绒毛膜癌(choriocarcinoma)简称绒癌,是滋养层细胞的高度恶性肿瘤。约50%继发于葡萄胎,25%继发于自然流产,20%以上发生于正常妊娠,5%以下发生于早产或异位妊娠等。主要临床表现是在葡萄胎、流产或足月产后阴道持续不规则流血,血及尿中HCG浓度显着升高。
【病变】
肉眼观,子宫不规则增大,柔软,表面可见一个或多个紫蓝色结节。切面可见肿瘤呈暗红色、出血坏死的肿块充塞宫腔(图13-12),或为多数结节浸润子宫肌层,常达浆膜,使子宫体积显着增大,或呈弥漫息肉状布满子宫内膜面,或在内膜和肌层内有小出血灶。肿瘤的特点是呈暗红色、质脆而软的出血、坏死病灶。

图13-12 子宫绒毛膜上皮癌及阴道壁转移
原发癌位于子宫底部,呈暗红色(图中为黑色)血肿样结节,并转移到阴道壁
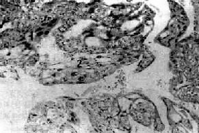
镜下,成片增生及分化不良的滋养层细胞侵入肌层和血管。瘤组织由分化不良的两种滋养层细胞组成,即细胞滋养细胞和合体滋养细胞。细胞滋养细胞胞浆丰富、淡染,细胞境界清楚,核空泡状。合体滋养细胞体积大、胞浆红染并互相融合,核椭圆形。这两种细胞排列紊乱(图13-13)。不同肿瘤中这两种细胞所占比例不同,有的以细胞滋养细胞为主,有的以合体滋养细胞为主。核分裂像常见。绒癌组织无间质,常呈广泛出血坏死,不形成绒毛结构。如发现有绒毛,即使是退化的绒毛,也应诊断为侵蚀性葡萄胎。

图13-13 绒毛膜癌
癌组织没有间质,癌巢由于两种细胞组成:1.合体细胞样细胞;2.细胞滋养层细胞样细胞
绒癌易侵入血管,故主要为血行转移,最多见转移至肺,其次为阴道、脑、肝、脾、肾、肠等。自应用化疗后,绒癌的死亡率已显著下降。