由上皮发生的恶性肿瘤称为癌,多见于老年人,是人类最常见的一类恶性肿瘤。癌常以浸润性生长为主,故与周围组织分界不清。发生在皮肤、粘膜表面的癌外观上常呈息肉状、蕈伞状或菜花状,表面常有坏死及溃疡形成;发生在器官内的常为不规则的结节状,呈树根状或蟹足状向周围组织浸润,质地较硬,切面常为灰白色,较干燥。镜下,癌细胞可呈腺状、巢状或条索状排列,与间质分界清楚。亦可在间质内呈弥漫性浸润生长,与间质分界不清。网状纤维染色见癌细胞之间多无网状纤维,而只见于癌巢的周围。癌在早期一般多经淋巴道转移,到晚期才发生血道转移。
癌的常见类型有以下几种:
1.鳞状细胞癌(squamous cell carcinoma)简称鳞癌,常发生在身体原有鳞状上皮覆盖的部位,如皮肤、口腔、唇、子宫颈、阴道、食管、喉、阻茎等处。有些部位如支气管、胆囊、肾盂等处,正常时虽不由鳞状上皮覆盖,但可通过鳞状上皮化生而发生鳞状细胞癌。此癌肉眼上常呈菜花状,也可因癌组织坏死脱落而形成溃疡。癌组织也同时向深层作浸润性生长。镜下,在分化好的鳞状细胞的癌的癌巢中,细胞间还可见到细胞间桥,在癌巢的中央可出现层状的角化物,称为角化珠(keratin pearl)或癌珠(图7-12)。分化较差的鳞状细胞癌无角化珠形成,甚至也无细胞间桥,瘤细胞呈明显的异型性并见较多的核分裂像。

图7-12 鳞状细胞癌
图示典型的癌细胞巢,其中两个癌巢中央形成同心圆状的角化珠
2.基底细胞癌(basal cell carcinoma)多见于老年人面部如眼睑、颊及鼻翼等处,由该处表皮原始上皮芽或基底细胞发生。癌巢主要由浓染的基底细胞样的癌细胞构成,本癌生长缓慢,表面常形成溃疡,并可浸润破坏局部深层组织,但很少发生转移,对放射治疗很敏感,临床上呈低度恶性的经过。
3.移行上皮癌(transitional cell carcinoma)来自膀胱或肾盂等处的移行上皮,常呈乳头状,多发性,可溃破形成溃疡或广泛浸润膀胱壁。镜下,癌细胞似移行上皮,呈多层排列,异型性明显。
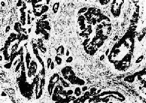
4.腺上皮癌是从腺上皮发生的恶性肿瘤。根据其形态结构和分化程度,可分为分化比较好的、具有腺体结构的腺癌和低分化的、形成实体癌巢的实性癌。腺癌分泌粘液较多的则称粘液癌。
(1)腺癌(adenocarcinoma):较多见于胃肠、胆囊、子宫体等。癌细胞形成大小不等,形状不一、排列不规则的腺样结构,细胞常不规则地排列成多层,核大小不一,核分裂像多见(图7-13)。当腺癌伴有大量乳头状结构时称为乳头状腺癌;腺腔高度扩张呈囊状的腺癌称为囊腺癌;伴乳头性生长的囊腺癌称为乳头状囊腺癌。

图7-13 腺癌(胃)
癌细胞排列紊乱,多层,形成大小不等、形状不规则的腺样结构,浸润于胃壁组织内
(2)粘液癌(mucoid carcinoma):又称为胶样癌(colloid carcinoma),常见于胃肠。镜下,初时粘液聚积在癌细胞内,将核挤向一侧,使该细胞成印戒状, 故一般称之为印戒细胞(signet-ring cell)。以后粘液堆积在腺腔内,并可由于腺体的崩解而形成粘液池。此时,往往可见于小堆或散在的印戒状癌细胞漂浮其中。肉眼观,癌组织呈灰白色,湿润,半透明如胶冻样,胶样癌因而得名。
(3)实性癌(solid carcinoma):或称单纯癌(carcinoma simplex),属低分化的腺癌,恶性程度较高,多发生于乳腺,少数可发生于胃及甲状腺。癌巢为实体性,无腺腔样结构,癌细胞异型性高,核分裂像多见。有的癌巢小而少,间质结缔组织多,质地硬,称为硬癌(scirrhous carcinoma)(图7-14)。有的则癌巢较大较多,间质结缔组织相对较少,质地如脑髓,称为髓样癌(medullary carcinoma)。

图7-14 乳腺硬癌
癌细胞呈条索状排列,间质丰富,由多量纤维组织构成