显,有以下特点:
两侧肺野透明度增加,呼气与吸气时肺野透明度改变不大,肺内可见肺大泡;肺纹理稀疏、变细、变直;胸廓呈桶状,前后径增加,肋间隙变宽;膈位置低,动度明显减弱,侧位片见胸骨后间隙增宽;心表现为狭长的垂位心型。
局限性阻塞性肺气肿的X线表现为肺局部透明度增加,范围取决于支气管阻塞的部位。范围较小时,可无胸廓及膈的改变。支气管异物引起者常伴有纵隔摆动。局限性肺气肿可为早期支气管肿瘤的表现,发现后应作体层摄影或支气管造影以确定病因。
2.阻塞性肺不张 肺不张系多种原因所致肺内气体减少和肺体积缩小的改变。分先天性与获得性,后者可由支气管完全阻塞、肺外压迫及肺内瘢痕组织收缩引起,以支气管阻塞最为多见,可以是支气管腔内阻塞或是腔外压迫。
支气管完全阻塞后,肺内气体多在18~24小时内被循环的血液所吸收,肺叶萎陷,肺泡内可产生一定量的渗液。无气的肺缩小,密度增高,可并发肺炎或支气管扩张。
阻塞性肺不张的X线表现与阻塞的部位和不张的肺内有无已经存在的病变或并发感染有关。阻塞可以在主支气管、叶或段支气管、细支气管,而导致一侧性、肺叶、肺段和小叶的肺不张。肺不张的范围不同,其X线表现也不同。
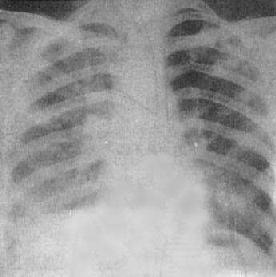
(1)一侧性肺不张:X线现为患侧肺野均匀致密,纵隔向患侧移位,肋间隙变窄(图3-1-7)。健侧肺可有代偿性肺气肿。

图3-1-7 一侧性肺不张
左侧支气管阻塞引起左侧全肺不张,显示左侧肺野均匀致密,
纵隔向患侧移位,肋间隙变窄,膈升高
(2)肺叶不张:不同肺叶不张的X线表现不同,但其共同特点是肺叶缩小,密度均匀增高,叶间裂呈向心性移位。纵隔及肺门可有不同程度的向患部移位(图3-1-8)。邻近肺叶可出现代偿性肺气肿。




图3-1-8 各肺叶肺不张
1)右肺上叶不张:后前位表现为右肺上叶缩小呈扇形,密度增高,水平裂外侧上移。上叶轻度收缩时,水平裂呈凹面向下的弧形,明显收缩时,上叶可表现为纵隔旁三角形致密影。肺门上提,甚至上半部肺门消失。中下叶肺纹理上移而疏散,并可有代偿性肺气肿。气管可右移。
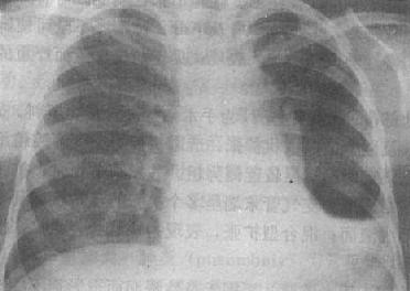
2)右肺中叶不张:较为常见,后前位表现为右肺下野内侧靠心右缘现上界清楚下界模糊的片状致密影,心右缘不能分辨(图3-1-9)。侧位上表现为自肺门向前下方倾斜的带状或尖端指向肺门的三角形致密影(图3-1-9)。上、下叶可有代偿性肺气肿。
3)左肺上叶(包括舌段)不张:左肺上叶上部较厚,下部较薄。肺不张时,后前位表现为左肺上、中肺野片状模糊影,上部密度较高,下部密度较淡,边界不清,气管左移,心左缘不清,侧位上可见整个斜裂向前移位,不张的肺叶密度高、缩小。下叶呈代偿性肺气肿,而下叶尖部向上膨胀达第2胸椎水平。
4)下叶不张:两侧肺下叶不张均表现为肺下野内侧尖端在上,基底在下的三角形致密影,肺门下移,有时肺门下部消失。上、中叶有代偿性肺气肿。右肺下叶不张较左侧显示清楚,因左侧有心影重迭,但在斜位或过度曝光片上可以显示。侧位时,下叶不张表现斜裂向后下方移位,下叶密度高。

图3-1-9 右肺中叶肺不张(正、侧位)
(3)肺段不张:肺段不张(segmental atelectasis)较少见,单纯肺段不张,后前位一般呈三角形致密影,基底向外,尖端指向肺门,肺段缩小。
(4)小叶性不张:小叶性不张(lobular atelectasis)多见于支气管哮喘及支气管肺炎,由于多数末梢细支气管被粘液阻塞所致。X线表现为多数小斑片状影,其周围可有透明的气肿带。
(二)肺部病变 肺部病变的X线表现是大体病理改变在X线上的反映,从以下几方面讨论:
1.渗出与实变 机体的急性炎症反应主要表现是渗出(exudation)。渗出性病变的范围不同,在X线上表现为密度不太高的较为均匀的云絮状影,边缘模糊,与正常肺间无清楚界限(图3-1-10)。肺部急性炎症进展至某一阶段,肺泡内气体即被由血管渗出的液体、蛋白及细胞所代替,形成渗出性实变(consolidation)。渗出是产生实变常见原因之一。实变在大体病理上为肺泡内的空气被病理性液体或组织所代替。这些病理液体可以是炎性渗出液、血液及水肿液。见于肺炎、渗出性结核、肺出血及肺水肿等。由于病理性液体可以通过肺泡孔向邻近肺泡蔓延。因而病变区与正常肺组织间无截然分界,而呈逐渐称行状态。实变可大可小,多数连续的肺泡发生实变,则形成单一的片状致密影,边缘模糊,密度较均匀。多处不连续的实变,隔以含气的肺组织,则形成多数小片状致密影,边界模糊。小范围的实变随病变的进展可成为大片实变。如实变占据整个肺叶,其边界至叶间胸膜,则形成边缘锐利以叶间胸膜为界的全叶性实变(图3-1-11)。实变中心区密度较高,边缘区较淡。以浆液渗出或水肿为主的实变密度较低;以脓性渗出为主的实变密度较高;以纤维素渗出为主的实变密度最高。当实变扩展至肺门附近,则较大的含气支气管与实变的肺组织常形成对比,而在实变的影像中可见到含气支气管分支影,称支气管气像(air bronchogram)。

图3-1-10 渗出性病变
两肺浸润型肺结核,两肺第1~2前肋间出现边
缘模糊、密度不太高的云絮状影

图3-1-11 肺实变(右中叶大叶性肺炎)
相当于右肺中叶密度均匀增高,后前位上,上缘清楚,下缘模糊,
侧位上呈三角形致密影,尖端在肺门区
炎性渗液形成的实变,经治疗多数或在1~2周内吸收。在吸收过程中,由于炎性渗出液并非同时吸收,因而病变密度常失去其均匀的特点。
肺出血或肺泡性水肿所形成的实变,其形态可与肺炎相似,但其演变较炎性实变快,经适当处理,可在数小时或1~2日内完全消失。
2.增殖 肺的慢性炎症在肺组织内形成肉芽组织,为增殖性病变(proliferation)。由于增殖的成分多为细胞和纤维,故病变与周围正常肺组织分界清楚。常见于肺结核和各种慢性肺炎。
增殖性病变在X线片上一般不大。多局限于腺泡(呼吸小叶)范围内,呈结节状,称为腺泡结节样病变。其密度较高,边缘较清楚,呈梅花瓣样,没有明显的融合趋势,甚至多数病灶聚集在一起时,各个病灶的界限也较清楚。
3.纤维化 肺的纤维化(fibrosis),可分为局限性和弥漫性两类。局限性纤维化多为肺急性或慢性炎症的后果和愈合表现。见于吸收不全的肺炎、肺脓肿和肺结核等。肺组织破坏后,代之以纤维结缔组织,但病变较局限,对肺功能影响不大。反复发作且范围广泛的肺结核,也可发生较广泛的纤维化。
弥漫性纤维化常广泛累及肺间质,对肺功能影响较大。多见于弥漫性间质肺炎、尘肺、特发性肺间质纤维化、放射性肺炎、组织细胞增大症及结缔组织病等。
范围较小的纤维化,X线表现为局限性索条状影,密度高,僵直,与正常肺纹理不同,多见于肺结核及慢性炎症。
病变较大被纤维组织代替后,收缩形成密度高、边缘清楚的块状影。病变累及1~2个肺叶,可使部分肺组织发生瘢痕性膨胀不全,形成大片致密影,密度不均,其中可见密度更高的索条状影,有时可见由支气管扩张形成的低密度影。周围器官可被牵拉移位,如气管、纵隔向患侧移位,上肺野大量纤维化可拉肺门上提,使下肺野的纹理伸直呈垂柳状,多见于慢性肺结核及尘肺。
弥漫性纤维化依病变程度不同可表现为紊乱的索条状、网状或蜂窝状,自肺门区向外伸展,直至肺野外带,同正常纹理不同。在网状影像的背景上也可有多数弥散的颗粒状或小结节状影,称网状结节病变,多见于尘肺及慢性间质性肺炎。
4.钙化 钙化(calcification),一般发生于退行性变或坏死组织内,多见于肺或淋巴结干酪样结核灶的愈合。某些肿瘤组织内或襄肿壁也可钙化,如肺错构瘤、肺包虫病等。尘肺时肺门淋巴结、肺胞浆菌病及肺内转移性骨肉瘤也可发生钙化。
钙化X线表现为高密度影,边缘锐利,形状不一。可为斑点状、块状或球形,呈局限或弥散分布。肺内愈合的结核灶多位于两肺上野,形状不定,常伴有不规则的肺门淋巴结钙化。肺错构瘤内可以发生“爆玉米花”样钙化。尘肺时肺门淋巴结的钙化常为蛋壳样。
5.肿块 肺肿瘤以形成肿块(mass)为特征。肺良性肿瘤多有包膜,呈边缘锐利光滑的球形肿块,生长慢,一般不发生坏死。肺含液囊肿的X线表现与良性肿瘤不易区分,但含液囊肿可随深呼吸运动而有形态的改变。恶性肿瘤多无包膜,呈浸润性生长,故边缘多不锐利,并可有短细毛剌伸出。由于生长不均衡,其轮廓常呈分叶状或有脐样切迹(图3-1-12)。生长快,可发生中心坏死。

图3-1-12 肺肿块
右肺外围型肺癌,肿块呈分叶状,边缘清楚,密度均匀
肺转移性肿瘤常表现为多发、大小不等的球形病变。
非肿瘤性病变如结核球及炎性假瘤,也可形成肿块影,类似肿瘤,应结合其他X线表现及临床资料鉴别。
6.空洞与空腔 空洞(cavity)为肺内病变组织发生坏死,坏死组织经引流支气管排出而形成。X线表现为大小与形状不同的透明区(图3-1-13)。见于肺结核的干酪样坏死病变、肺脓肿、肺癌及某些真菌病。空洞壁可由坏死组织、肺脓肿、肺癌及某些真菌病。空洞壁可由坏死组织、肉芽组织、纤维组织、肿瘤组织或洞壁周围的薄层肺不张所形成。依病理变化可分为三种:
(1)虫蚀样空洞:又称无壁空洞,是大片坏死组织内的空洞,较小,形状不一,常多发,洞壁为坏死组织。X线表现为实变肺野内多发小的透明区。轮廓不规则,如虫蚀状。见于干酪性肺炎。

图3-1-13 空洞的三种形态
(2)薄壁空洞:洞壁薄,壁厚在3mm以下,由薄层纤维组织及肉芽组织形成。X线表现为境界清晰、内壁光滑的圆形透明区。一般空洞内无液面,周围很少有实变影。常见于肺结核。
(3)厚壁空洞:洞壁厚度超过3mm。X线上,空洞呈形状不规则的透明影,周围有密度高的实变区。内壁凹凸不平或光滑整齐。多为新形成的空洞。见于肺脓肿、肺结核及肺癌。结核性空洞常无或仅有少量液体,而肺脓肿的空洞内多有明显的液面。癌瘤内形成的空洞其内壁多不规则,呈结节状。
空腔(aircontaining space)是肺内腔隙的病理性扩大,如肺大泡、含气肺囊肿及肺气囊等。空腔的X线表现与薄壁空洞相似,但较空洞壁薄,一般腔内无液面,周围无实变。襄状支气管扩张亦属空腔,但其中可见液面,周围可见炎性实变。
7.肺间质病变 肺间质病变是发生在肺间质的弥慢性病变,主要分布于支气管、血管周围、小叶间隔及肺泡间隔,而肺泡内没有或仅有少许病变。
许多肺部疾病和某些全身性疾病可发生肺间质病变。如感染(包括细菌、病毒和霉菌)、沿淋巴管播散的癌瘤、早期粟粒性肺结核、寄生虫病、组织细胞病X、尘肺、结缔组织病、特发性间质纤维化、热带嗜伊红细胞增多症以及间质性肺水肿等。
肺间质病变的X线表现与肺实质病变不同,多表现为索条状、网状、蜂窝状及广泛小结节状影。有时网状影与小结节状影同时存在。诊断应结合临床病史及其他检查。
(三)胸膜病变
1.胸腔积液 多种疾病可累及胸膜产生胸腔积液(pleural effusion),病因不同,液体的性质也不同。胸膜炎可产生渗出液;化脓性炎症则为脓液;心肾疾病、充血性心力衰竭或血浆蛋白过低,可产生漏出液;胸部外伤及胸膜恶性肿瘤可为血性积液;颈胸部手术伤及淋巴引流通道、恶性肿瘤侵及胸导管及左锁骨下静脉,均可产生乳糜性积液。X线检查能明确积液的存在,但难以区别液体的性质。胸腔积液因液量的多少和所在部位的不同,而有不同的X线表现。
(1)游离性胸腔积液:依积液量而表现不同:
少量积液:液体首先聚积于后肋膈角,故站立后前位检查难以发现,需使患者向一侧倾斜达60°或取患侧在下的水平投照,才能发现液体沿胸壁内缘形成窄带状均匀致密影。液体量在300ml以上时,侧肋膈角变平、变钝。透视下液体可随呼吸体位改变而移动,借以同轻微的胸膜肥厚、粘连鉴别。
中量积液:液体量较多时,由于液体的重力作用而积聚于胸腔下部的肺四周,表现为下肺野均匀致密,肋膈角完全消失。膈影不清(图3-1-14)。由液体形成的致密影的上缘呈外高内低的斜形弧线。此弧线的形成是由于胸腔内的负压状态、液体的重力、肺组织的弹性、液体的表面张力等作用所致。实际上液体的上缘是等高,但液体的厚度是上薄下厚,液体包绕肺的周围,当摄影时,胸腔外侧处于切线位,该部液体厚度最大,因而形成外侧和下部密度高,内侧和上部密度低。
大量积液:患侧肺野均匀致密,有时仅肺尖部透明。纵隔常向健侧移位,肋间隙增宽。

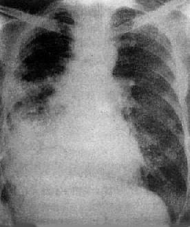
图3-1-14 右侧胸腔中量积液
右下肺野均匀致密,肋膈角与膈影不能分辨,
上缘模糊不清,心脏左移
(2)局限性胸腔积液:包裹性积液:胸膜炎时,脏、壁层胸膜发生粘连,使积液局限于胸腔的某一部位,为包裹性积液(encapsulated effusion)。好发在侧后胸壁,偶发于前胸壁及肺尖,也可发生于纵隔旁,发生于侧后胸壁者,切线位片表现为自胸壁向肺野突出的半圆形或梭形致密影,密度均匀,边缘光滑锐利,其上、下缘与胸壁的夹角常为钝角(图3-1-15)。发生于纵隔旁,积液可局限于上或下部。少量呈位于纵隔旁的三角形致密影,基底在下。液体量较多时,外缘呈弧形突出,侧位表现纵隔密度增高,但无清楚边界。

图3-1-15 包裹性积液
叶间积液:叶间积液(interlobar effusion)发生在水平裂或斜裂。后者可局限于斜裂的上部或下部。后前位上X线诊断较难,侧位则易于识别。少量叶间积液侧位表现为叶间裂部位的梭形致密影,密度均匀,梭形影的两尖端与叶间裂相连。液体量多时,可呈球形。游离性积液进入斜裂时,常在斜裂下部,表现为尖端向上的三角形致密影。
肺下积液:聚积在肺底与膈之间的积液为肺下积液(infrapulmonary effusion)。多为单侧,以右侧多见。因液体将肺下缘向上推移,故X线表现为肺下野密度增高,膈影不见。而上缘呈上突的圆顶状,易误为膈升高。但肺下积液有以下特点:“膈圆顶”最高点偏外侧1/3,肋膈角变深、变锐;透视下见肝下界位置正常;向患倾斜600时,可见游离积液的征象;仰卧位透视,由于淮体流至胸腔背部,表现为侧肺野密度均匀增高,同时可见患侧膈项位置正常,并未升高。少数肺底胸膜粘连,而液体不能流动。可作USG以确定诊断。
2.气胸及液气胸
(1)气胸;空气进入胸腔则形成气胸(pneumothorax)。进入胸腔的气体改变了胸腔的负压状态,肺可部分或完全被压缩。
空气进入胸腔的途径有二:①壁层胸膜破裂:主要由胸壁穿通伤、胸部手术及胸腔穿剌引起。为治疗或诊断目的,将气体注入胸腔形成的气胸称人工气胸。②脏层胸膜破裂:肺部病变引起脏层胸膜破裂并没有肺或支气管病史,由于突然用力,剧烈咳嗽使胸内压突然升高,而致胸膜破裂使空气进入胸腔形成气胸。这样的气胸称自发性气胸。常见于严重的肺气肿、胸膜下肺大泡、表浅的结核性空洞及肺脓肿等。如胸膜裂口呈活瓣作用,气体只进不出或进多出少,则形成张力性气胸,使纵隔明显移向健侧。
气胸的X线表现是由于胸腔内气体将肺压缩,使被压缩肺与胸壁间出现透明的含气区,其中不见肺纹理(图3-1-16)。肺被压缩的程度与胸腔内气体多少成正比。气体首先自外围将肺向肺门方向压缩,被压缩肺的边缘,呈纤细的线状致密影,呼吸时清楚。大量气胸可将肺完全压缩,肺门区出现密度均匀的软组织影。纵隔可向健侧移位,患侧膈下降,肋间隙增宽。张力性气胸时,可发生纵隔疝。健侧肺可有代偿性肺气肿。发生胸膜粘连,可见条状粘连带影。多处粘连,可将气胸分隔为多房局限性气胸。

图3-1-16 右侧气胸伴右下胸膜粘连
右肺萎陷,向肺门收缩,密度高,压缩肺与胸壁间
透明,其中未见肺纹理,肺底有粘连带与膈相连
(2)液气胸:胸腔内液体与气体并存,为液气胸(hydropneumothorax)。可因胸腔积液并发支气管胸膜瘘、外伤、手术后以及胸腔穿剌时漏进气体而引起,也可先有气胸而后出现液体或气体与液体同时出现,明显的液气胸立位检查时可表现为横贯胸腔的液面,液面上方为空气及压缩的肺(图3-1-17)。气体较少时,则只见液面而不易看到气体。如有胸膜粘连,可形成多房性液气胸。

图3-1-17 液气胸
左肺萎陷,靠近纵隔,肺外有透明区,其中未见肺纹
理,下部致密,其上缘平直
3.胸膜肥厚、粘连、钙化 由于胸膜发生炎症引起纤维素沉着、肉芽组织增生或外伤出血机化,均可导致胸膜肥厚、粘连和钙化(pleural thickening,adhesion andcalcification)。胸膜肥厚与粘连常同时存在。轻度胸膜肥厚、粘连多见于肋膈角处,X线表现为肋膈角变浅、变平,呼吸时膈运动受限,膈顶变平直而不呈圆顶状。膈胸膜的粘连有时表现为膈上缘的幕状突起。广泛胸膜肥厚时,可显示为肺野密度增高,沿胸廓内缘出现带状致密影,肋间隙变窄,甚至引起纵隔向患侧移位。正常叶间胸膜有时可显影,呈发丝状,但如厚度超过1mm,则应考虑有胸膜肥厚。
胸膜钙化多见于结核性胸膜炎、脓胸及出血机化。也见于尘肺。X线表现为片状、不规则点状或条状高密度影。有时包绕于肺表面呈壳状,与骨性胸壁间有一透明隙相隔。
广泛的壁层胸膜肥厚可使肋间隙变窄、胸廓塌陷并影响呼吸功能。
四、肺与纵隔疾病X线表现与诊断
(一)支气管扩张症 支气管扩张症(bronchiectasis)是常见的慢性支气管疾病,多继发于支气管、肺的化脓性炎症、肺不张及肺纤维化。多见于儿童及青壮年。主要症状是咳嗽、咯血和咳大量脓血痰。痰多带臭味。常有呼吸道感染及反复发热。可有杵状指。
支气管扩张症的主要病因是:①慢性感染引起支气管壁组织的破坏;②支气管内分泌物淤积及长期剧烈咳嗽,引起支气管内压增高;③肺不张及肺纤维化对支气管产生的外在性牵引。这三个因素可互为因果,促成并加剧支气管扩张。支气管扩张多见于左下叶,其次为右中叶和下叶。
X线检查可以确定支气管扩张的存在、类型和范围。应首先作平片检查而后根据情况选用支气管造影。
早期轻度支气管扩张在平片上可无异常发现。对较明显的支气管扩张,则多能发现支气管扩张的某些直接和(或)间接征象。分述如下:①肺纹理的改变:支气管及肺间质的慢性炎症引起管壁增厚及纤维增生,表现为肺纹理增多、紊乱或呈网状。扩张而含气的支气管可表现为粗细不规则的管状透明影。扩张而含有分泌物的支气管则表现为不规则的杵状致密影。囊状扩张的支气管则可表现为多个薄壁空腔,其中可有液面。②肺内炎症:在增多、紊乱的肺纹理中可伴有小斑片状模糊影。③肺不张:病变区可有肺叶或肺段不张,表现为密度不均的三角形致密影,多见于中叶及下叶。肺膨胀不全可使肺纹理聚拢,失去其正常走行与分布。④慢性肺原性心脏病表现:见于病变广泛而严重的病例。
支气管造影可以确定支气管扩张的部位、范围及类型,为手术治疗提供重要资料。支气管扩张的造影所见分为柱状、囊状及混合型。柱状扩张,造影表现为支气管腔粗细不匀,失去正常时由粗渐细的移行状态,有时远侧反较近侧为粗。并发肺不张时,扩张的支气管可有聚拢现象;囊状扩张,造影表现为支气管末端呈多个扩张的囊,状如葡萄串。造影剂常部分充盈囊腔,在囊内形成液面;混合型扩张,表现为柱状和囊状扩张混合存在,病变多较广泛。
囊状支气管扩张应同先天性囊肿鉴别,后者壁薄,周围无炎性浸润而造影剂不能进入囊腔中。
(二)气管、支气管异物 气管、支气管异物(foreign body of trachea and bronchus )80%~90%见于5岁以下的儿童,偶见于成人。较大异物多停留在喉或气管内。较小异物多进入支气管内。下叶较上叶多见,右侧较左侧多见,因为右侧主支气管同气管连接较直,管腔也大于左侧,所以气流大,异物易被吸入。异物可以是不透X线的钉针、钱币及发卡等。也可以是可透X线的果核、花生米、豆粒等。
异物进入气管、支气管后,依异物大小,形状和是否固定,而可引起不同程度的阻塞及局部粘膜炎等病理改变。
部分性阻塞可以是呼气活瓣性阻塞或吸气活瓣性阻塞,前者异物固定,吸气时管腔略扩张,空气可以进入,但呼气时管腔变窄,空气排出因难而导致阻塞性肺气肿。吸气活瓣性阻塞,异物多可活动,随吸气下移,致使吸气时阻塞,使患肺含气量较健肺少。异物完全阻塞支气管,导致肺不张。异物本身对局部粘膜的剌激、损伤可引起充血、水肿、溃疡、肉芽组织增生及纤维组织增生。
X线表现是不透X线异物可在透视或摄影时直接显示其大小、形状及部位。可透X线异物则应在透视下注意观察呼吸道的梗阻情况,根据肺气肿、肺不张的位置与范围以及纵隔在不同呼吸时相的移动情况,间接推断异物的位置。必要时可于呼气及吸气相分别摄影。
气管内不透X线扁形异物如钱币由于需经过较窄的声门进入气管,故异物的窄面常与声门裂方向一致,在后前位上显示为纵形条状影,侧位则显示异物宽面。这一特点可与食管异物鉴别。食管为前后径小,横径宽的管腔,扁形异物进入后,后前位可显示异物宽面,而侧位时显示其窄面,恰与气管异物相反。
气管内异物多表现为呼气活瓣性阻塞,透视下两肺透明度高,呼气时密度改变不大。而且心影在呼气时反比吸气时小。此种反常现象对气管内非金属异物的诊断有重要意义。
支气管异物如为不透X线异物可直接显示,根据正侧位片,可以判断异物位于哪一支气管。
可透X线异物与不透X线异物均可因其阻塞程度的不同,是否合并感染,而引起不同的间接X线征象。这些间接征象对于推断可透X线异物的位置有重要意义。间接征象包括:①纵隔摆动:正常呼吸时,纵隔无左右摆动现象。支气管异物时,一侧支气管发生部分性阻塞,呼、吸气时两侧胸腔压力失去平衡,使纵隔发生两侧摆动。如为吸气性活瓣性阻塞,深吸气时纵隔向患侧移动;如为呼气活瓣性阻塞,则呼气时纵隔向健侧移动。②阻塞性肺气肿:常与纵隔摆动同时存在。表现为相应部位肺透明度增高,肺纹理稀少,呼气时表现明显。一侧性肺气肿说明异物位于患侧主支气管或其分叉处。如为肺叶性肺气肿,可根据气肿范围确定异物位置。③肺不张:为异物完全阻塞支气管所致,表现为一侧肺或某个肺叶、肺段的密度增高及体积缩小。④肺部感染:异物存留时间较久,相应肺叶可发生肺炎,表现为密度不均匀的片絮状模糊影象,甚至发生肺脓肿,出现含有液面的的空洞。
(三)肺炎 肺炎(pneumonia)为常见肺疾病,X线检查对病变的发现、部位、性质以及动态变化,可提供重要的诊断资料。按病变的解剖分布可分为大叶性肺炎、支气管肺炎(小叶性肺炎)及间质性肺炎。按病原菌的肺炎分类法对X线诊断无实用价值。
1.大叶性肺炎 大叶性肺炎(lobar pneumonia)多为肺炎双球菌致病。好发于冬春季,多见于青壮年。起病急,以突然高热、恶寒、胸痛、咳嗽、咳铁锈色痰为临床特征。血白细胞总数及中性粒细胞明显增高。
大叶性肺炎可累及肺叶的一部,也可从肺段开始扩展至肺叶的大部或全部,偶可侵及数叶。X线征象较临床出现晚3~12小时。其基本X线表现为不同形态及范围的渗出与实变。自应用抗生素以来,典型的大叶性实变已不多见,病变多呈局限性表现。
大叶性肺炎的早期,即充血期,X线检查可无阳性发现,或只表现为病变区肺纹理增多,透明度略低或呈密度稍高的模糊影。病变进展至实变期(包括红肝样变期及灰肝样变期),X线表现为密度均匀的致密影,如病变仅累及肺叶的一部分则边缘模糊。由于实变的肺组织与含气的支气管相衬托,有时在实变区中,可见透明的支气管影,即支气管气像。炎症累及肺段表现为片状或三角形致密影,如累及肺叶的轮廓一致(图3-1-11)。不同肺叶的大叶性实变形状各不相同。消散期的表现为实变区的密度逐渐减低,先从边缘开始。由于病变的消散是不均匀的,病变多表现为散在、大小不等和分布不规则的斑片状致密影。此时易被误认为肺结核,应予注意。炎症进一步吸收可只遗留少量索条状影或完全消散。临床上,症状的减轻常较肺内病变吸收为早,病变多在两周内吸收。少数患者可延迟吸收达1~2个月,偶可机化而演变为机化性肺炎。
2.支气管肺炎 支气管肺炎(bronchopneumonia)又称小叶性肺炎(lobular pneumonia),常见致病菌为链球菌、葡萄球菌和肺炎双球菌等。多见于婴幼儿、老年及极度衰弱的患者或为手术后的并发症。
支气管肺炎可由支气管炎和细支气管炎发展而来,病理变化为小支气管壁充血、水肿,肺间质内炎性浸润以及肺小叶渗出和实变的混合病变。病变范围常是小叶性的,但可融合成大片。如果细支气管有不同程度的阻塞,则可出现肺气肿或小叶性肺不胀。临床表现较重,多有高热、咳嗽、咳泡沫沾液脓性痰,并伴有呼吸因难、紫绀及胸痛等。发生于极度衰弱的老年时,因机体反应力低,体温可不升高,血白细胞数也可不增多。
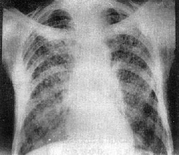
X线表现是病变多发生在两肺中、下野的内、中带。支气管及周围间质的炎变表现为肺纹理增多、增粗和模糊。小叶性渗出与实变则表现为沿肺纺理分布的斑片状模糊致密影,密度不均(图3-1-18)。密集的病变可融合成较大的片状。病变广泛可累及多个肺叶。小儿患者常见肺门影增大、模糊并常伴有局限性肺气肿。

图3-1-18 支气管肺炎
肺门影增大,肺纹理增强、模糊,中、下肺
野可见沿肺纹理分布的斑片状模糊致密影
3.肺炎支原体肺炎 肺炎支原体肺炎(mycoplasmal pneumonia)系由肺炎原体引起。肺炎支原体较一般细菌小,较病毒大,大小为125~150nm。本病由呼吸道传染,多发于冬春及夏秋之交。一般为散发性,有时可为流行性。症状常轻微,可有疲劳、胸闷、轻咳,多不发热或仅有低热。少数可发热,剧烈干咳。多数患者冷凝集试验阳性。
肺炎支原体侵入肺部后,首先引起小支气管及肺间质的充血、水肿及炎性细胞浸润,继而发生肺泡的渗出与实变。
病变初期X线表现主要为肺纹理增多、模糊,可呈网状改变,继而出现局限性炎性实变,多在肺门区或其下方,形成密度稍高的片状影,边缘部分密度更淡。病变多局限于肺段内,一般不超过肺叶。发生于上叶的局限性实变应注意与浸润型肺结核鉴别。短期复查,本病多在1~2周内吸收,而肺结核在1~2个月内仍难以完全吸收。
4.间质性肺炎 间质性肺炎(interstitial pneumonia)系肺间质的炎症,可由细菌或病毒感染所致。多见于小儿,常继发于麻疹、百日咳或流行性感冒等急性传染病。临床上除原发急性传染病的症状外,常同时出现气急、紫绀、咳嗽、鼻翼扇动等,但体征较少。
病变主要侵及小支气管壁及肺间质,引起炎性细胞浸润。炎症沿淋巴管扩展并引起淋巴管炎及淋巴结炎。小支气管粘膜的炎症、充血及水肿可造成部分性或完全性阻塞,以致引起肺气肿或肺不张。肺泡也可有轻度炎性浸润。慢性者,除炎性浸润外多伴有不同程度的纤维结缔组织增生。
间质性肺炎的X线表现与以肺泡渗出为主的肺炎不同。病变较广泛,常同时累及两肺,以肺门区及中下肺野显著,但也可局限于一侧。表现为肺纹理增粗、模糊,可交织成网状,并伴有小点状影。由于肺门周围间质内炎性浸润,而使肺门轮廓模糊、密度增高、结构不清并有轻度增大。发生于婴幼儿的急性间质性肺炎,由于细支气管炎引起部分阻塞,则以弥漫性肺气肿为主要表现。可见肺野透明度增加,膈下降且动度减小,呼气与吸气相肺野透明度差别不大。
5.化脓性肺炎 化脓性肺炎(suppurative pneumonia)主要由溶血性金黄色葡萄球菌引起,多见于小儿及老年。感染途径分为原发或吸入性及继发或血源性。吸入性者常为流行性感冒及麻疹的并发症,血源性者系身体其他部位的金黄色葡萄球菌感染,如疖痈、蜂窝织炎、骨髓炎所引起的脓毒血症在肺内发生多发性腐败性肺梗死所致。
临床表现为发病急,高热、寒战、咳嗽、咳脓血痰、气急和胸痛。症状严重,病情变化快。暴发型者可在短期内出现外周循环衰竭,死亡率高。部分患者呈慢性迁延过程,病变经数月至半年仍不能完全治愈。
化脓性肺炎的病理改变与肺炎双球菌性肺炎相似,但化脓、坏死的倾向较大,引起肺实质与肺间质的化脓性改变。实质病灶中易有脓肿形成,常为多发。肺间质的化脓性坏死常与支气管相通,加上支气管壁的炎症水肿以及支气管的反射性痉挛,易发生活瓣性阻塞而形成气肿或肺气囊。继发血源性感染常引起肺的多发性脓肿。症变易侵犯胸膜。
X线表现是原发吸入性化脓性肺炎起病后短期内即可在肺内出现炎性浸润,呈密度高、边缘模糊的云絮状影。病变范围可以是小叶、肺段或大叶,并可在一日内扩展为两肺广泛的炎性浸润。在病变区无一般肺炎所能见到的支气管气像。病变发展,可在炎性浸润中出现脓肿,表现为含有液面的空洞。同时也可在不同部位出现大小不等的类圆形薄壁空腔,即肺气囊。一般肺气囊内无液面,但也可有少量液体。肺气囊变化快,一日内可变大或变小,一般随炎症的吸收而消散,偶可迟至数月后消失。本病易发生胸腔积液及脓胸,近胸膜的肺气囊穿破后可形成脓气胸。
继发血源性化脓性肺炎,由细菌栓子形成的腐败性肺梗死多分布在两肺的外围部分,X线表现为大小不一的球形病变,小者直径为数毫米,大者可为1~4cm,边缘较清楚。也可呈大小不一的片状致密影。病变中心可出现空洞及液面。
6.过敏性肺炎 过敏性肺炎(allergic pneumonia)系机体对某种物质过敏的反应所引起的肺部病变。亦称Löffler综合征。以肺游走性影像外及外周血内嗜酸粒细胞增多为特征。多认为过敏源为寄生虫毒素、某些药物或花粉等。症状轻微,可有轻咳、全身不适、少数可有哮喘、低热。有时患者仅感觉呼吸有时有物殊气味。不经治疗可自行消退,且激素治疗有明显效果。
过敏性肺炎的病理变化主要为肺内嗜酸粒细胞浸润及局限性神经血管性水肿。
肺部X线表现多种多样,可在肺内任何部位出现边缘模糊。密度稍高的云雾状影,影中仍可见肺纹理。病变改变迅速,呈游走性,数日内可以吸收而在其他肺野又出现新的病变。
(四)肺脓肿 肺脓肿(lung abscess)系由化脓性细菌细菌引起的肺坏死性炎性疾病。早期为化脓性炎变,继之发生坏死液化形成脓肿。分急性与慢性两种。感染途径可为①吸入性;为最常见的感染途径,如从口腔、鼻腔吸入含菌的分泌物、坏死组织或异物等。也可继发于大叶性肺炎、支气管肺炎或肺不张;②血源性:继发于金色葡萄球菌引起的脓毒血症,病变为多发性;③附近器官感染直接蔓延;如由胸壁感染、膈下脓肿或肝或肝脓肿直接蔓延累及肺部。
临床发病急剧,有高热、寒战,体温呈弛张型。开始咳嗽较轻伴有胸痛,而后咳嗽加剧,痰量剧增,可达数百毫升,为脓性,有腥臭味,放置后可分三层,有时痰中带血。慢性期,呈慢性消耗状态,有间歇性发热及持续性咳嗽、咳痰。可出现杵状指。
X线表现依病理发展阶段及有无胸膜并发症而不同。在急性化脓性炎症阶段,肺内出现大片致密影,边缘模糊,密度较均匀,可侵及一个肺段或一叶的大部。当病变中心肺组织发生坏死液化后,则在致密的实变区中出现含有液面的空洞,内壁略不规整(图3-1-19)。引流支气管呈活瓣性阻塞时,空洞可迅速增大。
慢性肺脓肿,周围炎性浸润部分吸收,而纤维结缔组织增生,X线表现为密度不均、排列紊乱的索条状及斑片状影,伴有圆形、椭圆形或不规则形的空洞。洞壁厚,内外壁边缘清楚,有或无液面。多房性空洞则显示为多个大小不等的透明区,体层摄影时尤为清楚。慢性肺脓肿附近的支气管多发生支气管扩张,造影时可显示支气管扩张、阻塞、偶尔造影剂可进入脓腔。可见多房相连,多支相通,多叶受侵的表现。并发脓胸及胸膜肥厚时,则肋膈角消失,肋间隙变窄,并可有肋骨骨膜增生。
血源性肺脓肿表现为两肺多发、散在、大小不等的圆形、椭圆形或片状致密影,以外围较多,部分病灶中可有小空洞形成,也可有液面。
由膈下脓肿或肝脓肿扩展引起的肺脓肿,可表现患侧膈升高、运动明显受限,沿膈面的肺野内有大片致密影,其中可见含液面的空洞,多伴有胸膜肥厚。
(五)肺结核 肺结核(pulmonary tuberculosis)是由人型或牛型结核杆菌引起的肺部慢性传染病。建国前流行广泛,建国后人民生活普遍提高,防治工作成绩卓著。现在肺结核的患病率与死亡率较建国初期均有明显下降。但目前仍不少见。X线检查对肺结核的防治有着重要作用。
肺结核的病理变化比较复杂。机体的免疫力和细菌的致病力都直接影响着病变的性质、病程和转归,所以肺结核的X线表现也是多样的。
结核杆菌侵入肺组织后所引起的基本病变是渗出与增殖。前者以结核性肺泡炎,后者以结核性结节肉芽肿为特征。在机体免疫力的影响下,未被吸收的渗出性病变可发生增殖性改变,增殖性病变周围也可出现渗出性病变。两者大多混合存在。
在机体抵抗力低下或未适当治疗时,结核病变可以恶化,发生以下几种改变:①干酪样坏死(caseous necrosis),为结核病变坏死的特征性改变,病变在渗出的基础上呈凝固性坏死,变为灰黄色似奶酪,故称干酪样坏死;②液化及空洞(liquification and cavitation),病变发生干酪样坏死后,继而发生液化,坏死物经支气管排出后即形成空洞;③播散(dissemination),结核病变中的结核杆菌可以通过淋巴管经胸导管进入血流,经右心、肺动脉造成肺内血行播散;直接进入肺静脉造成全身性血行播散;通过支气管播散到其他肺部;病变局部浸润至邻近肺组织。
机体抵抗力强和经适当治疗时,结核病变可通过以下几种方式愈合:①吸收,急性渗出性病变可被完全吸收而不留痕迹,轻微的干酪样变或增殖性病变也可大部吸收,仅残留少量纤维瘢痕;②纤维化,病变在吸收过程中伴有纤维组织增生,特别是增殖性病变,主要经纤维化而愈合,非液化的干酪样病可以被纤维组织包绕而形成结核球;③钙化,局限性干酪样病灶,在机体抵抗力增强的情况下,可脱水干燥而钙化;④空洞瘢痕性愈合,新形成的薄壁空洞,经有效治疗,洞内干酪样坏死物排出后,引流支气管闭塞,空洞内压下降,洞壁萎陷,肉芽组织及纤维组织增生而愈合;⑤空洞净化,为空洞临床愈合的一种形式。慢性纤维空洞难以闭合,经长期抗结核治疗,洞内细菌被消灭,支气管上皮可长入,痰内一直查不到结核杆菌,称为净化空洞。
肺结核的临床分类,对肺结核的防治很重要。但因肺结核具有复杂的临床、病理及X线表现,所以较难制订一个满意的分类。1978年全国结核病防治会议制定了我国新的结核病分类法。将肺结核分为五个类型:即①原发型(Ⅰ型);②血行播散型(Ⅱ型);③浸润型(Ⅲ型);④慢性纤维空洞型(Ⅳ型);⑤胸膜炎型(Ⅴ型)。并将活动性及转归分为三期:
进展期:凡具备下述一项者属进展,新发现活动性病变;病变较前恶化、增多;新出现空洞或空洞增大;痰内结核杆菌阳性。
好转期:凡具备下述一项者属好转,病变较前吸收好转;空洞闭合或缩小;痰内结核杆菌为阴性(连续3个月,每月至少查痰一次)。
稳定期:病变无活动、空洞闭合、痰内结核杆菌连续阴性(每月至少查痰一次)达6个月以上。如空洞仍然存在,则痰内结核杆菌须连续阴性1年以上。稳定期为非活动性肺结核,属临床治愈;再经观察2年,如病变仍无活动性,痰内结核杆菌仍持续为阴性,则作为临床痊愈,可认为“肺部健康”,如有空洞,需观察3年以上,才能作为临床痊愈。
如因缺乏对比资料而不能确定活动性时,可记“活动性未定”,一般应按活动性肺结核处理。
现按1978年制订的我国肺结核病分类方法,介绍各型肺结核的X线表现。
1.原发型肺结核(Ⅰ型) 原发型肺结核(primary trberculosis)为初次感染所发生的结核,多见于儿童,也见于青年。初期症状不明显,可有低热、轻咳、食欲减退、盗汗、无力及精神不振。有时婴幼儿发病较急,体温可达39~40℃,以后转为低热。一般无阳性体征,当病变范围较大或有增大的淋巴结压迫支气管致肺不张时,可有叩浊、呼吸音减弱等体征。
原发型肺结核X线表现可为原发综合征及胸内淋巴结结核。
(1)原发综合征:结核杆菌侵入肺部后,多在肺的中部近胸膜处发生急性渗出性病变,为原发灶。其周围可以发生不同程度的病灶周围炎。结核杆菌沿原发病灶周围的淋巴管侵入相应的肺门或纵隔淋巴结,引起淋巴管炎和淋巴结炎。原发病灶,淋巴管炎及淋巴结炎三者组成原发型肺结核的典型变化,为原发综合征
原发病灶及病灶周围炎X线表现为边界模糊的云絮状影,可大可小,大者可占据数个肺段甚至一个肺叶,婴幼儿以大叶型及肺段型多见。自原发病灶引向肺门的淋巴管炎可表现为数条索条状致密影,当病灶周围炎范围较大时则淋巴管炎及淋巴结炎可被掩盖而不能显示。肺门与纵隔增大的淋巴结表现为肿块影(图3-1-20)。原发病灶周围炎范围较小时,可以出现原发病灶-淋巴管炎-淋巴结炎三者组成的哑铃状双极现象。但此种典型征象并不多见。原发病灶周围炎范围较大时可误为大叶性肺炎,结合临床症状及肺门淋巴结增大可以鉴别。

图3-1-20 原发综合征
右侧下肺野靠近心右缘可见边缘模糊的云絮状影,
范围较大,肺门淋巴结增大,边界不清
(2)胸内淋巴结结核:原发病灶易于吸收消散,症灶较小时也常被掩盖。但淋巴结炎常伴不同程度的干酪样坏死,愈合较慢,当原发病灶已被吸收或被掩盖而不能发现时,则原发型肺结核即表现为肺门或纵隔淋巴结增大,为胸内淋巴结结核。
肺门及纵隔增大的淋巴结可分为结节型(肿瘤型)与炎症型。结节型者X线表现为圆形或椭圆形结节状影,常为数个淋巴结增大,其内缘与纵隔相连,外缘呈半圆形或分叶状突出,边界清楚(图3-1-21)。多出现于右侧气管旁及气管支气管淋巴群。气管隆突下淋巴结增大时,后前位片常不能显示,侧位片可显示增大的淋巴结位于气管隆突下方。

图3-1-21 胸内淋巴结结核
右侧肺门淋巴结增大,边缘清楚,内侧与纵隔影相续,肺门角不能看到
炎症型者主要为增大的淋巴结同时伴有淋巴周围炎,X线表现为肺门影增大,边缘模糊,无清楚边界。
婴幼儿支气管壁较软,可被增大的淋巴结压迫而引起肺不张,多见于右上、中叶。
原发型肺结核预后多较好,原发灶可以完全吸收或经纤维化、钙化而愈合。淋巴结内的干酪样病灶难以完全吸收,须逐渐通过纤维化、钙化而愈合。有时只部分愈合,成为体内潜伏的病灶。少数患者抵抗力低下,原发病灶可干酪样化、液化而形成空洞。原发灶及淋巴结内的干酪样坏死物可通过支气管播散到其他部位,形成干酪性肺炎,也可通过淋巴、血流而引起血行播散。
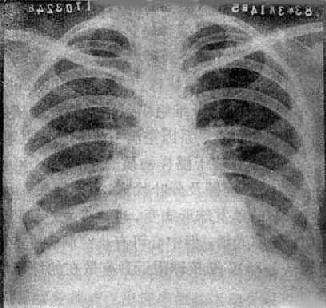
2.血行播散型肺结核(Ⅱ型) 根据结核杆菌进入血循环的途径、数量、次数以及机体的反应,可分为急性粟粒型肺结核(acute miliary tuberculosis)及慢性血行播散型肺结核(chronicdisseminated pulmonary trberculosis)。
(1)急性粟粒型肺结核:系大量结核杆菌一次或短期内数次进入血流,播散至肺部所致。发病急,可有高热、寒战、呼吸困难、咳嗽、头痛、昏睡以及脑膜剌激等症状。体检可无阳性体征,红细胞沉降率多增快,但结核菌素试验可为阴性。
粟粒型肺结核病灶小,透视常难以辩认,故拟诊急性粟型肺结核时应摄片检查。病变早期整个肺野可呈毛玻璃样密度增高。约10日后可出现均匀分布的1.5~2mm大小、密度相同的粟粒状病灶,正常肺纹理常不能显示(图3-1-22)。经过适当治疗后。病灶可在数月内逐渐吸收,偶尔以纤维硬结或钙化而愈合。病变恶化时,可以发生病灶融合,表现为病灶增大,边缘模糊,甚至形成小片状或大片状影,并可干酪样化而形成空洞。

图3-1-22 急性粟粒型肺结核
两肺野布满粟粒状病灶,分布均匀,肺门大
(2)亚急性或慢性血行播散型肺结核:系少量结核杆菌在较长时间内多次进入血流播散至肺部所致。患者抵抗力较强,症灶多以增殖为主,临床症状可不明显或有反复的发热、畏寒或轻度结核中毒症状如低热、盗汗、无力、消瘦等。
由于病灶系多次血行播散所形成,故X线表现为大小不一、密度不同、分布不均的多种性质的症灶(图3-1-23)。小者如粟粒,大者可为较大的结节状,主要分布于两肺上、中野,下野较少。早期播散的症灶可能已经钙化,而近期播散的病灶仍为增殖性或渗出性。本型结核发展较慢,经治疗新鲜病灶可以吸收,陈旧病灶多以纤维钙化而愈合。恶化时病灶可融合并形成空洞或逐渐转为慢性纤维空洞型肺结核。

图3-1-23 慢性血行播散型肺结核
两肺野布满大小不一、密度不同、分布不均的病灶,
下野较少,膈位置低而平
3.浸润型肺结核(Ⅲ型) 浸润型肺结核(inailtrative pulmonary tuberculosis)系继发性肺结核,为成年结核中最常见的类型,小儿极少。多为已静止的原发病灶的重新活动,偶为外源性再感染。因为机体已产生特异性免疫力,病变趋向局限于肺的一部,多在肺尖、锁骨下区及下叶背段。由于病变性质不同,多少不一,临床症状可相差悬殊,轻者无任何症状,可在查体时偶然发现。一般多有低热、乏力、咳嗽、盗汗等症状。严重者可有咯血、胸痛、消瘦。痰结核杆菌阳性率高,红细胞沉降率增快。
X线表现可多种多样,一般为陈旧性病灶周围炎,多在锁骨上、下区,表现为中心密度较高而边缘模糊的致密影(图3-1-10)。也可为锁骨下区出现新的渗出性病灶,表现为小片云絮状影,范围较大时可呈肺段或肺叶性浸润,症变的发展过程较为复杂,早期渗出性病变可以完全吸收,但一般多呈时好时坏的慢性过程,故可有渗出、增殖、播散、纤维和空洞等多种性质的病灶同时存在(图3-1-24)。
浸润型肺结核还包括结核球及干酪性肺炎两种物殊类型的病变。

图3-1-24 左肺浸润型肺结核空洞形成
左肺上野第2前肋间边缘模糊的致密影,其中可见空洞
(1)结核球:结核球(tuberculoma)为纤维组织包绕干酪样结核病变而成。系因空洞引流支气管阻塞,空洞被干酪样物质充填所致。可呈圆、椭圆及分叶状。多为直径2~3cm的单发球形病变,也可多发。多见于锁骨下区,但可发生于任何部位。一般密度均匀,轮廓光滑,但中心可有小空洞存在。结核球内可以出现层状、环状或斑点状钙化影(图3-1-25)。结核球附近常有散在纤维增殖性病灶,常称为卫星灶。

图3-1-25 右肺结核球
右肺内带可见椭圆形致密影,轮廓光滑,内有斑状钙化
(2)干酪性肺炎:干酪性肺炎(caseous pneumonia)见于机体抵抗力极差,对结核杆菌高度过敏的患者。分大叶性及小叶性两种。大叶性干酪性肺炎为大片渗出性结核性炎变发生干酪样坏死而形成,范围较大,小叶性干酪性肺炎系由干酪空洞或干酪样化的淋巴结破溃经支气管播散而形成。临床症状急剧严重,有明显中毒症状如高热、恶寒、咳嗽、咳痰、胸痛、呼吸困难和痰中带血等。
大叶性干酪性肺炎X线表现为一个肺段或肺叶的大部呈致密性实变,轮廓与大叶性肺炎相似,但密度较大叶性肺炎为高(图3-1-26)。在高电压摄影或体层摄影时,可见大片实变中有多处密度低的虫蚀样空洞影。小叶性干酪性肺炎常表现为两肺内分散的小叶性致密影,有时与大叶性干酪性肺炎同时存在。
4.慢性纤维空洞型肺结核(Ⅳ型) 慢性纤维空洞型肺结核为肺结核的晚期类型。多由其他类型肺结核的恶化、好转与稳定交替发展而来。由纤维厚壁空洞、广泛的纤维性变及支气管播散病灶组成病变的主体。此外,广泛的纤维组织增生可引起代偿性肺气肿、支气管扩张及慢性肺原性心脏病等。患者有反复的低热、咳嗽、咳痰、咯血、胸痛、盗汗、气短及食欲不振等症状。有些患者代偿功能好,可无明显症状,但痰内结核杆菌阳性,成为肺结核的重要传染源。本型结核预后不良,多数患者最后死心于心肺功能衰竭。极少数患者病情可好转,空洞消失或净化,纤维组织广泛增生成为以纤维化为主的稳定状态。
5.胸膜炎型(Ⅴ型) 结核性胸膜炎多见于儿童与青少年。胸膜炎可与肺部结核同时出现,也可单独发生而肺内未见病灶。前者多系邻近胸膜的肺内结核病灶直接蔓延所致;后者多系淋巴结中的结核杆菌经淋巴管逆流至胸膜所致。临床上分为干性及渗出性结核性胸膜炎。
(1)结核性干性胸膜炎:系指不产生明显渗液或仅有少量纤维素渗出的胸膜炎。临床以发热,胸部剧烈针剌样疼痛,呼吸及咳嗽时加剧为特点。听诊可有胸膜摩擦音。部分患者可自行愈合或遗留轻微胸膜粘连。多数患者继续发展而出现胸腔积液。X线检查可无异常发现或仅出现患侧膈运动受限。
(2)结核性渗出性胸膜炎:多发于初次感染的后期。此时机体对结核杆菌过敏性高,易产生渗液。其他类型结核也可发生。多为单侧,液体一般为浆液性,偶为血性。临床可有发热、恶寒、胸痛等症状。液量较多时可出现气急,甚至紫绀。经治疗后液体可完全吸收。病程较长,有大量纤维素沉着,则引起胸膜肥厚、粘连甚至钙化。
渗出性胸膜炎的X线表现已在基本病变的X线表现中叙述。单纯X线检查不能确定胸腔积液的性质及原因,需结合临床资料确诊。
(六)胸部外伤 急性胸部外伤,常为骨折、胸部异物、气胸、液(血)气胸及肺挫伤等。X线检查目的是了解胸部外伤情况。如病情危急则应先行抢救,待病情允许时再行X线检查。
1.骨折
(1)肋骨骨折:多见于第4~10肋骨。不全骨折或膈下肋骨骨折,易遗漏。须对肋骨逐条仔细观察。还须注意并发胸内损伤,如气胸、血胸、血气胸和气管支气管断裂等。
(2)胸骨骨折:发生于直接暴力击伤,如汽车互撞,驾驶盘撞击司机的胸骨等,常为胸骨体横行或斜行骨折。移位或分离较少见,侧位片较易发现骨折。
2.胸部异物 胸部火器伤常伴有异物存留。非金属异物,X线检查不易发现。金属异物如弹片、弹头一般透视即可查出。检查时应注意异物的部位和形状以及胸部有无其他改变。
(1)胸壁异物:透视时嘱患者作深呼吸,胸壁皮下异物,异物移动方向与肋骨上下移动方向一致。转动患者至切线位,可见异物在胸壁内。推动胸壁软组织,则可见异物随之移动。
(2)胸内或肺内异物:深呼吸时,胸内或肺内异物的运动方向与肋骨上下移动方向相反。转动患者可见异物不能与肺分离。
(3)心脏异物:心脏异物患者常立即死亡,偶可见异物嵌于心肌或心包内,转动患者可见异物与心影不能分离,并随心脏搏动而移动。
3.气胸及液(血)胸 胸壁外伤使胸腔与外界相通,造成开放性气胸。某种挤压伤可引起肺泡及脏层胸膜破裂,也可造成气胸。开放性气胸时胸腔内压力等于大气压力,患侧肺完全萎缩,吸气时纵隔移向健侧,呼气时纵隔返回原位,甚至移向患侧,引起纵隔摆动。气胸如在胸膜破裂处形成活瓣性阻塞,则气体进入胸腔内且只进不出,或进多出少,胸腔内气体逐渐增多,压力增加,形成张力性气胸,此时心与纵隔严重向健侧移位。如肺撕裂或肋间血管破裂,可形成液(血)气胸。
4.肺挫伤 各种原因的胸部撞击或爆炸气浪对胸部冲击,胸廓可无损伤而伤及肺。撞击伤常伤及直接暴力的一侧,而爆炸伤和气浪冲击伤则多为两侧。常有胸痛及咯血。肺挫伤的病理改变为渗出液及血液渗入肺泡及肺间质。
X线表现为不规则的片状实变至大片实变,形状可不按肺叶或肺段分布。肺纹理增粗而模糊。
肺挫伤吸收较快,伤后24~48小时开始吸收,至1~2周可完全吸收而不留痕迹。
5.肺撕裂伤及肺血肿 严重的胸部闭合伤如汽车撞伤,可发生肺组织撕裂。肺外围胸膜下出现含气或含液(血)的薄壁囊肿。受伤初期常为肺挫伤影像所遮盖而不能发现,数小时至数日后肺挫伤逐渐吸收才能显示。X线表现为一个或多个单房或多房圆形或椭圆形的薄壁囊腔,囊内可有液面。有时囊腔完全为血液所填塞,很像肺肿瘤。外伤史及病变发展过程可帮助鉴别。血肿通常在数周至数月内逐渐缩小,约半年至1年可完全吸收,留下少许线条状瘢痕。
6.气管及支气管裂伤 气管、支气管裂伤比较少见,可发生在胸部闭合伤及穿通伤,往往伴纵隔其他脏器的破裂,病情比较严重。成年人常并发第1到第3肋骨前段骨折,儿童胸部弹性较好,可无骨折。气管裂伤常发生在近隆突处,而支气管裂伤大多在主支气管距隆突1~2cm处。症状有紫绀、胸痛、咯血、咳嗽、休克等。常并有颈部及上胸部皮下气肿。
常见的X线表现为气胸,多为张力性。气体逸入纵隔可引起纵隔气肿及皮下气肿。张力性气胸并发纵隔气肿而无胸腔积液为气管支气管裂伤的重要征象。少量气体可从支气管断端逸出而停留在其附近的结缔组织内,X线上可见支气管外周有透明的气体影。断端移位,表现为透明的支气管腔有成角变形,状如上剌刀的步枪。亦可引起支气管阻塞及肺不张,但出现较晚。
气管支气管裂伤也可无X线征象。有时数年后才作出诊断。因此在发现第1~3肋骨前段骨折或胸骨骨折,临床疑有气管支气管裂伤时,应仔细观察,必要时增加曝光条件摄影或行体层摄影,以期尽早作出诊断,并行手术修补。
7.纵隔气肿及血肿 外伤性纵隔气肿发生于胸部闭合伤。由于突然增高压力。使肺泡破裂,气体进入肺间质内,形成肺间质气肿。气体再经肺门而进入纵隔,发生纵隔气肿。常并发气管、食管裂伤。临床症状为突然胸骨后疼痛,并放射到双肩及两臂,疼痛随呼吸、吞咽动作而加重,还可有咳嗽、呕吐、憋气等。纵隔气体可进入颈部及胸壁而出现皮下气肿。X线表现为纵隔两旁有平行于纵隔的气带影,在心影两旁特别明显。纵隔胸膜被推向外,呈线条状影。侧位片见气体位于胸骨后,将纵隔胸膜推移向后,呈线条状影。
纵隔血肿见于胸部挤压伤,少量出血可无异常X线表现。大量出血,X线表现为均匀对称性纵隔增宽。局限性纵隔血肿则表现为局部均匀软组织肿块,向肺野突出。
(七)肺肿瘤 肺肿瘤分原发性与转移性两类。原发性肿瘤又分良性及恶性。良性肺肿瘤少见。恶性肺肿瘤中98%为原发性支气管肺癌(primary bronchogenic carcinomaof lung)。少数为肺肉瘤。
1.原发性支气管肺癌 癌起源于支气管的上皮、腺体或细支气管及肺泡上皮。组织学上可分为鳞癌、未分化癌、腺癌及细支气管肺泡癌。
鳞癌为最常见的组织类型,约占肺癌的45~50%,多发生在肺段支气管以上较大的支气管。90%发生于男性。肿瘤中心易发生坏死。生长慢,转移晚。
未分化癌占肺癌的40%,男性多见。发病年龄较轻,可在40岁以下。生长快,转移早。
腺癌占肺癌的10%,男女发病率接近。多发生在外围小支气管。早期可发生淋巴、血行及胸膜转移。
细支气管肺泡癌少见,占肺癌的2%~5%,女性略多。肿瘤发展速度相差悬殊,某些病例发展迅速,可在数月内死亡,某些病例病程可长达数年。
按照肺癌发生的部位可以分为三型:即①中心型,系指发生于主支气管、肺叶支气管及肺段支气管的肺癌;②外围型,系指发生于肺段以下支气管直到细支气以上的肺癌;③细支气管肺泡癌,系指发生于细支气管或肺泡上皮的肺癌。这种以起源部位的分型尚不统一,有人主张将发生于肺段支气管的肺癌划归外围型,有人则主张将其分出,称为肺段型或中间型。
不同部位的肺癌可有以下几种生长方式:①管内型:癌瘤自支气管粘膜表面向管腔内生长,形成息肉或菜花样肿块。逐渐引起支气管阻塞;②管壁型:癌瘤沿支气管壁浸润生长。有时侵犯管壁较浅,使管壁轻度增厚,管腔轻微狭窄。也可侵及管壁全层,使管壁增厚呈结节状,管腔明显狭窄或阻塞;③管外型:癌瘤穿透支气管壁向外生长,主要在肺内形成肿块,支气管穿行于肿块中。以上三型多为中心型肺癌的生长方式;④肺段以下较小支气管的肺癌,由于管壁结构薄弱,很易侵入肺内或通过局部淋巴管的播散在肺小叶内生长,形成肿块。肿块可为结节分叶状或为边缘清楚或毛糙的球形肿块;⑤细支气管或肺泡上皮的肺癌,初期癌瘤可沿肺泡壁生长,形成孤立结节状肿块。晚期癌瘤可经支气管及淋巴管播散,而形成弥漫性肺炎样或粟粒状癌灶。



图3-1-24 右肺中心型肺癌伴肺门淋巴结转移
A.后前位 B.右侧位 C.侧位体层像
右肺门区可见圆形肿块影,边界清楚
体层摄影示肿块影边界不规则(→),
并见增大淋巴结向支气管突入
肺癌的临床表现取决于组织类型、发生部位及发展情况。早期可无症状或体征。有时是在查体中偶然被发现。症变发展可出现咳嗽、咯血、胸痛、咳痰、呼吸困难等症状。
中心型肺癌常引起支气管阻塞症状,并发感染后则有发热及咳脓痰等症状。如果转移至纵隔淋巴结,则可发生上腔静脉梗阻综合征,表现为气短和颈胸部静脉怒张。也可引起喉返神经和膈神经麻痹,常见于未分化癌。肿瘤蔓延至胸膜时,可发生胸痛和血性胸腔积液。肺泡癌弥散发展,常咳大量泡沫痰。发生于肺尖部位的肺癌称肺尖癌(pancoast瘤),可以侵蚀邻近椎体或肋骨,并可压迫臂丛神经而引起同侧臂痛,压迫颈部交感神经而引起Horner综合征即同侧眼睑下垂、瞳孔缩小和眼球下陷。还可以发生肺外症状,如许状指和肺性肥大性骨关节病(以鳞癌及腺癌多见)及内分泌症状如Cushing综合征(小细胞未分化癌多见)、甲状旁腺功能亢进等症状。内分泌症状的产生是由于不同类型的肺癌细胞分泌不同类似激素的物质而引起的。
X线表现因肿瘤发生部位而不同:
(1)中心型肺癌:肺癌早期局限于粘膜内,可无异常发现。病变发展,使管腔狭窄先引起肺叶或一侧肺的阻塞性肺气肿,但在实际工作中难于发现。不少患者由于支气管狭窄,引流不畅而发生阻塞性肺炎,表现为相应部位反复发作、吸收缓慢的炎性实变。继而癌瘤可将支气管完全阻塞而引起肺不张。肺不张的范围取决于肿瘤的部位。如肿瘤同时向腔外生长或(和)伴有肺门淋巴结转移时,则可在肺门形成肿块(图3-1-27)。发生于右上叶支气管的肺癌,肺门部的肿块和右肺上叶不张连在一起可形成横行“S”状的下缘(图3-1-28)。有时肺癌发展迅速、较大,其中心可发生坏死而形成空洞,多见于鳞癌,表现为内壁不规则的偏心性空洞。


图3-1-28 右上叶支气管肺癌(中心型)
A.后前位B.前后位体层像右上叶密度均匀增高,下缘清楚、上突,
与肺门肿块影形成似横置S状。体层像示肿块突入右支气管腔内
体层摄影或支气管造影对中心型肺癌的诊断有重要意义,支气管有以下几种改变(图3-1-29):①支气管内息肉样充盈缺损或软组织影;②支气管壁不规则增厚,管腔呈环状或不规则的狭窄;③管壁增厚,管腔呈锥状或鼠尾状狭窄及阻塞;④管壁明显增厚,管腔变窄,呈截断现象,断端平直或呈杯口状。
(2)外围型肺癌:早期较小,直径多在2cm以下。表现为密度较高、轮廓模糊的结节状或球形病灶,有时表现为肺炎样小片状浸润,密度可不均匀。癌瘤逐渐发展,结节状癌灶由于生长速度不均衡以及局部淋巴播散灶的融合,可形成分叶状肿块(图3-1-12);球形病灶如生长均衡,则可形成边缘较光滑的肿块;如呈浸润性生长则边缘毛糙常有短细毛剌(图3-1-30)。毛剌的形成与肿瘤浸润及癌性淋巴管炎有关。生长快而较大的肿块,边缘可锐利光滑,但中心可以坏死而发生空洞。





图3-1-29 中心型肺癌支气管狭窄、阻塞的支气管造影或体层摄影表现

图3-1-30 左肺外围型肺癌
体层摄影,左肺野可见圆形病灶, 边缘毛糙,有毛刺

图3-1-31 肺泡癌
两肺出现大小不等多发小结节影,右中下肺野病灶融合成一片致密影,肋膈角及膈均不见,指明有胸腔积液
(3)细支气管肺泡癌:早期可表现为孤立的结节状或肺炎样浸润影,其中可见含气的支气管或小的透明区,透明区系由于部分肺泡尚含有空气所致。晚期可表现为弥漫性病变,在一肺或两肺出现大小不等、境界不清的结节状或斑片状影,为腺泡结节状占位病变(图3-1-31)。进一步发展,这些病灶可以融合成大片絮状影,形成癌性实变。
(4)肺癌转移:多数肺癌首先转移至肺门和纵隔淋巴结,表现为肺门增大及纵隔旁肿块。中心型肺癌,有时原发癌与肺门转移淋巴结混在一起形成较大的肿块,易误为纵隔肿瘤。纵隔淋巴转移也可间接表现为气管,支气管的移位、食管受压、膈升高及予盾运动等。胸膜转移表现为胸腔积液。当大量积液与肺不张同时存在时,表现为一侧肺野密度增高,但无纵隔向健侧移位,也无肋间隙增宽,因为肺不张的牵引力与大量积液的推力相抵消。肺癌也可发生肺的转移,于肺野出现多发圆形致密影。沿淋巴管转移时,肺内可出理网状结节影。肺癌转移或直接蔓延至骨性胸廓,可发生胸骨、肋骨、锁骨及胸椎的破坏或病理骨折。还可通过血行转移至其他脏器。
肺癌的生长速度:在动态观察中常以肿瘤的倍增时间(doubling time)即肿瘤体积增长一倍所需的时间说明肿瘤生长的速度。对判断肿瘤良恶性有一定帮助。倍增时间少于30天者多为非癌性病变。肺癌的倍增进间平均为78~88天。若没有转移。当倍增时间大于60天时,预后较佳。如大于100天则的手术后5年生存率较高,手术切除率较大,反之,少于60天,则预后较差。
2.转移性肿瘤 人体许多部位的恶性肿瘤可以经血行、淋巴或由邻近器官直接蔓延等途径转移至肺部。所以在恶性肿瘤的诊断与治疗中,肺部X线检查被列为常规。发生在肺部转移的肿瘤依次为绒癌、乳癌、肝癌、胃癌、骨肉瘤、甲状腺癌、肾癌、前列腺癌、睾丸癌及肾胚胎瘤等。肺转移瘤的临床表现不一,多数患者因原发瘤已发展至晚期而以原发瘤的表现为主。常伴恶病质。某些患者可毫无呼吸道症状而在常规检查时发现。也有时原发瘤尚未被发现而已有肺部转移。有时原发瘤手术切除后数年又发生肺转移。肺转移瘤可引起咳嗽、胸痛、咯血和呼吸困难等症状。偶可引起自发性气胸。绒癌转移最易引起咯血,淋巴转移常有明显的呼吸困难。
血行转移:肿瘤细胞可经静脉回流至右心而发生肺转移。多表现为多发球形病变,密度均匀、大小不一、轮廓清楚似棉球状。以两肺中、下野外带较多,也可局限于一侧肺野。少数可为单发球形灶,应结合临床同原发性肺癌鉴别。血供丰富的原发瘤可以发生粟粒状转移表现为中、下肺野较多的粟粒状病灶,也可表现为多数小片状浸润,类似支气管肺炎。某些肺转移瘤中可以发生薄壁或厚壁空洞。骨肉瘤的转移瘤中可以出现钙化或骨化。
淋巴转移:系肺门及纵隔淋巴结的转移瘤逆行播散至肺内淋巴管,多发生于胃癌和乳癌。表现为两肺门或(和)纵隔淋巴结增大。自肺门向外呈放射状分布的索条状影,沿索条状影可见微细的串珠状小的致密点状影。肺外带纹理常呈网状。也可与血行转移并存。
邻近器官恶性肿瘤直接侵犯肺部:纵隔、胸膜和胸壁组织的恶性肿瘤,可直接蔓延至肺部,出现大小不等的转移灶。
(八)纵隔原发肿瘤 纵隔原发肿瘤(primary mediastinal tumor)的种类繁多。据国内报道发病率居前六位的有①神经原性肿瘤;②恶性淋巴瘤;③胸腺瘤;④畸胎瘤;⑤胸内甲状腺肿;⑥支气管囊肿。
纵隔肿瘤在早期无明显症状,或仅有胸骨后不适感及隐痛。肿瘤逐渐长大,压迫或侵及邻近器官、组织时,可出现压迫症状,上腔静脉受压时可出现颈静脉增粗,严重者头、颈、面部及上胸部出现水肿及青紫;气管受压时可出现剌激性干咳、呼吸急促;喉返神经受压时可出现声音嘶哑;交感神经受压时可出现Horner综合征;迷走神经受压,可出现心率慢、恶心、呕吐等;膈神经受压可出现呃逆及膈麻痹;食管受压,可出现吞咽困难,皮样囊肿或畸胎瘤破裂与支气管相通时,可咳毛发或豆渣状皮脂物的历史。10%~20%胸腺瘤患者伴有重症肌无力,有时患者因重症肌无力而就诊。15%~20%重症肌无力患者可有胸腺瘤。少数胸骨后甲状腺肿患者可有甲状腺功能亢进的症状。
纵隔原发肿瘤在X线诊断中应注意以下几点:①肿瘤的部位:起于纵隔某种组织的肿瘤,有其好发部位。所以根据肿瘤部位常可推测肿瘤的类别,如胸腺瘤、畸胎瘤和胸内甲状腺肿多发生在前纵隔;恶性淋巴瘤和支气管囊肿多发生在中纵隔;神经原性肿瘤多发生在后纵隔(图3-1-32);②肿瘤的形态与密度:分叶状及边缘不规则常为恶性的表现,例如淋巴肉瘤多呈分叶状且向两侧突出。支气管囊肿则为边缘十分锐利、光滑、密度均匀的圆形成椭圆形块影。畸胎性肿瘤的密度可不均匀,内含骨骼或牙;③肿瘤的活动;起源于甲状腺的肿瘤可随吞咽动作而上下移动;支气管囊肿则随呼吸运动而与气管活动一致。

图3-1-32 纵隔肿瘤发生部位
1.前纵隔肿瘤 常见者有胸腺瘤、畸胎瘤及胸内甲状腺肿
(1)胸腺瘤:胸腺瘤(thymoma)为前纵隔肿瘤中较常见的一种,有良性与恶性之分。良性者可有不同程度的囊性变,有完整的包膜;恶性者在生长过程中可突破包膜,侵犯邻近组织或发生转移。
X线表现是,肿瘤多位于前纵隔的中部偏上,少数可发生于上部或下部,发生于下部者多较大。可呈圆形、椭圆形或梭形,有时呈薄片状,恶性者多呈分叶状。肿瘤常向一侧肺野突出。肿瘤的密度高而均匀,有时可有斑片状钙化,囊性变时可有蛋壳样钙化。良性者边缘多光滑锐利;恶性者当穿破包膜侵入邻近组织时,边缘可毛糙不整,并可产生胸膜反应。
(2)畸胎瘤:畸胎瘤(teratoma)系先天性肿瘤,来自原始胚胎组织的残留物,在胚胎发育过程中,随心、大血管下降而入纵隔,以后逐渐演变而成。可分为囊性(皮样囊肿)和实质性两种。前者主要含有外胚层衍生物如毛发及皮脂物,伴少量中胚层衍生物,多为良性;后者则含有内、中、外三个胚层的衍生物如脂肪、毛发、牙、骨骼、腺体、呼吸道及胃肠道的组织等。可为良性或恶性。
X线表现是肿瘤多位于前纵隔中部、心与主动脉联接区,偶可发生于后纵隔。由于含有多种组织,故密度不均,有时其中可见透明间隙,并可有牙及骨骼影。皮样囊肿壁可发生蛋壳样钙化。良性者多为单侧突出的圆形或卵圆形肿块,边缘光滑。恶性者多呈分叶状。发生粘连,则边缘不规则。
(3)胸内甲状腺肿:胸内甲状腺肿(intrathoracic goitre)包括先天性异位及胸骨后甲状腺肿。前者少见,完全位于胸内。胸骨后甲状腺肿为颈部甲状腺沿胸骨后延伸进入上纵膈,多位于气管旁及其前方,也可伸入气管后方,多与颈部肿大的甲状腺相连。肿块可以是甲状腺肿、囊肿或腺瘤,恶性者少见。
X线表现是肿块位于前纵隔上部,多数连向颈部,为卵圆形或梭形。外缘清楚锐利,但其上缘因与颈部肿块相连常表现边缘不清。气管受肿块推挤,多向对侧和向后方移位。但伸入气管后方之肿块可使气管前移。肿块可随吞咽而上下移动,如发生粘连也可不移动。肿块内可有斑片状钙化。
2.中纵隔肿瘤 以恶性淋巴瘤及支管囊肿最常见。
(1)恶性淋巴瘤:恶性淋巴瘤(malignamt lymphoma)是发生在淋巴结的全身性恶性肿瘤。症理上包括淋巴肉瘤、何杰金病及网状细胞肉瘤。纵隔内病变多与颈部及全身淋巴结病变同时发生,也可先在纵隔发生,而后发展至其他淋巴结。淋巴瘤对放射治疗敏感,经小剂量照射(20~30Gy)即可明显缩小,但不能完全治愈。
因为病变多同时侵及纵隔内多个淋巴结,故常呈分叶状,块影由纵隔向两侧突出,有时一侧明显,但很少为单侧。后前位上块影多在上、中纵隔,侧位上多在中纵隔气管与肺门附近。生长较大时可由中纵隔侵及前纵隔。气管常受压变窄。肿瘤可经肺门沿肺间质向肺内浸润,也可侵及胸膜及心包而产生胸腔积液和心包积液。
(2)支气管囊肿:支气管襄肿(bronchogenic cyst)是胚胎期原始前肠的气管芽突脱落的胚胎组织演变而成。多位于气管旁或气管分叉附近。壁薄,其中含有液体,内壁与支气管粘膜相似。一般与支气管不通,属良性,发展慢,症状不明显。
X线是表现是囊肿多位于纵隔上部,侧位上囊肿在中纵隔气管周围,可在气管之前方或后方,多附于气管壁上。囊肿多为卵圆形,边缘锐利、光滑,无分叶现象。密度均匀,无钙化。由于囊肿较柔软,深呼吸时其形态可以改变,呼吸时可随气管活动。
3.后纵隔肿瘤 神经原性肿瘤为后纵隔肿瘤中最常见者。有良、恶之分,多为良性。良性者包括神经纤维瘤(neurofibroma)、神经鞘瘤(neurilemmoma)、节细胞神经瘤(ganglioneuroma);恶性者有神经纤维肉瘤(neurofibrosarcoma)及神经母细胞瘤(neuroblastoma)。绝大多数神经原性肿瘤位于后纵隔脊柱旁沟内,但偶可发生于前、中纵隔。有时神经原性肿瘤发生于椎间孔,呈哑铃状,一端在椎管内,另一端在纵隔内,可以产生神经压迫症状。
肿瘤好发于后上纵隔,X线表现为向一侧突出的肿块影,侧位上与脊柱重叠。肿块多为圆形或椭圆形,边缘清楚锐利。发生于椎间孔者,可压迫椎间孔使之扩大,并可压迫肋骨头及脊椎,产生边缘光滑的压迹。恶性者可呈分叶状,侵蚀邻近骨骼而发生破坏。神经母细胞瘤内可发生钙化。节细胞神经瘤常呈三角形。
纵隔肿瘤的共性X线表现是纵隔肿块引起的纵隔增宽,为了诊断准确应注意掌握每种肿瘤的特点,并作好鉴别诊断。在诊断中应注意以下几种病变的鉴别:
纵隔肿瘤与靠近纵隔的肺部肿瘤的鉴别:发生于肺野内带与纵隔邻近的肺部肿瘤,可被误认为纵隔肿瘤,应注意结合病史、转动透视及体层摄影进行鉴别。其鉴别要点如下:①肺内肿块,一般可随呼吸而上下移动,纵隔肿瘤一般则无上下移动;②肺内肿块当旋转至某一位置时,有时可见肿块与纵隔边界之间有密度减低的的间隔带,或见密度高的线条影,代表肺部肿块与纵隔胸膜互相重叠的边界线;③肺内肿瘤贴近纵隔的基底部,长度常小于肿块的最大径,且肿块边缘与纵隔边缘间的夹角为锐角。但当纵隔肿瘤生长巨大时也可出现这一征象;④气管及食管移位显著时,肿块位于纵隔内的可能性大。
纵隔肿瘤与非肿瘤性纵隔增宽的鉴别:①胸椎结核形成的椎旁脓肿,自脊椎旁向两侧突出可误为纵隔肿瘤。注意两侧较对称的梭形肿胀及在侧位片上见到相应部位脊椎的骨质破坏,则不难鉴别;②食管贲门失弛缓症,食管明显扩张,可向一侧突出,而被误认为纵隔肿瘤。在增宽的食管影中有时可见到食管内的液面,结合病史,行食管钡剂透视则可确诊。
纵隔肿瘤与纵隔淋巴结结核的鉴别:纵隔内增大的淋巴结,可误为中纵隔肿瘤或囊肿。纵隔淋巴结结核多发生在右上纵隔气管旁,80%为单侧,其外缘锐利,有时呈分叶状,多为儿童或青年。鉴别困难时作1:10000结核菌素试验,结核为强阳性。
纵隔肿瘤与主动脉瘤的鉴别:主动脉瘤在各个位置透视或照片上均表现为肿块与主动脉壁不能分开,且有一连续性弧线。主动脉瘤透视可见主动性搏动。但有时因血栓形成,搏动也可不明显。当纵隔肿块贴近主动脉壁时,透视下常难以区分其搏动为主动性或传导性。主动脉瘤患者年龄多较大,一般在45岁以上,可有梅毒、高血压、外伤、突然胸痛等史。体检可有高血压或主动脉瓣区杂音。梅毒性者梅毒血清反应阳性。主动脉瘤有时并发左心室增大。发生于降主动脉的动脉瘤,搏动作用于邻近椎体前缘,可形成弧形压迹。鉴别困难时,可行主动脉造影确诊。