一、神经元与胶质细胞反应
(一)神经元
神经元是中枢神经系统的基本结构和功能单位,由细胞体和胞突(树突、轴突)构成。其数目估计在百亿以上。神经元常见的病变为:
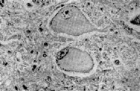
1.中央性Nissl小体溶解(central chromatolysis)这是一种可逆性变化,病因一旦去除,就可恢复正常,如病变继续发展,则可导致细胞的萎缩和死亡。常见的病因有病毒感染(如脊髓灰质炎病毒)、维生素B属缺乏、坏血病和神经元与轴突断离。病变表现为神经细胞肿胀,丧失典型的多极形状而变为圆形,胞核偏位,胞浆中央的Nissl小体崩溃成为细尘状颗粒,进而完全溶解消失,或仅在细胞周边部有少量残余。胞浆着色浅而呈苍白均质状(图16-1)。

图16-1 中央Nissl小体溶解
神经细胞肿胀,胞核偏位,Nissl小体仅见于细胞周边部
切断实验动物的轴突后,相关的神经细胞即发生典型的中央性Nissl小体溶解,此现象又称轴突反应。此时神经细胞粗面内质网的核蛋白体解聚,成为游离核蛋白体,蛋白质合成加快,因此认为其与轴突再生有关。
2.神经元急性坏死缺血、缺氧、严重急性中毒或感染可引起神经元的死亡。表现为神经细胞核固缩,胞体缩小变形,胞浆Nissl小体消失,呈深伊红色,称为红色神经细胞。如细胞坏死后的酶性分解过程继续发展,则可导致细胞溶解和消失。隐约可见轮廓的死亡细胞称为鬼影细胞(ghost cell)。因缺血引起的神经细胞坏死最常见于大脑皮质的锥体细胞和小脑蒲肯野(Purkinje)细胞(图16-2)。

图16-2 神经细胞缺血性变化
细胞缩小呈三角形,Nissl小体消失,胞核浓缩深染
3.神经元的慢性病变为一组特殊的病变,如单纯性萎缩、神经元纤维的缠结、神经细胞胞浆中出现特殊的包含体(如Lewy小体)等。
4.轴索和髓鞘的变化——Waller变性是指神经纤维被切断后,轴索与神经元胞体断离,其远端和部分近端的轴索及其所属髓鞘发生变性、崩解和被吞噬细胞吞噬的过程。与此同时,受累神经元的胞体发生中央性Nissl小体溶解。除了机械性损伤外,任何其他原因只要能造成神经元胞体与轴索断离者(如循环障碍所致的大脑皮质梗死)均可发生Waller变性,其整个过程包括:①轴索变性,表现为远端轴索肿胀、断裂、崩解、被吞噬细胞吞噬消化;近端的轴索则随后再生并向远端延伸;②髓鞘脱失,髓鞘崩解所形成的脂质和中性脂肪,可被苏丹Ⅲ染成红色。③细胞反应,表现为吞噬细胞反应性增生,吸收崩解产物。周围神经断端远侧Schwann细胞(许旺细胞)反应性增生;而在中枢神经系统则为少突胶质细胞增生,两者均参与再生轴突的重新髓鞘化过程(图16-3)。

图16-3 Waller变性模式图 (采自Escourolle)
(二)神经胶质细胞
神经胶质细胞包括星形胶质细胞、少突胶质细胞和室管膜细胞,其总数是神经元的5倍,其基本病变概括如下:
1.星形胶质细胞
(1)星形胶质细胞增生:常见的致病原因如缺氧、低血糖、感染、中毒等均能引起脑组织的损伤而导致星形胶质细胞增生。反应性星形胶质细胞增生是脑组织损伤的修补愈合反应,主要表现为纤维型星形胶质细胞增生,最后成为胶质瘢痕,胶质纤维酸性蛋白(GFAP)染色呈强阳性(图16-4)。胶质瘢痕与纤维瘢痕不同之处在于星形胶质细胞并不产生胶原纤维及相应间质蛋白。胶持瘢痕是由星形胶质细胞突起构成,其机械强度不如胶原瘢痕。

图16-4 反应性星形胶质细胞增生(GFAP染色)
左上角为脑毁损病灶
(2)星形胶质细胞肥大:表现为细胞体积增大,胞浆丰富,呈伊红着色,胞核偏位。电镜下可见胞浆中充满线粒体、内质网、空泡、高尔基器、溶酶体和胶质纤维。肥胖星形胶质细胞(gemistocytic astrocyte)多发生在脑的局部缺氧、水肿、梗死、脓肿或肿瘤周围。
2.少突胶质细胞少突胶质细胞的病变常表现为髓鞘的改变,白质营养不良(髓鞘形成障碍)和脱髓鞘疾病如多发性硬化为其代表。此类胶质细胞对各种损害(缺氧、中毒等)所表现的急性肿胀、核周空晕,目前认为可能是一种自溶性变化。此外神经元胞体周围被5个以上少突胶质细胞围绕称为卫星现象(satellitosis),与神经元损害的程度和时间并无明显的关系,其意义尚不清楚。
3.室管膜细胞室管膜细胞覆盖在脑室系统内面,各种致病因素均可引起局部室管膜细胞丢失,随之室管膜下的星形胶质细胞增生,充填缺损,并形成多数小颗粒向脑室突出,称为颗粒性室管膜炎(图16-5)。巨细胞病毒感染时,室管膜细胞中往往可有病毒包含体出现。

图16-5 颗粒性室管膜炎
局部室管膜细胞丢失,增生的胶质细胞隆起,形成小颗粒
(三)小胶质细胞
小胶质细胞属单核吞噬细胞系统,其对损害之反应表现为:①激活形成巨噬细胞,包围、浸润和吞噬坏死神经元,称为噬神经细胞现象(neuronophagia),吞噬后胞浆中常出现大量小脂滴,常规石蜡切片,HE染色呈空泡状,又称格子细胞或泡沫细胞,苏丹染色呈阳性反应;②局灶性增生形成胶质结节,常见于各种炎症,特别是病毒性脑炎;③杆状细胞形成,见于慢性进行性损害(如脑晚期梅毒),表现为细胞增生、胞体变窄、胞突减少并呈双极杆状。
二、常见的并发症
中枢神经系统疾病最常见而重要的并发症为颅内压升高、脑水肿和脑积水,其中脑水肿和脑积水可引起或加重颅内压升高,三者可合并发生,互为因果,后果严重可导致死亡。
(一)颅内压升高及脑疝形成
侧卧位的脑脊液压超过2kPa(正常为0.6~0.8kPa)即为颅内压增高,这是由于颅内容物的容积增加,超过了颅腔所能代偿的极限所致。颅内压增高的主要原因是颅内占位性病变和脑脊液循环阻塞所致的脑积水。常见的占位性病变为脑出血和血肿形成(如创伤、高血压脑出血等),脑梗死,肿瘤,炎症(如脑膜脑炎、脑脓肿等),脑膜出血等。其后果与病变的大小及其增大的速度有关。脑水肿可加重病变的占位性。颅内压升高可区别为3个不同的时期:
1.代偿期通过反应性血管收缩以及脑脊液吸收增加和形成减少,使血容量和脑脊液容量相应减少,颅内空间相对增加,以代偿占位性病变引起的脑容积增加。
2.失代偿期占位性病变和脑水肿使颅内容物容积继续增大,超过颅腔所能容纳的程度,可引起头痛、呕吐、眼底视乳头水肿、意识障碍、血压升高及反应性脉搏变慢和脑疝形成。
3.血管运动麻痹期颅内压严重升高使脑组织灌流压降低,致脑缺氧造成脑组织损害和血管扩张,继而引起血管运动麻痹,加重脑水肿,引起昏迷及并发症,后果严重,可导致死亡。
升高的颅内压可引起脑移位、脑室变形、使部分脑组织嵌入颅脑内的分隔(大脑镰,小脑天幕)和颅骨孔道(如枕骨大孔等)导致脑疝形成(herniation)。常见的脑疝有以下类型。
1.扣带回疝又称大脑镰下疝,是因一侧大脑半球特别是额、顶、颞叶的血肿或肿瘤等占位性病变,引起中线向对侧移位,同侧扣带回从大脑镰的游离边缘向对侧膨出,形成扣带回疝。疝出的扣带回背侧受大脑镰边缘压迫形成压迹,受压处的脑组织发生出血或坏死。此外,大脑前动脉的胼胝体支也可受压引起相应脑组织梗死。大脑冠状切面上可见对侧的侧脑室抬高,第三脑室变形,状如新月(图16-6)。

图16-6 脑疝模式图
1.扣带回疝;2.海马钩回疝;3.小脑扁桃体疝;4.硬膜外血肿
2.小脑天幕疝又称海马钩回疝。位于小脑天幕以上的额叶或颞叶内侧的肿瘤、出血、梗死等病变引起脑组织体积肿大,导致颞叶的海马钩回经小脑天幕孔向下膨出。海马钩回疝可导致以下后果:①同侧动眼神经在穿过小脑天幕裂孔处受压,引起同侧瞳孔一过性缩小,继之散大固定,及同侧眼上视和内视障碍。②中脑及脑干受压后移,可导致意识丧失;导水管变狭,脑脊液循环受阻加剧颅内压的升高;血管牵伸过度,引起中脑和桥脑上部出血梗死,可导致昏迷死亡。③中脑侧移,使对侧中脑的大脑脚抵压于该侧小脑天幕锐利的游离缘上,形成Kernohan切迹。严重时该处脑组织(含锥体索)出血坏死,导致与天幕上原发病变同侧的肢体瘫痪,引起假定位症。④压迫大脑后动脉引起同侧枕叶距状裂脑组织出血性梗死(图16-7)。

图16-7 海马钩回疝
左海马回内侧肿胀有深切迹(箭头),中脑右移变形,中脑右大脑脚受压,局部坏死出血(Kemohan切迹)
3.小脑扁桃体疝又称枕骨大孔疝。主要由于颅内高压或后颅凹占位性病变将小脑和延髓推向枕骨大孔并向下移位而形成小脑扁桃体疝。疝入枕骨大孔的小脑扁桃体和延髓成圆锥形,其腹侧出现枕骨大孔压迹(图16-8),由于延髓受压,生命中枢及网状结构受损,严重时可引起呼吸变慢甚至骤停,接着心脏停搏而猝死。

图16-8 小脑扁桃体疝
示小脑切迹,两侧扁桃体疝形成
(二)脑水肿
脑组织中由于液体过多贮积而形成脑水肿(brain edema),这是颅内压升高的一个重要原因。许多病理过程如缺氧、创伤、梗死、炎症、肿瘤、中毒等均可伴发脑水肿。
脑组织易发生水肿与下列解剖生理特点有关:①血脑屏障的存在限制了血浆蛋白通过脑毛细血管的渗透性运动;②脑组织无淋巴管以运走过多的液体。常见脑水肿的类型为:
1.血管源性脑水肿最为常见,是血管通透性增加的结果,当毛细血管内皮细胞受损,血脑屏障发生障碍时,或新生毛细血管尚未建立血脑屏障时(如转移性肿瘤及脑脓肿周围有大量的新生毛细血管),血液中的液体大量渗入细胞外间隙,引起脑水肿。白质水肿较灰质更为明显。此型水肿常见于脑肿瘤、出血、创伤或炎症时。水肿液较富于蛋白质。
2.细胞毒性脑水肿多见于缺血或中毒引起的细胞损害。由于细胞膜的钠-钾依赖性ATP酶失活,细胞内水、钠潴留,引起细胞(神经细胞、胶质细胞、内皮细胞)肿胀,细胞外间隙减小。此型水肿可同样累及灰质和白质。
上述两型水肿常同时存在,尤其在缺血性脑病时更为显著。
脑水肿的肉眼形态为脑体积和重量增加,脑回宽而扁平,脑沟狭窄,白质水肿明显,脑室缩小,严重的脑水肿常同时有脑疝形成。镜下,脑组织疏松,细胞和血管周围空隙变大,白质中的变化较灰质更加明显。电镜下,细胞外间隙增宽,星形胶质细胞足突肿胀(血管源性水肿),或无间隙增宽仅有细胞肿胀(细胞毒性水肿)。
(三)脑积水
脑脊液量增多伴脑室扩张称为脑积水(hydrocephalus)。脑积水发生的主要原因是脑脊液循环的通路被阻断。引起脑脊液循环受阻的原因很多,诸如先天畸形、炎症、外伤、肿瘤、蛛网膜下腔出血等。脑室内通路阻塞引起的脑积水称阻塞性或非交通性脑积水;如脑室内通畅而因蛛网膜颗粒或绒毛吸收脑脊液障碍所致的脑积水称交通性脑积水。此外脉络丛乳头状瘤分泌过多脑脊液也可导致脑积水。
轻度脑积水时,脑室轻度扩张,脑组织呈轻度萎缩。严重脑积水时,脑室高度扩张,脑组织受压萎缩、变薄,脑实质甚至可菲薄如纸,神经组织大部分萎缩而消失(图16-9)。

图16-9 脑积水
侧脑室高度扩张,脑组织受压萎缩变薄
婴幼儿颅骨缝闭合前如发生脑水肿,患儿可出现进行性头颅变大,颅骨缝分开,前囟扩大;颅内压增高较轻,头痛,呕吐,视乳头水肿也出现较晚。由于大脑皮质萎缩,患儿的智力减退,肢体瘫痪。成人脑积水,因颅腔不能增大,颅内压增加的症状发生较早也较严重。